Institute of Basic Medical Sciences, College of Medicine, National Cheng Kung University, Tainan, 70101, Taiwan, ROC.
Department of Cell Biology and Anatomy, College of Medicine, National Cheng Kung University, Tainan, 70101, Taiwan, ROC.
Mol Psychiatry. 2022 Nov;27(11):4372-4384. doi: 10.1038/s41380-022-01787-1. Epub 2022 Sep 30.
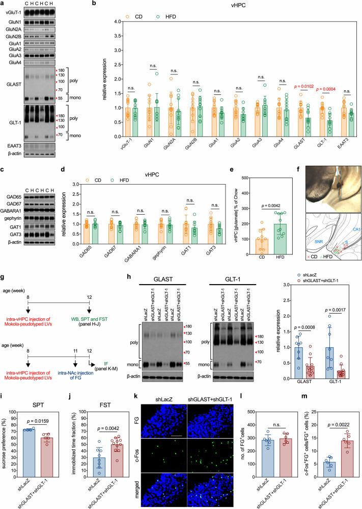
Comorbidity exists between metabolic disorders and depressive syndrome with unclear mechanisms. To characterize the causal relationship, we adopted a 12-week high-fat diet (HFD) to induce metabolic disorder and depressive phenotypes in mice. Initially, we identified an enhanced glutamatergic input in the nucleus accumbens of HFD mice. Retrograde tracing and chemogenetic inhibition showed that the hyperactive ventral hippocampal glutamatergic afferents to the nucleus accumbens determined the exhibition of depression-like behavior in HFD mice. Using lentiviral knockdown and overexpression approaches, we proved that HFD-induced downregulation of glial glutamate transporters, GLAST and GLT-1, contributed to the observed circuit maladaptations and subsequent depression-like behaviors. Finally, we identified a potential therapeutic agent, riluzole, which could mitigate the HFD-induced behavioral deficits by normalizing the expressions of GLAST and GLT-1 and ventral hippocampal glutamatergic afferents to the nucleus accumbens. Overall, astrocyte-mediated disturbance in glutamatergic transmission underlies the metabolic disorder-related depressive syndrome and represents a therapeutic target for this subtype of depressive mood disorders.
代谢紊乱和抑郁综合征之间存在共病,其机制尚不清楚。为了描述这种因果关系,我们采用了 12 周高脂肪饮食(HFD)来诱导代谢紊乱和抑郁表型的小鼠。首先,我们发现 HFD 小鼠的伏隔核中谷氨酸能传入增强。逆行示踪和化学遗传抑制表明,腹侧海马兴奋性谷氨酸能传入到伏隔核的过度活跃决定了 HFD 小鼠表现出抑郁样行为。通过慢病毒敲低和过表达方法,我们证明了 HFD 诱导的胶质细胞谷氨酸转运体 GLAST 和 GLT-1 的下调导致了观察到的回路适应不良和随后的抑郁样行为。最后,我们确定了一种潜在的治疗剂,利鲁唑,它可以通过调节 GLAST 和 GLT-1 的表达以及腹侧海马兴奋性谷氨酸能传入到伏隔核来减轻 HFD 引起的行为缺陷。总的来说,星形胶质细胞介导的谷氨酸能传递紊乱是代谢紊乱相关抑郁综合征的基础,代表了这种抑郁情绪障碍亚型的治疗靶点。