Suppr超能文献

小儿丘脑神经胶质瘤继发偏瘫性痉挛:病例报告。

Hemidystonia secondary to pediatric thalamic glioblastoma: a case report.

机构信息

Department of Neurosurgery, Hannover Medical School, Carl-Neuberg Strasse 1, 30625, Hannover, Germany.

出版信息

Childs Nerv Syst. 2023 Feb;39(2):557-559. doi: 10.1007/s00381-022-05698-y. Epub 2022 Oct 12.

Abstract

INTRODUCTION

Thalamic tumors are rare and uncommonly manifest as movement disorders, including hemidystonia. Despite this association, little is known about the evolution of hemidystonia.

CASE DESCRIPTION

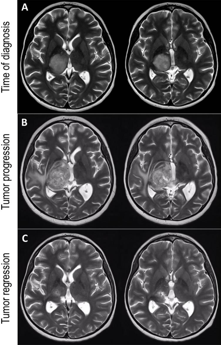
We report on a 11-year-old boy who complained of hypaesthesia and fine motor problems in the left hand. A magnetic resonance imaging showed a large mass in the right thalamus. Stereotactic biopsy revealed a WHO grade 4 astrocytoma, and the patient underwent normofractioned radiochemotherapy with proton-beam radiation and temozolomide. Three months later, a spastic hemiparesis developed on the left side, which progressed over months. Over the following months, the hemiparesis slowly improved, but hemidystonia in the same side developed. This was accompanied with radiological evidence of tumor regression, showing a persistent lesion in the ventral posterolateral and the intralaminar thalamus.

CONCLUSION

This case illustrates the unusual and complex temporal course of appearance and disappearance of hemidystonia along with the regression and growth in glioblastoma involving the thalamus.

摘要

引言

丘脑肿瘤较为罕见,且通常不会表现为运动障碍,包括半身性肌张力障碍。尽管存在这种关联,但对于半身性肌张力障碍的演变知之甚少。

病例描述

我们报告了一例 11 岁男孩,他主诉左手出现感觉迟钝和精细运动问题。磁共振成像显示右侧丘脑有一个大肿块。立体定向活检显示为 WHO 分级 4 级星形细胞瘤,患者接受了常规分割放化疗,包括质子束放疗和替莫唑胺。3 个月后,左侧出现痉挛性偏瘫,数月后逐渐加重。在接下来的几个月里,偏瘫逐渐改善,但同侧出现半身性肌张力障碍。这伴随着肿瘤消退的影像学证据,显示出腹侧后外侧和丘脑内板的持续病变。

结论

本例说明了在涉及丘脑的胶质母细胞瘤中,出现和消失半身性肌张力障碍的不同寻常且复杂的时间过程,以及肿瘤的消退和生长。

https://cdn.ncbi.nlm.nih.gov/pmc/blobs/7d26/10006018/5180efb09be0/381_2022_5698_Fig1_HTML.jpg

文献AI研究员

20分钟写一篇综述,助力文献阅读效率提升50倍。

立即体验

用中文搜PubMed

大模型驱动的PubMed中文搜索引擎

马上搜索

文档翻译

学术文献翻译模型,支持多种主流文档格式。

立即体验