Suppr超能文献

实验性感染期间鸽子的免疫发病机制

Immune pathogenesis in pigeons during experimental infection.

作者信息

Abuzeid Asmaa M I, Hefni Mahmoud M, Huang Yue, He Long, Zhuang Tingting, Li Guoqing

机构信息

Guangdong Provincial Key Laboratory of Zoonosis Prevention and Control, College of Veterinary Medicine, South China Agricultural University, Guangzhou, China.

Department of Parasitology, Faculty of Veterinary Medicine, Suez Canal University, Ismailia, Egypt.

出版信息

Front Vet Sci. 2022 Sep 14;9:974698. doi: 10.3389/fvets.2022.974698. eCollection 2022.

Abstract

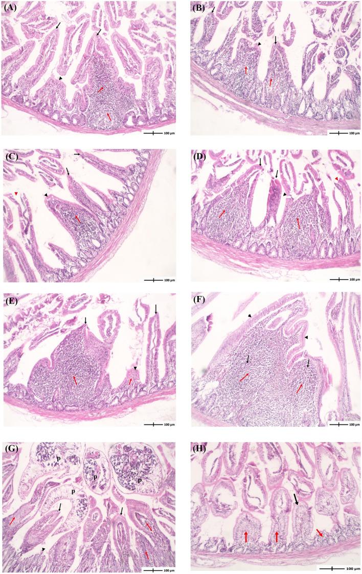
is a small trematode belonging to the family Cyathocotylidae, infecting fish-eating birds and mammals, including humans. However, no data on molecular identification and immune pathogenesis are available, challenging effective diagnostic and therapeutic interventions. Here, we identified based on combined morphological and molecular data and examined histopathological lesions and the differential cytokines expression in experimentally infected pigeons. Pigeons were orally infected with 500 prohemistomid metacercariae. Intestinal and spleen tissues were harvested 2, 4, 7, 14, 21, and 28 days post-infection (dpi). Gene expression levels of eleven cytokines (IL-1, IL-2, IL-4, IL-5, IL-6, IL-10, IL-12, IL-15, IL-18, IFN-γ, and TGF-β3) were assessed using quantitative reverse-transcription PCR (RT-qPCR). We identified the recovered flukes as based on morphological features and the sequence and phylogenetic analysis of the internal transcribed spacer 1 (ITS1), 5.8 ribosomal RNA, and ITS2 region. Histopathological lesions were induced as early as 2 dpi, with the intensity of villi atrophy and inflammatory cell infiltration increasing as the infection progressed. An early immunosuppressive state (2 and 4 dpi), with TGF-β3 overexpression, developed to allow parasite colonization. A mixed Th1/Th2 immune response (overexpressed IFN-γ, IL-12, IL-2, IL-4, and IL-5) was activated as the infection progressed from 7 to 28 dpi. Inflammatory cytokines (IL-1, IL-6, IL-18, and IL-15) were generally overexpressed at 7-28 dpi, peaking at 7 or 14 dpi. The upregulated Treg IL-10 expression peaking between 21 and 28 dpi might promote the Th1/Th2 balance and immune homeostasis to protect the host from excessive tissue pathology and inflammation. The intestine and spleen expressed a significantly different relative quantity of cytokines throughout the infection. To conclude, our results presented distinct cytokine alteration throughout infection in pigeons, which may aid in understanding the immune pathogenesis and host defense mechanism against this infection.

摘要

是一种属于杯叶科的小型吸虫,可感染食鱼鸟类和哺乳动物,包括人类。然而,目前尚无关于分子鉴定和免疫发病机制的数据,这对有效的诊断和治疗干预构成了挑战。在此,我们基于形态学和分子数据鉴定了[吸虫名称未给出],并检查了实验感染鸽子的组织病理学病变和细胞因子差异表达。给鸽子口服感染500个前半口吸虫囊蚴。在感染后2、4、7、14、21和28天采集肠道和脾脏组织。使用定量逆转录PCR(RT-qPCR)评估11种细胞因子(IL-1、IL-2、IL-4、IL-5、IL-6、IL-10、IL-12、IL-15、IL-18、IFN-γ和TGF-β3)的基因表达水平。基于形态学特征以及内部转录间隔区1(ITS1)、5.8核糖体RNA和ITS2区域的序列及系统发育分析,我们将回收的吸虫鉴定为[吸虫名称未给出]。早在感染后2天就出现了组织病理学病变,随着感染进展,绒毛萎缩和炎性细胞浸润的强度增加。早期出现免疫抑制状态(感染后2天和4天),伴有TGF-β3过表达,以允许寄生虫定植。随着感染从7天进展到28天,激活了混合的Th1/Th2免疫反应(IFN-γ、IL-12、IL-2、IL-4和IL-5过表达)。炎性细胞因子(IL-1、IL-6、IL-18和IL-15)在感染后7至28天通常过表达,在7天或14天达到峰值。上调的调节性T细胞IL-10表达在21至28天达到峰值,可能促进Th1/Th2平衡和免疫稳态,以保护宿主免受过度的组织病理和炎症影响。在整个感染过程中,肠道和脾脏表达的细胞因子相对量有显著差异。总之,我们的结果显示了鸽子在整个感染过程中细胞因子的明显变化,这可能有助于理解针对这种感染的免疫发病机制和宿主防御机制。

https://cdn.ncbi.nlm.nih.gov/pmc/blobs/2860/9516004/169be9f0b22f/fvets-09-974698-g0001.jpg

文献AI研究员

20分钟写一篇综述,助力文献阅读效率提升50倍。

立即体验

用中文搜PubMed

大模型驱动的PubMed中文搜索引擎

马上搜索

文档翻译

学术文献翻译模型,支持多种主流文档格式。

立即体验