Suppr超能文献

Foreign body giant cell reactions and ossification associated with benign melanocytic naevi.

作者信息

Knox W F, McWilliam L J, Benbow E W, McMahon R F, Wilkinson N, Bonshek R

机构信息

Department of Pathological Sciences, University of Manchester.

出版信息

J Clin Pathol. 1993 Jan;46(1):72-4. doi: 10.1136/jcp.46.1.72.

Abstract

AIMS

To assess the incidence of foreign body giant cell reactions and ossification in benign/melanocytic naevi; and to examine their pathological features to gain an insight into their pathogenesis.

METHODS

Intradermal (n = 185) and compound naevi (n = 110) from a routine histology service, together with 60 naevi submitted to an ophthalmic pathologist, were examined for foreign body reactions and ossification. Additional cases were identified prospectively in the course of routine reporting. The clinical and pathological features of positive cases were assessed.

RESULTS

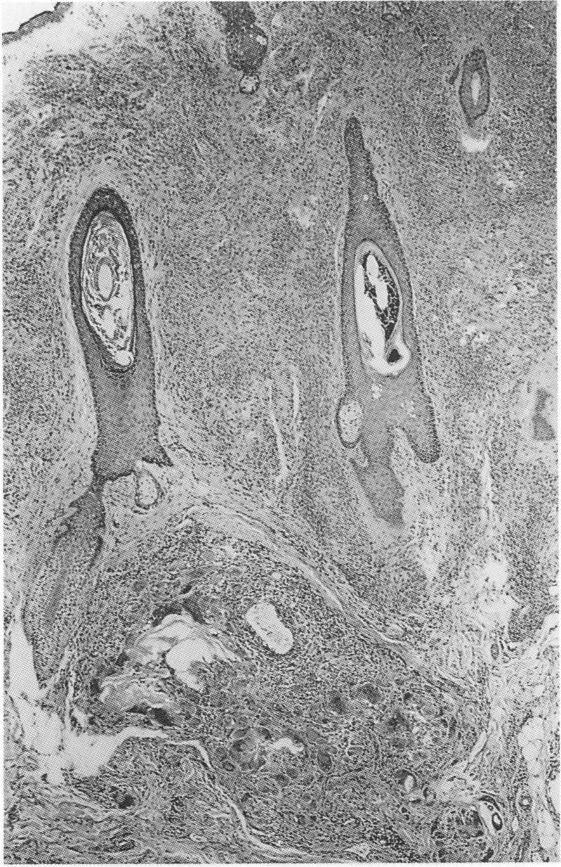
Foreign body reactions were identified in nine (4.9%) intradermal and four (3.6%) compound naevi, but in none of the naevi from around the eye. One intradermal naevus showed ossification. A further 11 naevi showing foreign body reaction and five showing ossification alone were identified prospectively. The 24 naevi showing a foreign body reaction had a similar age and sex distribution to controls but were more likely to occur on the head and neck. The reaction usually occurred deep to the naevus, sometimes in relation to a hair follicle, and fragments of hair or keratin were identified in most. Osteoid or bone was present within the reaction in five. In six other naevi, all from the head and neck of women, osteoid or mature bone was present deep to the naevus in the absence of a giant cell reaction.

CONCLUSIONS

Foreign body giant cell reactions occur not uncommonly in relation to benign naevi, as a result of follicular damage, possibly due to trauma. The similar siting of foci of bone suggests that ossification occurs as a secondary phenomenon in these cases.

摘要
https://cdn.ncbi.nlm.nih.gov/pmc/blobs/7e51/501119/69be560850f3/jclinpath00427-0082-a.jpg

文献AI研究员

20分钟写一篇综述,助力文献阅读效率提升50倍。

立即体验

用中文搜PubMed

大模型驱动的PubMed中文搜索引擎

马上搜索

文档翻译

学术文献翻译模型,支持多种主流文档格式。

立即体验