Key Laboratory of Molecular Medicine and Biotherapy, School of Life Science, Beijing Institute of Technology, Beijing 100081, China.
Int J Mol Sci. 2022 Sep 15;23(18):10789. doi: 10.3390/ijms231810789.
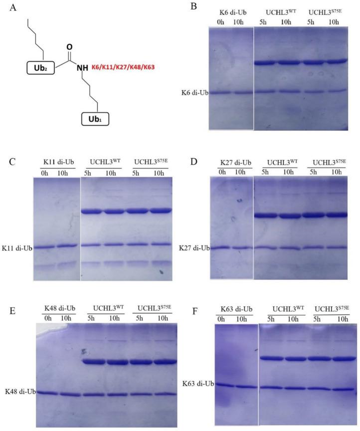
Ubiquitin C-terminal hydrolase-L3 (UCHL3), an important member of the ubiquitin C-terminal hydrolase family, is involved in DNA repair and cancer development. UCHL3 can cleave only complexes of monoubiquitin and its conjugates, such as Ub-AMC, His, or small ubiquitin-like modifier, but not polyubiquitin chains. Phosphorylation of Ser75 promotes the cleavage activity of UCHL3 toward poly-ubiquitin chains in vivo, but biochemical evidence in vitro is still lacking. Here, we first analyzed the structure of simulated phosphorylated UCHL3 and the complex of UCHL3 with Ub-PA and preliminarily explained the structural mechanism of phosphorylation-enhanced UCHL3 deubiquitinating activity. Additionally, the cleavage activity of UCHL3 toward different types of synthesized poly-ubiquitin chains in vitro was tested. The results showed that purified UCHL3 enhanced the cleavage activity toward Ub-AMC compared to UCHL3. Meanwhile, UCHL3 and UCHL3 did not show any cleavage activity for different types of di-ubiquitin and tri-ubiquitin chains. However, UCHL3 could hydrolyze the K48 tetra-ubiquitin chain, providing compelling in vitro evidence confirming previous in vivo results. Thus, this study shows that UCHL3 can hydrolyze and has a cleavage preference for polyubiquitin chains, which expands our understanding of the phosphorylation regulation of UCHL3 and lays a foundation for further elucidation of its physiological role.
泛素羧基末端水解酶-L3(UCHL3)是泛素羧基末端水解酶家族的重要成员,参与 DNA 修复和癌症发展。UCHL3 只能切割单泛素及其缀合物(如 Ub-AMC、His 或小泛素样修饰物)的复合物,而不能切割多泛素链。Ser75 的磷酸化促进 UCHL3 在体内对多泛素链的切割活性,但体外的生化证据仍然缺乏。在这里,我们首先分析了模拟磷酸化 UCHL3 的结构以及 UCHL3 与 Ub-PA 的复合物,并初步解释了磷酸化增强 UCHL3 去泛素化活性的结构机制。此外,还测试了 UCHL3 在体外对不同类型合成多泛素链的切割活性。结果表明,与 UCHL3 相比,纯化的 UCHL3 增强了对 Ub-AMC 的切割活性。同时,UCHL3 和 UCHL3 对不同类型的二泛素和三泛素链均没有显示出任何切割活性。然而,UCHL3 可以水解 K48 四聚泛素链,为先前的体内结果提供了有力的体外证据。因此,这项研究表明 UCHL3 可以水解并具有对多泛素链的切割偏好性,这扩展了我们对 UCHL3 磷酸化调节的理解,并为进一步阐明其生理作用奠定了基础。