Fowler E H, Dodd D E, Troup C M
Environ Health Perspect. 1987 Jun;72:39-44. doi: 10.1289/ehp.877239.
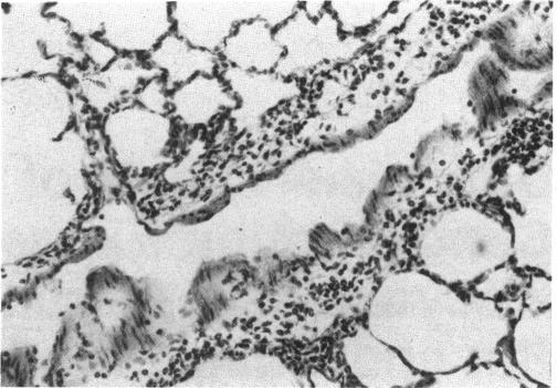
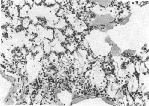
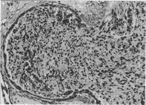
The morphologic changes induced in the lungs of rats and guinea pigs exposed to high concentrations of MIC vapor (100, 600, and 1000 ppm in the rat and 25, 125, 225, and 675 ppm in the guinea pig) for a short time (15 min) in a static exposure chamber were evaluated at varying postexposure periods (0, 1, 2, 4, and 16 hr). The 675 ppm-exposed guinea pigs were evaluated only immediately following removal from the chamber. Attention was primarily focused on the intrapulmonary conducting airways and the parenchyma (gas exchange region) of the lungs. The severity of morphologic changes observed by light microscopy was directly correlated with exposure concentration and time postexposure in both species. Specifically, degenerative changes were observed in the bronchial, bronchiolar, and alveolar epithelium in both species. Quantitative differences were observed; 100 ppm of MIC in the rat resulted in much less damage than did 125 ppm of MIC in the guinea pig. Morphologic evidence of sloughing of large sheets of conducting airway epithelium with fibrin buildup and increased mucus production resulted in plugging of major airways and atelectasis. These observations support the hypothesis that tissue hypoxia was a major contributing factor resulting in death.
在静态暴露舱中,让大鼠和豚鼠短时间(15分钟)暴露于高浓度的甲基异氰酸酯(MIC)蒸汽(大鼠暴露浓度为100、600和1000 ppm,豚鼠暴露浓度为25、125、225和675 ppm),并在不同的暴露后时间段(0、1、2、4和16小时)评估其肺部的形态学变化。仅对暴露于675 ppm的豚鼠在从舱中取出后立即进行评估。主要关注肺内的传导气道和肺实质(气体交换区域)。通过光学显微镜观察到的形态学变化的严重程度与两个物种的暴露浓度和暴露后时间直接相关。具体而言,在两个物种的支气管、细支气管和肺泡上皮中均观察到退行性变化。观察到了定量差异;大鼠暴露于100 ppm的MIC所导致的损伤比豚鼠暴露于125 ppm的MIC所导致的损伤要小得多。传导气道上皮大片脱落、纤维蛋白堆积以及黏液分泌增加的形态学证据导致主要气道堵塞和肺不张。这些观察结果支持组织缺氧是导致死亡的主要促成因素这一假设。