Suppr超能文献

Padi2/Padi4 双敲除小鼠的青春期延迟、促性腺激素异常和生育力下降。

Delayed puberty, gonadotropin abnormalities and subfertility in male Padi2/Padi4 double knockout mice.

机构信息

Baker Institute for Animal Health, College of Veterinary Medicine, Cornell University, Ithaca, NY, USA.

Department of Biomedical Sciences, College of Veterinary Medicine, Cornell University, Ithaca, NY, USA.

出版信息

Reprod Biol Endocrinol. 2022 Oct 12;20(1):150. doi: 10.1186/s12958-022-01018-w.

Abstract

BACKGROUND

Peptidylarginine deiminase enzymes (PADs) convert arginine residues to citrulline in a process called citrullination or deimination. Recently, two PADs, PAD2 and PAD4, have been linked to hormone signaling in vitro and the goal of this study was to test for links between PAD2/PAD4 and hormone signaling in vivo.

METHODS

Preliminary analysis of Padi2 and Padi4 single knockout (SKO) mice did not find any overt reproductive defects and we predicted that this was likely due to genetic compensation. To test this hypothesis, we created a Padi2/Padi4 double knockout (DKO) mouse model and tested these mice along with wild-type FVB/NJ (WT) and both strains of SKO mice for a range of reproductive defects.

RESULTS

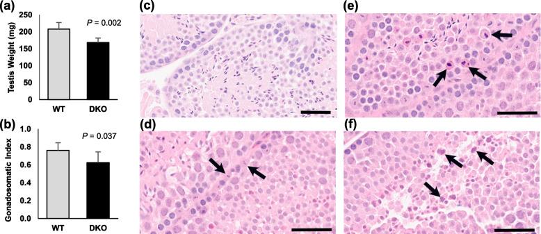
Controlled breeding trials found that male DKO mice appeared to take longer to have their first litter than WT controls. This tendency was maintained when these mice were mated to either DKO or WT females. Additionally, unsexed 2-day old DKO pups and male DKO weanlings both weighed significantly less than their WT counterparts, took significantly longer than WT males to reach puberty, and had consistently lower serum testosterone levels. Furthermore, 90-day old adult DKO males had smaller testes than WT males with increased rates of germ cell apoptosis.

CONCLUSIONS

The Padi2/Padi4 DKO mouse model provides a new tool for investigating PAD function and outcomes from our studies provide the first in vivo evidence linking PADs with hormone signaling.

摘要

背景

肽基精氨酸脱亚氨酶酶(PADs)将精氨酸残基转化为瓜氨酸,这一过程称为瓜氨酸化或脱亚氨化。最近,两种 PAD,即 PAD2 和 PAD4,已被证明与体外激素信号有关,本研究的目的是检测体内 PAD2/PAD4 与激素信号之间的联系。

方法

对 Padi2 和 Padi4 单敲除(SKO)小鼠进行初步分析,并未发现任何明显的生殖缺陷,我们推测这可能是由于遗传补偿所致。为了验证这一假说,我们构建了 Padi2/Padi4 双敲除(DKO)小鼠模型,并对这些小鼠以及野生型 FVB/NJ(WT)和两种 SKO 小鼠进行了一系列生殖缺陷的检测。

结果

控制性繁殖试验发现,雄性 DKO 小鼠首次产仔似乎比 WT 对照鼠更长时间。当这些小鼠与 DKO 或 WT 雌鼠交配时,这种趋势得以维持。此外,雌雄不分的 2 日龄 DKO 幼鼠和雄性 DKO 断奶幼鼠的体重均明显低于 WT 幼鼠,达到青春期的时间明显长于 WT 雄性,血清睾酮水平也一直较低。此外,90 日龄的成年 DKO 雄鼠睾丸体积小于 WT 雄鼠,精原细胞凋亡率升高。

结论

Padi2/Padi4 DKO 小鼠模型为研究 PAD 功能提供了新工具,我们的研究结果首次提供了体内证据,将 PADs 与激素信号联系起来。

https://cdn.ncbi.nlm.nih.gov/pmc/blobs/ce61/9555066/03ad7ac2aa1f/12958_2022_1018_Fig1_HTML.jpg

文献AI研究员

20分钟写一篇综述,助力文献阅读效率提升50倍。

立即体验

用中文搜PubMed

大模型驱动的PubMed中文搜索引擎

马上搜索

文档翻译

学术文献翻译模型,支持多种主流文档格式。

立即体验