Suppr超能文献

PD-L1/整合素β4轴通过FAK/AKT/mTOR信号通路调节肝细胞癌对索拉非尼的敏感性。

PD-L1/ITGB4 Axis Modulates Sensitivity of Hepatocellular Carcinoma to Sorafenib via FAK/AKT/mTOR Signaling Pathway.

作者信息

Zhu Tao, Cao Niandie, Tu Li, Ouyang Shiqi, Wang Zengli, Liang Yong, Zhou Shuping, Tang Xiaolong

机构信息

Medical School, Anhui University of Science and Technology, Huainan, People's Republic of China.

Central and Clinical Laboratory, Affiliated Huaian Hospital of Xuzhou Medical University, Huaian, People's Republic of China.

出版信息

Immunotargets Ther. 2025 Aug 13;14:815-830. doi: 10.2147/ITT.S534782. eCollection 2025.

Abstract

BACKGROUND

Hepatocellular carcinoma (HCC) frequently develops resistance to sorafenib, a first-line treatment for advanced HCC. While PD-L1 contributes to immune evasion and direct tumor survival, its role in modulating sorafenib resistance via non-immunological pathways remains unclear. This study investigates the PD-L1/ITGB4 axis in regulating sorafenib sensitivity.

METHODS

Bioinformatics analysis of HCC datasets identified PD-L1/ITGB4 co-expression. Protein interaction was validated via co-immunoprecipitation (Co-IP). Functional impacts on FAK/AKT/mTOR signaling were assessed using kinase inhibitors and gene knockdown in HCC cell lines. Sorafenib sensitivity was evaluated in vitro and in xenograft models with mono- and combination therapies (PD-L1/ITGB4 inhibition ± sorafenib).

RESULTS

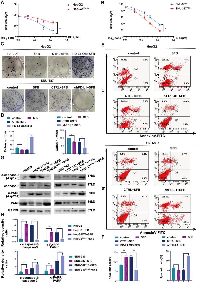
PD-L1 directly interacts with ITGB4 to activate the FAK/AKT/mTOR signaling pathway, independent of its immune-regulatory functions. This interaction critically mediates sorafenib resistance in HCC, as evidenced by significantly reduced drug sensitivity in PD-L1/ITGB4 cells ( < 0.001). Crucially, genetic knockdown of either PD-L1 or ITGB4 effectively reversed this chemoresistance phenotype. In translational validation, combined pharmacological inhibition of the PD-L1/ITGB4 axis with sorafenib synergistically suppressed tumor progression in vivo, achieving >60% greater volume reduction compared to monotherapies.

CONCLUSION

The PD-L1/ITGB4 axis drives sorafenib resistance via FAK/AKT/mTOR hyperactivation. Dual targeting of PD-L1/ITGB4 enhances sorafenib efficacy, revealing a tumor-intrinsic mechanism and proposing a novel combinatorial strategy for HCC.

摘要

背景

肝细胞癌(HCC)常对索拉非尼产生耐药性,索拉非尼是晚期HCC的一线治疗药物。虽然程序性死亡受体配体1(PD-L1)有助于免疫逃逸和肿瘤细胞直接存活,但其通过非免疫途径调节索拉非尼耐药性的作用仍不清楚。本研究调查了PD-L1/整合素β4(ITGB4)轴在调节索拉非尼敏感性中的作用。

方法

对HCC数据集进行生物信息学分析,确定PD-L1/ITGB4共表达。通过免疫共沉淀(Co-IP)验证蛋白质相互作用。在HCC细胞系中使用激酶抑制剂和基因敲低评估对黏着斑激酶(FAK)/蛋白激酶B(AKT)/哺乳动物雷帕霉素靶蛋白(mTOR)信号通路的功能影响。在体外和异种移植模型中,采用单一疗法和联合疗法(PD-L1/ITGB4抑制±索拉非尼)评估索拉非尼敏感性。

结果

PD-L1直接与ITGB4相互作用,激活FAK/AKT/mTOR信号通路,与其免疫调节功能无关。这种相互作用在HCC中关键介导索拉非尼耐药,PD-L1/ITGB4细胞中药物敏感性显著降低证明了这一点(<0.001)。至关重要的是,PD-L1或ITGB4的基因敲低有效逆转了这种化疗耐药表型。在转化验证中,PD-L1/ITGB4轴与索拉非尼的联合药理学抑制在体内协同抑制肿瘤进展,与单一疗法相比,体积缩小超过60%。

结论

PD-L1/ITGB4轴通过FAK/AKT/mTOR过度激活驱动索拉非尼耐药。对PD-L1/ITGB4的双重靶向增强了索拉非尼疗效,揭示了一种肿瘤内在机制,并为HCC提出了一种新的联合策略。

https://cdn.ncbi.nlm.nih.gov/pmc/blobs/c68f/12358154/c3f1e62048d4/ITT-14-815-g0001.jpg

文献AI研究员

20分钟写一篇综述,助力文献阅读效率提升50倍。

立即体验

用中文搜PubMed

大模型驱动的PubMed中文搜索引擎

马上搜索

文档翻译

学术文献翻译模型,支持多种主流文档格式。

立即体验