Chu Jixiang, Ma Huan, Wang Yao, Li Kun, Liao Chengde, Ding Yingying
Department of Radiology, The Third Affiliated Hospital of Kunming Medical University, Yunnan Cancer Hospital, Kunming, China.
Transl Cancer Res. 2022 Sep;11(9):3409-3415. doi: 10.21037/tcr-21-2547.
Intracranial extraskeletal mesenchymal chondrosarcoma (EMCS) is a rare neoplasm and often misdiagnosed before histopathological examination due to its rarity. There were few reports previously on the radiological features of intracranial EMCS. We described a 20-year-old male patient with intracranial EMCS focusing on the imaging characteristics.
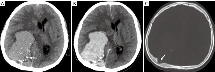
The patient was admitted to our hospital due to headache and dizziness for two months, without nausea, vomiting, limb convulsions and loss of consciousness during the illness. Pre-contrast computed tomography (CT) revealed a large slightly hyperdense mass with irregularly lobulated margins in the right parietal and occipital region and multiple patchy calcifications in peripheral of the lesion. The inner table of right parietal bone adjacent to the mass was compressed, thickened, and eroded. Magnetic resonance imaging (MRI) exhibited intermediate and hypo-intensity on T1-weighted images (TWI) and slight hyper-intensity on T2-weighted images (TWI) with extremely high intensity rim of cerebral spinal fluid (CSF) and low intensity flow-void vessel. The mass demonstrated heterogeneous remarkable enhancement and "dural tail" sign also was noted. The important imaging signs of this case are irregular calcifications of soft tissue on CT and "dural tail" sign on MRI. The patient underwent tumor resection and was followed up postoperatively with serial MRI every three months. He was alive without obvious clinical symptoms and evidence of recurrence for 9 months. EMCS is a highly invasive tumor and it is difficult to differentiate EMCS from the other intracranial malignant tumors only by clinical characteristics or findings of CT and conventional MR imaging. Radiotherapy and chemotherapy after radical resection are the best treatment choice. Therefore, postoperative patients should be reviewed routinely.
A knowledge of the imaging features could facilitate differentiation of intracranial EMCS, but the final diagnosis depends on pathological examinations. This paper focuses on the imaging characteristics of EMCS and fully describes the details of lesions in order to provide clinicians with effective differential diagnosis information and improve clinical decision-making.
颅内骨外间叶性软骨肉瘤(EMCS)是一种罕见的肿瘤,因其罕见性,在组织病理学检查前常被误诊。此前关于颅内EMCS放射学特征的报道较少。我们描述了一名20岁颅内EMCS男性患者,重点关注其影像学特征。
该患者因头痛、头晕两个月入院,患病期间无恶心、呕吐、肢体抽搐及意识丧失。增强前计算机断层扫描(CT)显示右顶枕区有一巨大稍高密度肿块,边缘呈不规则分叶状,病变周边有多个斑片状钙化。与肿块相邻的右顶骨内板受压、增厚并被侵蚀。磁共振成像(MRI)在T1加权像(TWI)上呈等低信号,在T2加权像(TWI)上呈轻度高信号,周围有极高信号的脑脊液(CSF)边缘及低信号的流空血管。肿块呈不均匀明显强化,还可见“脑膜尾征”。该病例的重要影像学表现为CT上软组织的不规则钙化及MRI上的“脑膜尾征”。患者接受了肿瘤切除术,术后每三个月进行一次连续MRI随访。他存活了9个月,无明显临床症状及复发迹象。EMCS是一种高度侵袭性肿瘤,仅通过临床特征或CT及传统MR成像表现很难将其与其他颅内恶性肿瘤区分开来。根治性切除术后放疗和化疗是最佳治疗选择。因此,术后患者应定期复查。
了解影像学特征有助于颅内EMCS的鉴别诊断,但最终诊断仍依赖于病理检查。本文重点关注EMCS的影像学特征,全面描述病变细节,以便为临床医生提供有效的鉴别诊断信息,改善临床决策。