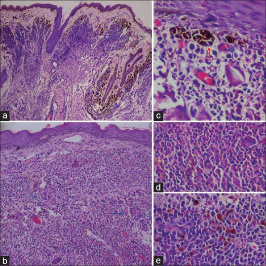
Behera Biswanath, Kumari Rashmi, Thappa Devinder Mohan, Gochhait Debasis
Department of Dermatology, and Venereology, AIIMS, Bhubaneswar, Odisha, India.
Department of Dermatology, JIPMER, Puducherry, India.
Indian Dermatol Online J. 2020 Jan 24;13(3):434-435. doi: 10.4103/idoj.IDOJ_118_19. eCollection 2022 May-Jun.