• 文献检索
  • 文档翻译
  • 深度研究
  • 学术资讯
  • Suppr Zotero 插件Zotero 插件
  • 邀请有礼
  • 套餐&价格
  • 历史记录
应用&插件
Suppr Zotero 插件Zotero 插件浏览器插件Mac 客户端Windows 客户端微信小程序
定价
高级版会员购买积分包购买API积分包
服务
文献检索文档翻译深度研究API 文档MCP 服务
关于我们
关于 Suppr公司介绍联系我们用户协议隐私条款
关注我们

Suppr 超能文献

核心技术专利:CN118964589B侵权必究
粤ICP备2023148730 号-1Suppr @ 2026

文献检索

告别复杂PubMed语法,用中文像聊天一样搜索,搜遍4000万医学文献。AI智能推荐,让科研检索更轻松。

立即免费搜索

文件翻译

保留排版,准确专业,支持PDF/Word/PPT等文件格式,支持 12+语言互译。

免费翻译文档

深度研究

AI帮你快速写综述,25分钟生成高质量综述,智能提取关键信息,辅助科研写作。

立即免费体验

异位甲状腺组织的一种独特表现:病例报告及处理原则

A Unique Presentation of Ectopic Thyroid Tissue: Case Report and Management Principles.

作者信息

Sanker Vivek, Mohamed Azeem, Pranala Maanasi, Tharakan Varghese

机构信息

Surgery, Noorul Islam Institute of Medical Science (NIMS) Medicity, Trivandrum, IND.

General Surgery, Noorul Islam Institute of Medical Science (NIMS) Medicity, Trivandrum, IND.

出版信息

Cureus. 2022 Sep 3;14(9):e28717. doi: 10.7759/cureus.28717. eCollection 2022 Sep.

DOI:10.7759/cureus.28717
PMID:36204041
原文链接:https://pmc.ncbi.nlm.nih.gov/articles/PMC9527565/
Abstract

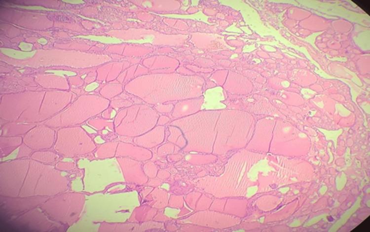
Ectopic thyroid is a rare clinical presentation to encounter in day-to-day clinical practice. It occurs due to developmental defects in the early stages of the thyroid gland embryogenesis during its descent from the floor of the primitive foregut to its final pre-tracheal position. It is usually present along the extent of the thyroglossal duct as well as in distant locations such as sub-diaphragmatic or mediastinal spaces. The diverse clinical presentation of this rare entity often causes a diagnostic dilemma. A thyroid scintigraphy scan is pivotal in the diagnosis of ectopy, but ultrasonography is done more frequently. Surgical management is preferred for symptomatic cases, followed by radioactive iodine ablation and levothyroxine supportive therapy for refractory cases. We present a case of a 62-year-old female patient who presented with pain and swelling of the right submandibular region. On ultrasonography, a 5*4 cm firm mobile swelling of the right submandibular region was found, suggestive of right submandibular sialadenitis. Fine needle aspiration cytology (FNAC) was subsequently done, and it showed features of basaloid neoplasm like pleomorphic adenoma, and as the thyroid tissue was in an ectopic location, it must have been misdiagnosed. The patient was then taken up for right submandibular sialoadenectomy, and the histopathological examination of the operative specimen showed nodular colloidal goiter and mild chronic sialadenitis. Ectopic thyroid can present at various anatomical locations and thereby has varied clinical presentations which makes it a diagnostic dilemma for clinicians. The usual radiological investigations done include USG and CT scan, whereas thyroid scintigraphy is more precise in reaching the diagnosis of ectopic thyroid. The confirmatory diagnostic method is the histopathological examination of the excised specimen. Most cases of ectopic thyroid are asymptomatic and require regular follow-up. Symptomatic cases are managed by surgical excision followed by periodic monitoring and adequate thyroxine replacement.

摘要

异位甲状腺是日常临床实践中少见的临床表现。它是由于甲状腺在胚胎发育早期从原始前肠底部下降至气管前最终位置的过程中出现发育缺陷所致。它通常出现在甲状舌管走行的范围内,也可出现在如膈下或纵隔等较远的部位。这种罕见疾病多样的临床表现常导致诊断困难。甲状腺闪烁扫描在异位甲状腺的诊断中起关键作用,但超声检查更为常用。有症状的病例首选手术治疗,难治性病例则采用放射性碘消融及左甲状腺素支持治疗。我们报告一例62岁女性患者,她因右下颌下区疼痛和肿胀前来就诊。超声检查发现右下颌下区有一个5×4cm质地硬、可活动的肿物,提示右下颌下涎腺炎。随后进行了细针穿刺细胞学检查(FNAC),结果显示为基底样肿瘤特征,如多形性腺瘤,由于甲状腺组织位于异位位置,之前肯定被误诊了。该患者随后接受了右下颌下涎腺切除术,手术标本的组织病理学检查显示为结节性胶样甲状腺肿和轻度慢性涎腺炎。异位甲状腺可出现在不同的解剖位置,因此有多种临床表现,这给临床医生带来了诊断难题。通常进行的影像学检查包括超声检查(USG)和CT扫描,而甲状腺闪烁扫描在诊断异位甲状腺方面更为精确。确诊的诊断方法是对切除标本进行组织病理学检查。大多数异位甲状腺病例无症状,需要定期随访。有症状的病例通过手术切除治疗,随后进行定期监测和适当的甲状腺素替代治疗。

https://cdn.ncbi.nlm.nih.gov/pmc/blobs/a94a/9527565/cf53767216f1/cureus-0014-00000028717-i03.jpg
https://cdn.ncbi.nlm.nih.gov/pmc/blobs/a94a/9527565/dccc98b025ff/cureus-0014-00000028717-i01.jpg
https://cdn.ncbi.nlm.nih.gov/pmc/blobs/a94a/9527565/3b481e994fca/cureus-0014-00000028717-i02.jpg
https://cdn.ncbi.nlm.nih.gov/pmc/blobs/a94a/9527565/cf53767216f1/cureus-0014-00000028717-i03.jpg
https://cdn.ncbi.nlm.nih.gov/pmc/blobs/a94a/9527565/dccc98b025ff/cureus-0014-00000028717-i01.jpg
https://cdn.ncbi.nlm.nih.gov/pmc/blobs/a94a/9527565/3b481e994fca/cureus-0014-00000028717-i02.jpg
https://cdn.ncbi.nlm.nih.gov/pmc/blobs/a94a/9527565/cf53767216f1/cureus-0014-00000028717-i03.jpg

相似文献

1
A Unique Presentation of Ectopic Thyroid Tissue: Case Report and Management Principles.异位甲状腺组织的一种独特表现:病例报告及处理原则
Cureus. 2022 Sep 3;14(9):e28717. doi: 10.7759/cureus.28717. eCollection 2022 Sep.
2
Ectopic thyroid tissue: anatomical, clinical, and surgical implications of a rare entity.异位甲状腺组织:一种罕见实体的解剖、临床和外科意义。
Eur J Endocrinol. 2011 Sep;165(3):375-82. doi: 10.1530/EJE-11-0461. Epub 2011 Jun 29.
3
Submental Ectopic Thyroid in a Patient with an Orthotopic Thyroid Gland.原位甲状腺患者的颏下异位甲状腺
J Med Ultrasound. 2022 Sep 21;30(3):229-232. doi: 10.4103/jmu.jmu_157_21. eCollection 2022 Jul-Sep.
4
Morphological, diagnostic and surgical features of ectopic thyroid gland: a review of literature.异位甲状腺的形态、诊断和手术特征:文献回顾。
Int J Surg. 2014;12 Suppl 1:S3-11. doi: 10.1016/j.ijsu.2014.05.076. Epub 2014 Jun 2.
5
Case of Colloid Nodular Goitre in a Rare Submandibular Location.罕见的颌下部位胶样结节性甲状腺肿病例。
Cureus. 2021 Sep 16;13(9):e18035. doi: 10.7759/cureus.18035. eCollection 2021 Sep.
6
Ectopic thyroid gland: description of a case and review of the literature.异位甲状腺:一例病例描述及文献综述
Endocr Metab Immune Disord Drug Targets. 2013 Sep;13(3):275-81. doi: 10.2174/18715303113136660044.
7
Ectopic thyroid with benign and malignant findings: A case series.伴有良性和恶性表现的异位甲状腺:病例系列
Int J Surg Case Rep. 2020;66:33-38. doi: 10.1016/j.ijscr.2019.11.011. Epub 2019 Nov 18.
8
Lateral ectopic thyroid: a case diagnosed preoperatively.侧位异位甲状腺:一例术前诊断病例。
Ear Nose Throat J. 2012 Apr;91(4):E14-8. doi: 10.1177/014556131209100417.
9
Ectopic thyroid tissue in submandibular and infrahyoid region.下颌下及舌骨下区域的异位甲状腺组织
Eurasian J Med. 2014 Oct;46(3):216-9. doi: 10.5152/eajm.2014.34. Epub 2014 Jul 8.
10
Ectopic thyroid tissue presenting as a submandibular mass.
Head Neck. 1996 Jan-Feb;18(1):87-90. doi: 10.1002/(SICI)1097-0347(199601/02)18:1<87::AID-HED11>3.0.CO;2-L.

引用本文的文献

1
Personalized Management of Malignant and Non-Malignant Ectopic Mediastinal Thyroid: A Proposed 10-Item Algorithm Approach.恶性和非恶性异位纵隔甲状腺的个性化管理:一种提议的十项算法方法
Cancers (Basel). 2024 May 14;16(10):1868. doi: 10.3390/cancers16101868.
2
Follicular adenoma with a papillary architecture originating from an ectopic thyroid gland: a case report.滤泡性腺瘤伴甲状腺异位起源的乳头状结构:一例报告。
BMC Endocr Disord. 2024 Jan 30;24(1):16. doi: 10.1186/s12902-024-01547-y.
3
En bloc resection of pararectal ectopic thyroid tissue: a case report.

本文引用的文献

1
Submental Ectopic Thyroid Cyst: An Atypical Presentation.颏下异位甲状腺囊肿:一种非典型表现。
Indian J Otolaryngol Head Neck Surg. 2019 Oct;71(Suppl 1):712-715. doi: 10.1007/s12070-018-1515-0. Epub 2018 Oct 30.
2
Ectopic Thyroid in Stomach; a Case Report.胃内异位甲状腺;一例报告
Iran J Pathol. 2018 Winter;13(1):103-105.
3
Prevalence, diagnosis and management of ectopic thyroid glands.异位甲状腺的患病率、诊断和管理。
直肠旁异位甲状腺组织整块切除:一例报告
J Surg Case Rep. 2023 Sep 30;2023(9):rjad515. doi: 10.1093/jscr/rjad515. eCollection 2023 Sep.
Int J Surg. 2016 Apr;28 Suppl 1:S1-6. doi: 10.1016/j.ijsu.2015.12.043. Epub 2015 Dec 18.
4
New insight into ectopic thyroid glands between the neck and maxillofacial region from a 42-case study.基于42例病例研究对颈部与颌面区域之间异位甲状腺的新见解。
BMC Endocr Disord. 2015 Nov 18;15:70. doi: 10.1186/s12902-015-0066-6.
5
Morphological, diagnostic and surgical features of ectopic thyroid gland: a review of literature.异位甲状腺的形态、诊断和手术特征:文献回顾。
Int J Surg. 2014;12 Suppl 1:S3-11. doi: 10.1016/j.ijsu.2014.05.076. Epub 2014 Jun 2.
6
Surgical and medical management of midline ectopic thyroid.中线异位甲状腺的手术及内科治疗
Otolaryngol Head Neck Surg. 2007 Jun;136(6):870-2. doi: 10.1016/j.otohns.2007.01.008.
7
[The diagnosis and surgical management of ectopic thyroid tumour].[异位甲状腺肿瘤的诊断与外科治疗]
Zhonghua Wai Ke Za Zhi. 1996 May;34(5):289-90.
8
Current management of thyroglossal-duct remnant.甲状舌管残余物的当前管理。
J Otolaryngol. 1997 Aug;26(4):259-65.
9
Thyroid gland ectopias.甲状腺异位
Ann Otol Rhinol Laryngol. 1996 Dec;105(12):996-1000. doi: 10.1177/000348949610501212.
10
Ectopic thyroid tissue presenting as a submandibular mass.
Head Neck. 1996 Jan-Feb;18(1):87-90. doi: 10.1002/(SICI)1097-0347(199601/02)18:1<87::AID-HED11>3.0.CO;2-L.