Suppr超能文献

高危患者急性中耳炎继发侵袭性肺炎球菌病:一例病例报告及肺炎球菌免疫指南近期变化综述

Invasive Pneumococcal Disease Secondary to Acute Otitis Media in a High-Risk Patient: A Case Report and Review of Recent Changes to Pneumococcal Immunization Guidelines.

作者信息

Gregory Joshua, Chohrach Nathaniel, Iyengar Deepa

机构信息

Family and Community Medicine, The University of Texas, Health Science Center at Houston McGovern Medical School, Houston, USA.

出版信息

Cureus. 2022 Aug 29;14(8):e28557. doi: 10.7759/cureus.28557. eCollection 2022 Aug.

Abstract

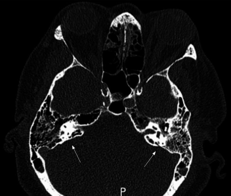
can commonly cause otitis media, sinusitis, pneumonia, or meningitis; however, these infections less frequently can develop into invasive pneumococcal disease (IPD). Vaccination for the prevention of pneumococcal disease has significantly decreased complications from severe infections, including pneumonia, meningitis, and IPD, in patients with certain risk factors. In this case study, we describe a unique presentation of disseminated meningitis and bacteremia in a patient who initially presented with acute otitis media (AOM). Due to the patient's multiple comorbidities of obesity, tobacco use, pre-diabetes, coronary artery disease, and lack of pneumococcal vaccination, their AOM rapidly progressed to life-threatening, an invasive pneumococcal infection which was successfully treated with timely initiation of antibiotics. In addition to discussing the patient's clinical course and treatment regimen, we will review pertinent updates to the pneumococcal vaccination guidelines for high-risk patients and their efficacy in preventing severe disease.

摘要

通常可引起中耳炎、鼻窦炎、肺炎或脑膜炎;然而,这些感染较少发展为侵袭性肺炎球菌病(IPD)。预防肺炎球菌病的疫苗接种已显著降低了具有某些危险因素的患者因严重感染(包括肺炎、脑膜炎和IPD)而引发的并发症。在本病例研究中,我们描述了一名最初表现为急性中耳炎(AOM)的患者出现播散性脑膜炎和菌血症的独特病例。由于该患者存在肥胖、吸烟、糖尿病前期、冠状动脉疾病等多种合并症且未接种肺炎球菌疫苗,其AOM迅速进展为危及生命的侵袭性肺炎球菌感染,通过及时使用抗生素成功治愈。除了讨论患者的临床病程和治疗方案外,我们还将回顾高危患者肺炎球菌疫苗接种指南的相关更新及其预防严重疾病的疗效。

https://cdn.ncbi.nlm.nih.gov/pmc/blobs/49eb/9519188/be372b5cbd08/cureus-0014-00000028557-i01.jpg

文献AI研究员

20分钟写一篇综述,助力文献阅读效率提升50倍。

立即体验

用中文搜PubMed

大模型驱动的PubMed中文搜索引擎

马上搜索

文档翻译

学术文献翻译模型,支持多种主流文档格式。

立即体验