Suppr超能文献

自适应光学成像分析急性梅毒性后极部脉络膜视网膜病变中光感受器层的重建情况。

Adaptive Optics Imaging to Analyze the Photoreceptor Layer Reconstitution in Acute Syphilitic Posterior Placoid Chorioretinopathy.

作者信息

Giansanti Fabrizio, Mercuri Stefano, Vannozzi Lorenzo, Govetto Andrea, Minnella Angelo Maria, Caporossi Tomaso, Savastano Alfonso, Savastano Maria Cristina, Gambini Gloria, Rizzo Stanislao, Virgili Gianni, Bacherini Daniela

机构信息

Department of Neurosciences, Psychology, Drug Research, and Child Health, Eye Clinic, University of Florence, AOU Careggi, 50139 Florence, Italy.

Ophthalmology Department, Asst-Settelaghi, University of Insubria, 21100 Varese, Italy.

出版信息

Life (Basel). 2022 Aug 31;12(9):1361. doi: 10.3390/life12091361.

Abstract

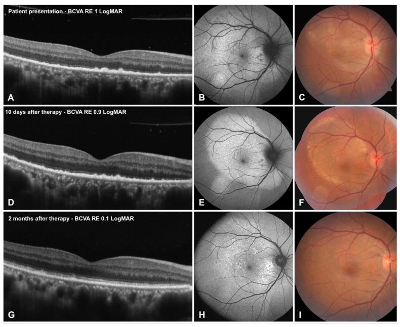
Acute posterior syphilitic placoid chorioretinopathy (ASPPC) is a rare ocular manifestation of syphilis characterized by outer retinal layers involvement and drop in visual acuity. The current work documents outer retinal layer involvement in this pathology and their reconstitution with treatment by means of adaptive optics (AO). Three eyes of two patients together with four controls eyes were included in the study. Patients underwent optical coherence tomography (OCT) and OCT angiography (OCTA) scan centered on fovea, where vessel density (VD) and vessel perfusion (VP) were calculated. AO images centered on fovea were acquired and cone density (CD) and cone spacing (CS) were measured and compared to control group. Multimodal imaging was performed at presentation, at 10 days, and at 2-month follow-up. All eyes improved in visual acuity, with reconstitution in outer retinal layers at 2-month follow-up. Overall choriocapillary layer VD and VP improved. AO imaging was able to identify outer retinal alterations at presentation and at follow-ups, with improvement in tissue architecture. CD and CS was respectively lower and greater than controls at all follow-ups and improved within patients at the 2-month follow-up. In conclusion, AO was able to document outer retinal alterations in ASPPC at presentation and improvement over the follow-up, representing a tool to study photoreceptor layer involvement in this pathology.

摘要

急性梅毒性后极部扁平状脉络膜视网膜病变(ASPPC)是梅毒一种罕见的眼部表现,其特征为视网膜外层受累及视力下降。目前的研究记录了该病变中视网膜外层的受累情况以及通过自适应光学(AO)治疗后的重建情况。该研究纳入了两名患者的三只眼以及四只对照眼。患者接受了以黄斑为中心的光学相干断层扫描(OCT)和OCT血管造影(OCTA)扫描,计算血管密度(VD)和血管灌注(VP)。采集以黄斑为中心的AO图像,测量视锥细胞密度(CD)和视锥细胞间距(CS),并与对照组进行比较。在就诊时、10天时和2个月随访时进行多模态成像。所有眼睛的视力均有改善,在2个月随访时视网膜外层得以重建。脉络膜毛细血管层的VD和VP总体有所改善。AO成像能够在就诊时和随访时识别视网膜外层的改变,组织结构有所改善。在所有随访中,CD和CS分别低于和高于对照组,且在患者2个月随访时有所改善。总之,AO能够记录ASPPC在就诊时视网膜外层的改变以及随访期间的改善情况,是研究该病变中光感受器层受累情况的一种工具。

https://cdn.ncbi.nlm.nih.gov/pmc/blobs/bbb3/9504081/06b1741a30c4/life-12-01361-g001.jpg

文献AI研究员

20分钟写一篇综述,助力文献阅读效率提升50倍。

立即体验

用中文搜PubMed

大模型驱动的PubMed中文搜索引擎

马上搜索

文档翻译

学术文献翻译模型,支持多种主流文档格式。

立即体验