Department of Biotherapy, Sun Yat-sen University Cancer Center, Guangzhou, China.
Collaborative Innovation Center for Cancer Medicine, State Key Laboratory of Oncology in South China, Sun Yat-sen University Cancer Center, Guangzhou, China.
Int J Biol Sci. 2022 Aug 15;18(14):5241-5259. doi: 10.7150/ijbs.71694. eCollection 2022.
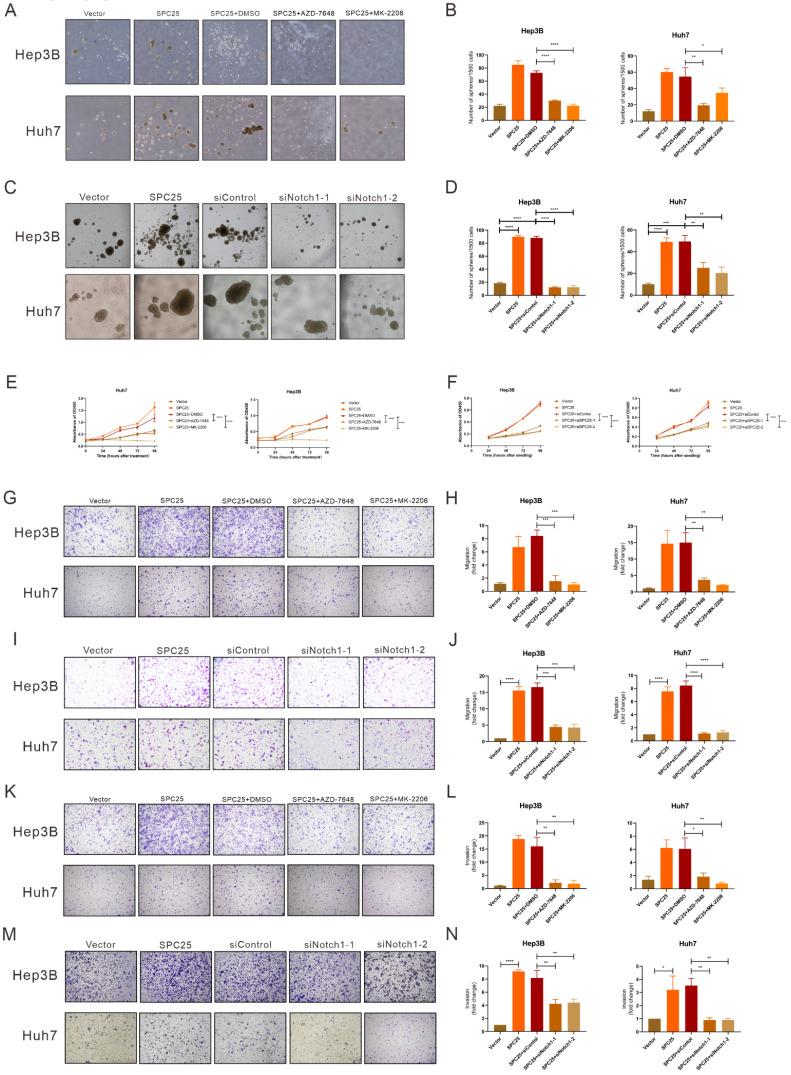
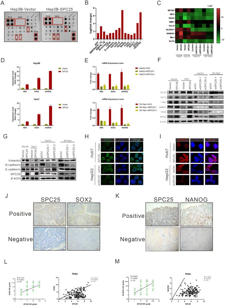
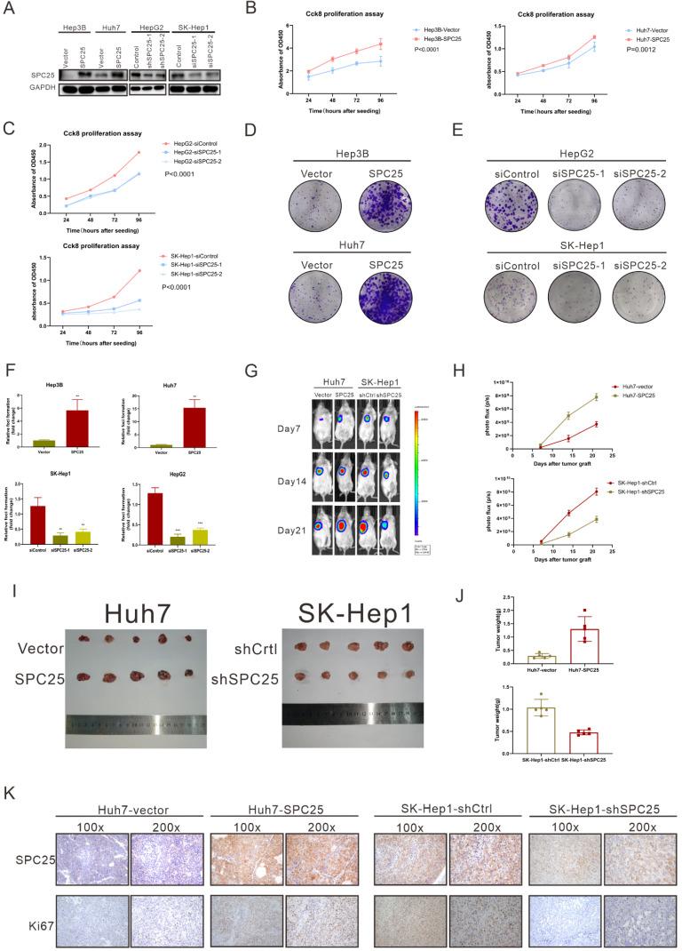
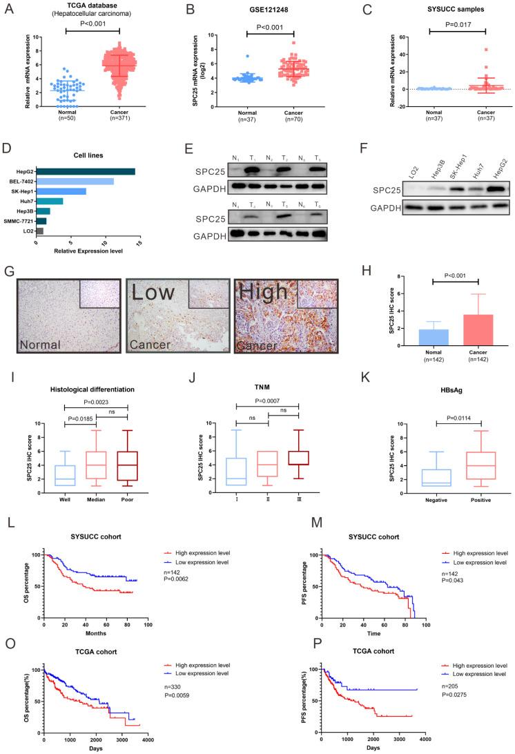
The imbalance of kinetochore-microtubule attachment during cell mitosis is a response to the initiation and progression of human cancers. Spindle component 25 (SPC25) is indispensable for spindle apparatus organization and chromosome segregation. SPC25 plays an important role in the development of malignant tumors, but its role in hepatocellular carcinoma (HCC) is yet to be determined. In this study, we aimed to preliminarily investigate the role of SPC25 in HCC progression and the molecular mechanisms underlying the process. We identified SPC25 as a clinically notable molecule significantly correlated with the grade of malignancy and poor survival in both The Cancer Genome Atlas (TCGA) cohort and the HCC patient cohort from our center. Mechanistically, SPC25 promoted the incidence of DNA damage and activated the DNA-PK/Akt/Notch1 signaling cascade in HCC cells; the NICD/ RBP-Jκ complex directly targeted SOX2 and NANOG in a transcriptional manner to regulate the proliferation and self-renewal of HCC cells. Our study suggests that HCC-intrinsic SPC25/DNA-PK/Akt/Notch1 signaling is an important mechanism to promote carcinogenesis by regulating the proliferation and stemness program, which provides possible biomarkers for predicting HCC progression and poor survival, as well as potential therapeutic targets for HCC patients.
在细胞有丝分裂过程中,动粒-微管附着的失衡是对人类癌症发生和进展的一种反应。纺锤体成分 25(SPC25)对于纺锤体装置的组织和染色体分离是不可或缺的。SPC25 在恶性肿瘤的发展中起着重要作用,但它在肝细胞癌(HCC)中的作用尚未确定。在本研究中,我们旨在初步研究 SPC25 在 HCC 进展中的作用以及该过程背后的分子机制。我们鉴定了 SPC25,它是一种临床上显著的分子,与 TCGA 队列和我们中心的 HCC 患者队列中的恶性程度和不良生存均显著相关。从机制上讲,SPC25 促进了 HCC 细胞中 DNA 损伤的发生,并激活了 DNA-PK/Akt/Notch1 信号级联;NICD/RBP-Jκ 复合物以转录方式直接靶向 SOX2 和 NANOG,以调节 HCC 细胞的增殖和自我更新。我们的研究表明,HCC 内在的 SPC25/DNA-PK/Akt/Notch1 信号是通过调节增殖和干性程序促进癌变的重要机制,为预测 HCC 进展和不良生存提供了可能的生物标志物,并为 HCC 患者提供了潜在的治疗靶点。