Ogilvie Mark E, Tabibian Borna E, Harrigan Mark R
J Neurosurg Case Lessons. 2022 Oct 3;4(14). doi: 10.3171/CASE22225.
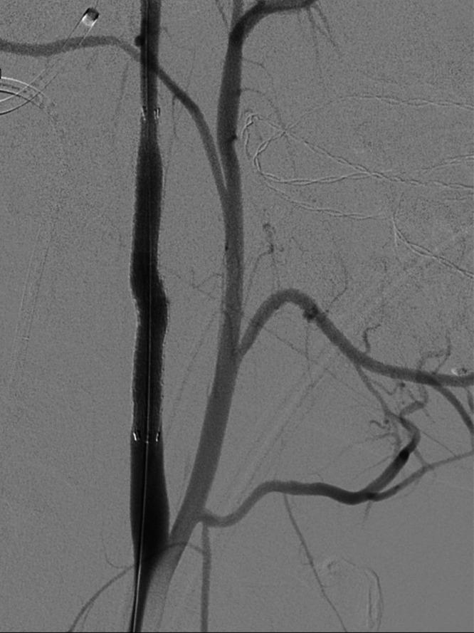
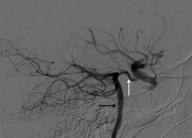
A teenage boy who had been stabbed in the neck presented with an extracranial traumatic functional carotid artery occlusion that could not be crossed in an antegrade fashion. Endovascular repair depends on obtaining catheter access proximal and distal to an injury within the true lumen.
The occlusion was treated with flossing technique via the posterior communicating artery. After successful recanalization from a retrograde approach, the carotid artery occlusion was treated with a covered stent.
The flossing technique is well established in peripheral vascular disease and may be beneficial in certain cases in the neck vasculature when antegrade access is difficult to obtain. Recanalization of an occluded carotid artery from retrograde approach may be successful in cases of trauma from knife wounds.