Suppr超能文献

在治疗合并左心室流出道梗阻的主动脉瓣狭窄患者之前的一句警示。

A Word of Caution Before Treating Aortic Stenosis in Patients With Concomitant LVOT Obstruction.

作者信息

Ben-Dor Itsik, Rogers Toby, Medranda Giorgio A, Medvedofsky Diego, Weissman Gaby, Case Brian C, Satler Lowell F, Waksman Ron

机构信息

Section of Interventional Cardiology, MedStar Washington Hospital Center, Washington, DC, USA.

Cardiovascular Branch, Division of Intramural Research, National Heart, Lung and Blood Institute, National Institutes of Health, Bethesda, Maryland, USA.

出版信息

JACC Case Rep. 2022 Sep 21;4(18):1162-1168. doi: 10.1016/j.jaccas.2022.01.025.

Abstract

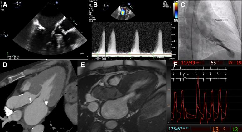
Patients with aortic stenosis and concomitant left ventricular outflow tract obstruction undergoing transcatheter aortic valve replacement are at risk of hemodynamic collapse after the procedure due to worsening left ventricular outflow tract obstruction. We present 3 cases highlighting the important interplay between these 2 disease states and associated diagnostic and treatment challenges. ().

摘要

患有主动脉瓣狭窄并伴有左心室流出道梗阻的患者在接受经导管主动脉瓣置换术后,由于左心室流出道梗阻加重,有发生血流动力学崩溃的风险。我们介绍3例病例,突出这两种疾病状态之间重要的相互作用以及相关的诊断和治疗挑战。()

https://cdn.ncbi.nlm.nih.gov/pmc/blobs/8208/9537090/f4d44aa5b4dd/fx1.jpg

文献AI研究员

20分钟写一篇综述,助力文献阅读效率提升50倍。

立即体验

用中文搜PubMed

大模型驱动的PubMed中文搜索引擎

马上搜索

文档翻译

学术文献翻译模型,支持多种主流文档格式。

立即体验