Fowler E H, Dodd D E
Environ Health Perspect. 1987 Jun;72:125-32. doi: 10.1289/ehp.8772125.
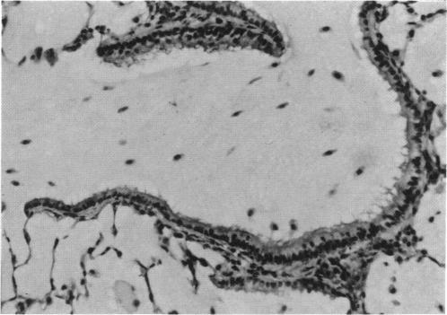
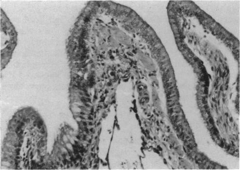
The objectives of this study were to describe the microscopic lesions in the respiratory tract of Fischer 344 rats as a result of 4- or 8-days exposure (6 hr/day) of 3 ppm MIC and to characterize the postexposure development of these lesions up to day 85. All rats survived the exposure regimen, although significant decreases in body weight and encrustation of the eyes, nose, or mouth were observed. During the first 15 days of postexposure, the rats were hypoactive and had increased respiratory rates. Male mortality was as high as 63%; only 5% of the MIC-exposed females died. The cause of death was interpreted to be respiratory compromise complicated by anorexia and probably dehydration as well. During the next 28 postexposure days, 48% of the male survivors died, while only 3% of the female survivors died. Throughout the 85-day postexposure period, body weight gains in the MIC-treated groups were consistently below control values. Inflammatory and squamous metaplastic lesions of the respiratory tract, observed the day following completion of either the 4- or 8-day exposure regimen, decreased in both frequency and/or severity in survivors of the 85-day postexposure period, indicating recovery from the cytotoxic and irritating effects of MIC vapor. The squamous metaplastic epithelium was replaced by regenerative epithelium beginning in the deeper portion of the respiratory tract.(ABSTRACT TRUNCATED AT 250 WORDS)
本研究的目的是描述Fischer 344大鼠在暴露于3 ppm甲基异氰酸盐(MIC)4天或8天(每天6小时)后呼吸道的微观病变,并对这些病变在暴露后直至第85天的发展情况进行特征描述。所有大鼠均在暴露方案中存活下来,尽管观察到体重显著下降以及眼睛、鼻子或嘴巴出现结痂。在暴露后的前15天,大鼠活动减少,呼吸频率增加。雄性死亡率高达63%;暴露于MIC的雌性中只有5%死亡。死亡原因被解释为呼吸功能不全,并伴有厌食症,可能还有脱水。在接下来暴露后的28天里,48%的雄性幸存者死亡,而雌性幸存者中只有3%死亡。在整个85天的暴露后期间,MIC处理组的体重增加一直低于对照组值。在4天或8天暴露方案完成后的第二天观察到的呼吸道炎症和鳞状化生病变,在暴露后85天的幸存者中,其频率和/或严重程度均有所下降,表明从MIC蒸气的细胞毒性和刺激作用中恢复。鳞状化生上皮从呼吸道较深部位开始被再生上皮所取代。(摘要截断于250字)