Suppr超能文献

额窦和上颌窦高度侵袭性骨肉瘤——65 岁男性成功手术和质子束放疗一例。

Highly Aggressive Osteosarcoma of the Ethmoids and Maxillary Sinus-A Case of Successful Surgery and Proton Beam Radiotherapy in a 65-Year-Old Man.

机构信息

Department of Otorhinolaryngology and Maxillofacial Surgery, Military University Hospital, 16902 Prague, Czech Republic.

Third Faculty of Medicine, Charles University, 10000 Prague, Czech Republic.

出版信息

Medicina (Kaunas). 2022 Aug 23;58(9):1141. doi: 10.3390/medicina58091141.

Abstract

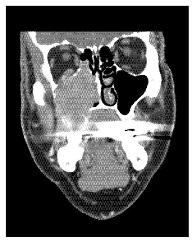
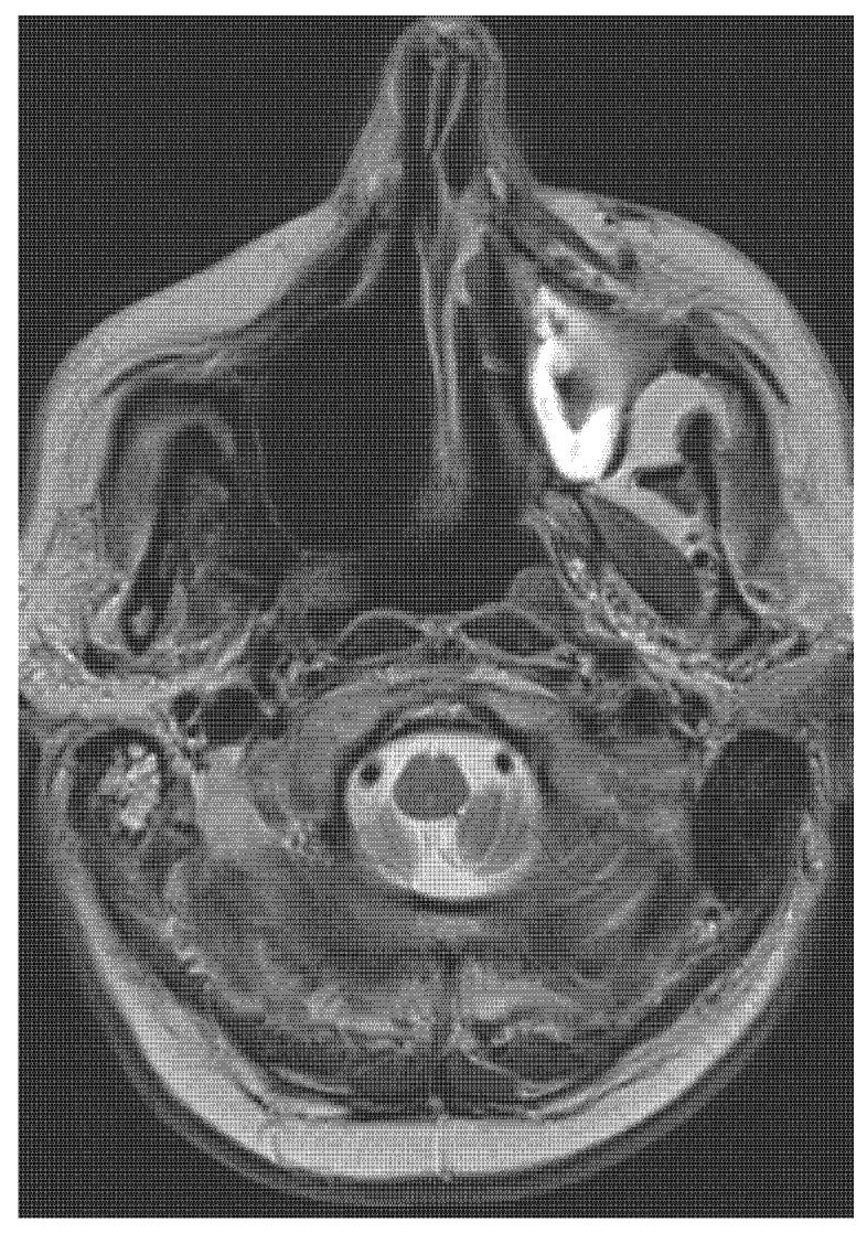
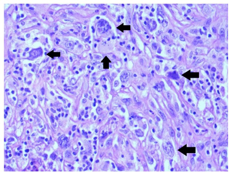
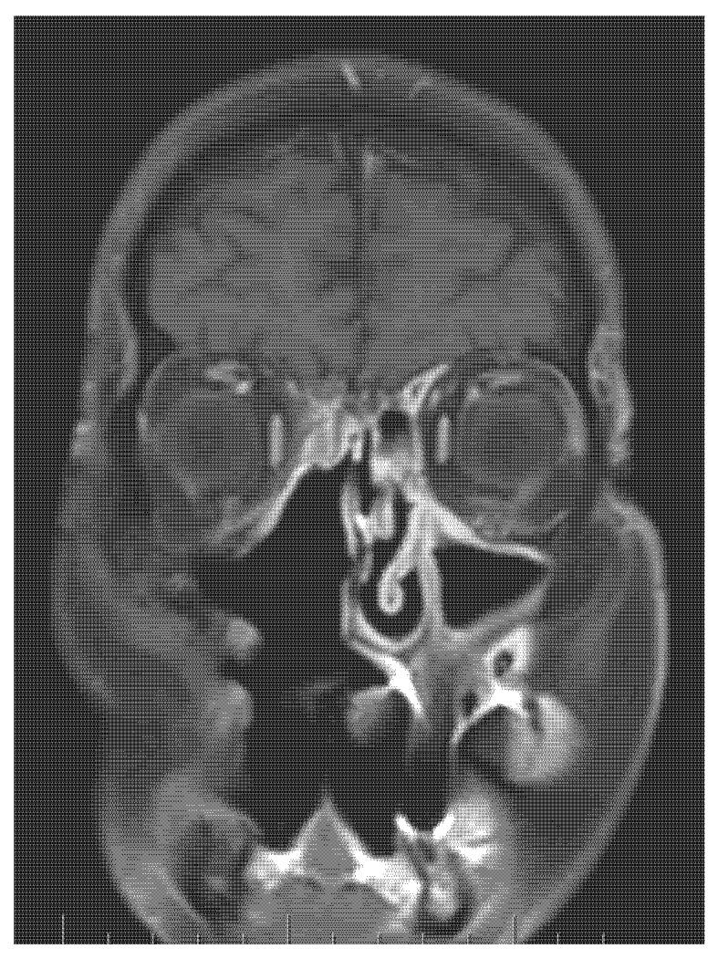
Sarcomas in the head and neck area are rare diseases with an incidence of under 1% of all head and neck malignant tumours. Osteosarcomas or osteogenic sarcomas consist of neoplastic cells that produce osteoid bone or immature bone. Sarcomas develop more in the mandible than the maxilla. The exact diagnosis of different types of sarcomas is based on the immunohistochemical investigation. These rare tumours are of mesenchymal origin; osteosarcomas and chondrosarcomas are the most common types-Ewing's sarcomas. The use of proton beam radiotherapy in the treatment of osteosarcoma of the maxilla is rarely reported in the literature. We present a case of successfully treated (surgery and proton beam radiotherapy) poorly differentiated highly aggressive osteosarcoma in the ethmoids and maxillary sinus and morbidity after the treatment. We were presented with a case of a 65-year-old man with anaesthesia and palsy of the right face. The stomatology department performed the extraction of a tooth. One month later, the wound was still open. The histology showed an osteogenic sarcoma in the area of the wound. The oncologist and maxillofacial surgeons in a catchment hospital recommended a nonsurgical approach. Hence, we performed a radical maxillectomy and ethmoidectomy, after which we continued with proton bean radiotherapy. The patient is now five years after therapy without signs of sarcoma; however, he has blindness in the right eye and reduced vision in the left eye, as well as gliosis of the brain, vertigo, tinnitus, trismus, and ancylostomiases. Head and neck osteosarcomas treatment is considered a complex multidisciplinary task. It is currently argued that there is no clear therapeutic protocol for successful treatment. Innovations in treatment modalities such as proton beam radiotherapy appear to have potential, although their effects on long-term morbidity and survival outcomes are still undetermined. We present a rare case report of an osteosarcoma of the maxilla involving an innovative, successful treatment procedure combining surgical excision followed by proton beam radiotherapy. This treatment approach may enable maximum tumour control. This protocol has not been adequately described in the world literature for this diagnosis.

摘要

头颈部肉瘤是一种罕见疾病,发病率低于所有头颈部恶性肿瘤的 1%。骨肉瘤或成骨肉瘤由产生骨样骨或未成熟骨的肿瘤细胞组成。肉瘤在下颌骨比上颌骨更常见。不同类型肉瘤的准确诊断基于免疫组织化学研究。这些罕见的肿瘤来源于间充质;骨肉瘤和软骨肉瘤是最常见的类型——尤因肉瘤。质子束放疗在治疗上颌骨骨肉瘤中的应用在文献中很少报道。我们报告了一例成功治疗(手术和质子束放疗)的筛窦和上颌窦未分化高度侵袭性骨肉瘤病例,以及治疗后的发病率。我们报告了一例 65 岁男性,出现右侧面部麻醉和瘫痪。口腔科进行了拔牙。一个月后,伤口仍未愈合。组织学显示伤口处有骨肉瘤。收治医院的肿瘤学家和颌面外科医生建议采用非手术方法。因此,我们进行了根治性上颌骨切除术和筛窦切除术,之后继续进行质子束放疗。患者在治疗后五年无肉瘤迹象,但右眼失明,左眼视力下降,同时伴有脑胶质增生、眩晕、耳鸣、牙关紧闭和Ancylostomiases。头颈部骨肉瘤的治疗被认为是一项复杂的多学科任务。目前认为,对于成功治疗,尚无明确的治疗方案。治疗方式的创新,如质子束放疗,似乎具有潜力,尽管其对长期发病率和生存结果的影响仍不确定。我们报告了一例罕见的上颌骨肉瘤病例,采用了一种创新的、成功的治疗方法,结合了手术切除和质子束放疗。这种治疗方法可能能够最大限度地控制肿瘤。这种方案在世界范围内针对这一诊断的文献中尚未得到充分描述。

https://cdn.ncbi.nlm.nih.gov/pmc/blobs/0f72/9500801/1457eb506767/medicina-58-01141-g001.jpg

相似文献

2
Head and neck sarcomas in adulthood: current trends and evolving management concepts.
Br J Oral Maxillofac Surg. 2020 Oct;58(8):890-897. doi: 10.1016/j.bjoms.2020.05.015. Epub 2020 Jul 4.
3
Poorly differentiated sarcoma of the maxillary sinus: a histopathology dilemma of a rare tumor.
J Surg Case Rep. 2022 Nov 14;2022(11):rjac504. doi: 10.1093/jscr/rjac504. eCollection 2022 Nov.
4
A Rare Case Report of Osteosarcoma of Maxilla with Double Free-Flap Reconstruction.
Indian J Surg Oncol. 2024 Mar;15(Suppl 1):172-178. doi: 10.1007/s13193-023-01846-1. Epub 2023 Nov 21.
5
Bone sarcomas of the head and neck in children: the St Jude Children's Research Hospital experience.
Cancer. 2000 May 1;88(9):2172-80. doi: 10.1002/(sici)1097-0142(20000501)88:9<2172::aid-cncr25>3.0.co;2-7.
7
Primary sarcomas of the jaw.
Aust N Z J Surg. 1979 Dec;49(6):668-75. doi: 10.1111/j.1445-2197.1979.tb06484.x.
10
Small cell osteosarcoma of bone: an immunohistochemical study with differential diagnostic considerations.
Hum Pathol. 1993 Nov;24(11):1211-25. doi: 10.1016/0046-8177(93)90218-6.

引用本文的文献

2
Osteosarcoma: current insights and advances.
Explor Target Antitumor Ther. 2025 Jun 15;6:1002324. doi: 10.37349/etat.2025.1002324. eCollection 2025.
3
Chondrosarcoma of Ureter in an Elderly Patient: A Case Report.
Medicina (Kaunas). 2023 Feb 24;59(3):454. doi: 10.3390/medicina59030454.

本文引用的文献

2
LncRNA CBR3-AS1 promotes osteosarcoma progression through the network of miR-140-5p/DDX54-NUCKS1-mTOR signaling pathway.
Mol Ther Oncolytics. 2022 Mar 8;25:189-200. doi: 10.1016/j.omto.2022.03.001. eCollection 2022 Jun 16.
4
Outcomes of osteosarcoma, chondrosarcoma and chordoma treated with image guided-intensity modulated radiation therapy.
Radiother Oncol. 2021 Nov;164:216-222. doi: 10.1016/j.radonc.2021.09.018. Epub 2021 Sep 28.
5
Osteosarcoma of the maxilla presenting as a chronic pyogenic abscess: A case report.
Int J Surg Case Rep. 2021 Oct;87:106425. doi: 10.1016/j.ijscr.2021.106425. Epub 2021 Sep 20.
6
Head and neck osteosarcomas: Analysis of treatment trends and survival outcomes in the United States (2004-2016).
Head Neck. 2021 Nov;43(11):3294-3305. doi: 10.1002/hed.26817. Epub 2021 Jul 17.
8
Osteosarcoma of the anterior maxilla mimicking a periapical pathology: A case report.
Aust Endod J. 2021 Dec;47(3):656-663. doi: 10.1111/aej.12491. Epub 2021 Feb 18.
9
Head and neck sarcomas in adulthood: current trends and evolving management concepts.
Br J Oral Maxillofac Surg. 2020 Oct;58(8):890-897. doi: 10.1016/j.bjoms.2020.05.015. Epub 2020 Jul 4.
10
The Management of Head and Neck Sarcoma.
J Craniofac Surg. 2020 Mar/Apr;31(2):e189-e192. doi: 10.1097/SCS.0000000000006162.

文献AI研究员

20分钟写一篇综述,助力文献阅读效率提升50倍。

立即体验

用中文搜PubMed

大模型驱动的PubMed中文搜索引擎

马上搜索

文档翻译

学术文献翻译模型,支持多种主流文档格式。

立即体验