Suppr超能文献

厚脉络膜新生血管病变和慢性中心性浆液性脉络膜视网膜病变半量光动力治疗后脉络膜短期血管和基质改变的比较研究

A Comparative Study of Short-Term Vascular and Stromal Alterations of the Choroid Following Half-Fluence Photodynamic Therapy in Pachychoroid Neovasculopathy and Chronic Central Serous Chorioretinopathy.

作者信息

Yanık Özge, Demirel Sibel, Batıoğlu Figen, Özmert Emin

机构信息

Department of Ophthalmology, Ankara University School of Medicine, 06620 Ankara, Turkey.

出版信息

Life (Basel). 2022 Aug 25;12(9):1304. doi: 10.3390/life12091304.

Abstract

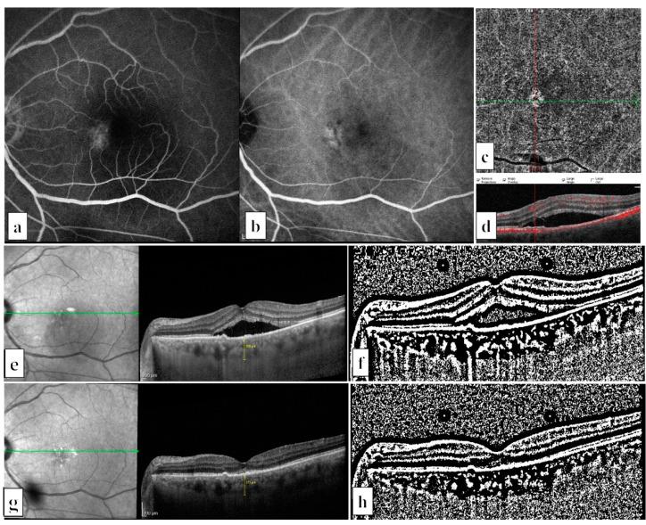
Background: Central serous chorioretinopathy (CSCR) and pachychoroid neovasculopathy (PNV) are among the pachychoroid spectrum diseases (PSDs). Half-fluence photodynamic therapy (hf-PDT) is one of the effective treatment methods for both diseases. The aim of this study was to compare the effect of hf-PDT on the choroidal structure in CSCR and PNV. Methods: This study included 35 patients with chronic CSCR and 18 patients with PNV. The hf-PDT protocol was applied to all eyes. Before and 3 months after hf-PDT, enhanced-depth optical coherence tomography images were analyzed. The total choroidal area (CA), luminal area (LA), and stromal area (SA) were measured using ImageJ software. Results: Compared with baseline values, 3 months after hf-PDT, the mean CA reduced from 1.398 to 1.197 mm2 (p < 0.001) in the CSCR group and the total CA reduced from 1.050 to 1.000 mm2 (p < 0.021) in the PNV group. The mean percentage changes in CA, LA, and SA values were statistically higher in the chronic CSCR group (13.86%, 13.53%, and 14.11%, respectively) than those in the PNV group (4.61%, 4.02%, and 5.74%; p = 0.001, p = 0.002, and p = 0.031, respectively). Conclusion: CSCR and PNV are thought to be PSDs. However, they differ in choroidal morphological response after hf-PDT, which might be a result of the different structural components of the PNV lesions.

摘要

背景

中心性浆液性脉络膜视网膜病变(CSCR)和厚脉络膜新生血管病变(PNV)属于厚脉络膜谱系疾病(PSD)。半量光动力疗法(hf-PDT)是这两种疾病的有效治疗方法之一。本研究的目的是比较hf-PDT对CSCR和PNV脉络膜结构的影响。方法:本研究纳入35例慢性CSCR患者和18例PNV患者。所有患眼均采用hf-PDT方案。在hf-PDT前及治疗后3个月,对增强深度光学相干断层扫描图像进行分析。使用ImageJ软件测量脉络膜总面积(CA)、管腔面积(LA)和基质面积(SA)。结果:与基线值相比,hf-PDT治疗3个月后,CSCR组的平均CA从1.398 mm²降至1.197 mm²(p < 0.001),PNV组的总CA从1.050 mm²降至1.000 mm²(p < 0.021)。慢性CSCR组CA、LA和SA值的平均百分比变化在统计学上高于PNV组(分别为13.86%、13.53%和14.11%)(分别为4.61%、4.02%和5.74%;p = 0.001、p = 0.002和p = 0.031)。结论:CSCR和PNV被认为是PSD。然而,它们在hf-PDT后的脉络膜形态学反应有所不同,这可能是PNV病变不同结构成分的结果。

https://cdn.ncbi.nlm.nih.gov/pmc/blobs/3e07/9500651/3050cad9f72b/life-12-01304-g001.jpg

文献AI研究员

20分钟写一篇综述,助力文献阅读效率提升50倍。

立即体验

用中文搜PubMed

大模型驱动的PubMed中文搜索引擎

马上搜索

文档翻译

学术文献翻译模型,支持多种主流文档格式。

立即体验