• 文献检索
  • 文档翻译
  • 深度研究
  • 学术资讯
  • Suppr Zotero 插件Zotero 插件
  • 邀请有礼
  • 套餐&价格
  • 历史记录
应用&插件
Suppr Zotero 插件Zotero 插件浏览器插件Mac 客户端Windows 客户端微信小程序
定价
高级版会员购买积分包购买API积分包
服务
文献检索文档翻译深度研究API 文档MCP 服务
关于我们
关于 Suppr公司介绍联系我们用户协议隐私条款
关注我们

Suppr 超能文献

核心技术专利:CN118964589B侵权必究
粤ICP备2023148730 号-1Suppr @ 2026

文献检索

告别复杂PubMed语法,用中文像聊天一样搜索,搜遍4000万医学文献。AI智能推荐,让科研检索更轻松。

立即免费搜索

文件翻译

保留排版,准确专业,支持PDF/Word/PPT等文件格式,支持 12+语言互译。

免费翻译文档

深度研究

AI帮你快速写综述,25分钟生成高质量综述,智能提取关键信息,辅助科研写作。

立即免费体验

[冠状动脉CT血管造影术作为无症状健康个体或患者冠状动脉疾病筛查工具的应用]

[Use of Coronary CT Angiography as a Screening Tool for Coronary Artery Disease in Asymptomatic Healthy Individuals or Patients].

作者信息

Jin Gong Yong

出版信息

Taehan Yongsang Uihakhoe Chi. 2022 Jan;83(1):54-69. doi: 10.3348/jksr.2021.0161. Epub 2022 Jan 21.

DOI:10.3348/jksr.2021.0161
PMID:36237344
原文链接:https://pmc.ncbi.nlm.nih.gov/articles/PMC9238211/
Abstract

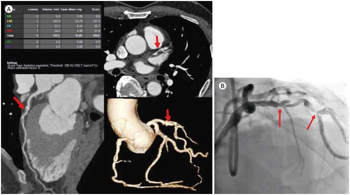
Early detection of potential asymptomatic coronary artery disease is very important, as patients with sudden cardiac death often do not show symptoms such as chest pain or motor dyspnea. Coronary CT angiography (CCTA) has long been unjustified as a screening tool for asymptomatic patients because of the risks posed by radiation exposure. However, there are still various opinions regarding the usefulness of CCTA for screening for coronary artery disease (CAD) in asymptomatic healthy individuals or patients. This review investigated the usefulness of coronary artery calcium score and CCTA as screening tests for CAD in asymptomatic healthy individuals or patients through various literature reviews. With the development of CT technology, recent studies have been conducted in asymptomatic CAD patients with a reduced radiation dose of less than 1 mSv. A total of 2.6% of asymptomatic subjects on CCTA found significant CAD over 70%, and it was concluded that screening CCTA for CAD showed prognostic power in predicting the future occurrence of CAD in asymptomatic people. However, after the completion of the current NIH SCOT-HEART 2 study, it may be possible to determine whether CCTA is appropriate as a screening tool for CAD in asymptomatic healthy individuals.

摘要

早期发现潜在的无症状冠状动脉疾病非常重要,因为心源性猝死患者通常不会表现出胸痛或运动性呼吸困难等症状。长期以来,冠状动脉CT血管造影(CCTA)作为无症状患者的筛查工具一直未被认可,因为存在辐射暴露风险。然而,对于CCTA在无症状健康个体或患者中筛查冠状动脉疾病(CAD)的实用性仍存在各种观点。本综述通过各种文献回顾,研究了冠状动脉钙化积分和CCTA作为无症状健康个体或患者CAD筛查试验的实用性。随着CT技术的发展,最近对无症状CAD患者进行了辐射剂量低于1 mSv的研究。在CCTA检查中,共有2.6%的无症状受试者被发现患有严重CAD(超过70%),得出的结论是,对CAD进行CCTA筛查在预测无症状人群未来CAD发生方面具有预后价值。然而,在当前的美国国立卫生研究院(NIH)SCOT-HEART 2研究完成后,或许可以确定CCTA是否适合作为无症状健康个体CAD的筛查工具。

https://cdn.ncbi.nlm.nih.gov/pmc/blobs/8514/9238211/e17504f94110/jksr-83-54-g006.jpg
https://cdn.ncbi.nlm.nih.gov/pmc/blobs/8514/9238211/57e690924df2/jksr-83-54-g001.jpg
https://cdn.ncbi.nlm.nih.gov/pmc/blobs/8514/9238211/c09bf30f0c73/jksr-83-54-g002.jpg
https://cdn.ncbi.nlm.nih.gov/pmc/blobs/8514/9238211/37b8350254aa/jksr-83-54-g003.jpg
https://cdn.ncbi.nlm.nih.gov/pmc/blobs/8514/9238211/fa19b5077bce/jksr-83-54-g004.jpg
https://cdn.ncbi.nlm.nih.gov/pmc/blobs/8514/9238211/89f0d91e8ab9/jksr-83-54-g005.jpg
https://cdn.ncbi.nlm.nih.gov/pmc/blobs/8514/9238211/e17504f94110/jksr-83-54-g006.jpg
https://cdn.ncbi.nlm.nih.gov/pmc/blobs/8514/9238211/57e690924df2/jksr-83-54-g001.jpg
https://cdn.ncbi.nlm.nih.gov/pmc/blobs/8514/9238211/c09bf30f0c73/jksr-83-54-g002.jpg
https://cdn.ncbi.nlm.nih.gov/pmc/blobs/8514/9238211/37b8350254aa/jksr-83-54-g003.jpg
https://cdn.ncbi.nlm.nih.gov/pmc/blobs/8514/9238211/fa19b5077bce/jksr-83-54-g004.jpg
https://cdn.ncbi.nlm.nih.gov/pmc/blobs/8514/9238211/89f0d91e8ab9/jksr-83-54-g005.jpg
https://cdn.ncbi.nlm.nih.gov/pmc/blobs/8514/9238211/e17504f94110/jksr-83-54-g006.jpg

相似文献

1
[Use of Coronary CT Angiography as a Screening Tool for Coronary Artery Disease in Asymptomatic Healthy Individuals or Patients].[冠状动脉CT血管造影术作为无症状健康个体或患者冠状动脉疾病筛查工具的应用]
Taehan Yongsang Uihakhoe Chi. 2022 Jan;83(1):54-69. doi: 10.3348/jksr.2021.0161. Epub 2022 Jan 21.
2
Incremental prognostic value of coronary computed tomographic angiography over coronary artery calcium score for risk prediction of major adverse cardiac events in asymptomatic diabetic individuals.在无症状糖尿病个体中,冠状动脉计算机断层扫描血管造影术相对于冠状动脉钙化评分对主要不良心脏事件风险预测的增量预后价值。
Atherosclerosis. 2014 Feb;232(2):298-304. doi: 10.1016/j.atherosclerosis.2013.09.025. Epub 2013 Oct 29.
3
Multidetector computed tomography for coronary artery disease screening in asymptomatic populations: evidence-based analysis.用于无症状人群冠状动脉疾病筛查的多排螺旋计算机断层扫描:循证分析
Ont Health Technol Assess Ser. 2007;7(3):1-56. Epub 2007 May 1.
4
Multi-detector computed tomography angiography for coronary artery disease: an evidence-based analysis.用于冠心病的多探测器计算机断层扫描血管造影:一项基于证据的分析。
Ont Health Technol Assess Ser. 2005;5(5):1-57. Epub 2005 Apr 1.
5
Clinical perspective of coronary computed tomographic angiography in diagnosis of coronary artery disease.冠状动脉计算机断层扫描血管造影在冠心病诊断中的临床观点。
Circ J. 2011;75(2):246-52. doi: 10.1253/circj.cj-10-1206. Epub 2011 Jan 19.
6
Coronary computed tomography angiography in the evaluation of intermediate risk asymptomatic individuals.冠状动脉计算机断层扫描血管造影在评估中度风险无症状个体中的应用。
Radiol Med. 2018 Sep;123(9):686-694. doi: 10.1007/s11547-018-0898-z. Epub 2018 Apr 30.
7
Incremental prognostic utility of coronary CT angiography for asymptomatic patients based upon extent and severity of coronary artery calcium: results from the COronary CT Angiography EvaluatioN For Clinical Outcomes InteRnational Multicenter (CONFIRM) study.基于冠状动脉钙化程度和严重程度的冠状动脉CT血管造影对无症状患者的增量预后效用:来自国际多中心临床结果冠状动脉CT血管造影评估(CONFIRM)研究的结果
Eur Heart J. 2015 Feb 21;36(8):501-8. doi: 10.1093/eurheartj/ehu358. Epub 2014 Sep 8.
8
Does coronary CT angiography improve risk stratification over coronary calcium scoring in symptomatic patients with suspected coronary artery disease? Results from the prospective multicenter international CONFIRM registry.在疑似冠心病症状患者中,冠状动脉 CT 血管造影是否比冠状动脉钙化评分更能改善风险分层?来自前瞻性多中心国际 CONFIRM 注册研究的结果。
Eur Heart J Cardiovasc Imaging. 2014 Mar;15(3):267-74. doi: 10.1093/ehjci/jet148. Epub 2013 Aug 21.
9
Prognostic value of coronary computed tomography angiography in stroke patients.冠状动脉计算机断层扫描血管造影在卒中患者中的预后价值
Atherosclerosis. 2015 Feb;238(2):271-7. doi: 10.1016/j.atherosclerosis.2014.10.102. Epub 2014 Nov 4.
10
Coronary computed tomographic angiography: current role in the diagnosis and management of coronary artery disease.冠状动脉计算机断层血管造影:在冠状动脉疾病诊断和管理中的当前作用。
Pol Arch Med Wewn. 2009 Jun;119(6):381-90.

本文引用的文献

1
Coronary Computer Tomography Angiography in 2021-Acquisition Protocols, Tips and Tricks and Heading beyond the Possible.2021年冠状动脉计算机断层扫描血管造影——采集方案、技巧及超越可能的进展
Diagnostics (Basel). 2021 Jun 10;11(6):1072. doi: 10.3390/diagnostics11061072.
2
Value of Coronary Calcium Scoring in Symptomatic and Asymptomatic Coronary Artery Disease Patients.冠状动脉钙评分在有症状和无症状冠状动脉疾病患者中的价值。
Curr Med Imaging. 2021;17(4):517-523. doi: 10.2174/1573405616666201023142030.
3
Prognostic Value of Coronary CT Angiography for Predicting Poor Cardiac Outcome in Stroke Patients without Known Cardiac Disease or Chest Pain: The Assessment of Coronary Artery Disease in Stroke Patients Study.
冠状动脉 CT 血管造影对无已知心脏病或胸痛的卒中患者预测不良心脏结局的预后价值:卒中患者冠状动脉疾病评估研究。
Korean J Radiol. 2020 Sep;21(9):1055-1064. doi: 10.3348/kjr.2020.0103.
4
Prognostic value of coronary computed tomographic angiography findings in asymptomatic individuals: a 6-year follow-up from the prospective multicentre international CONFIRM study.无症状个体冠状动脉计算机断层血管造影结果的预后价值:前瞻性多中心国际 CONFIRM 研究的 6 年随访。
Eur Heart J. 2018 Mar 14;39(11):934-941. doi: 10.1093/eurheartj/ehx774.
5
Presence, Characteristics, and Volumes of Coronary Plaque Determined by Computed Tomography Angiography in Young Type 2 Diabetes Mellitus.通过计算机断层扫描血管造影术测定的年轻2型糖尿病患者冠状动脉斑块的存在、特征及体积
Am J Cardiol. 2017 May 15;119(10):1566-1571. doi: 10.1016/j.amjcard.2017.02.023. Epub 2017 Mar 1.
6
Differential Prognostic Value of Coronary Computed Tomography Angiography in Relation to Exercise Electrocardiography in Asymptomatic Subjects.无症状受试者中冠状动脉计算机断层扫描血管造影与运动心电图相关的差异预后价值
J Cardiovasc Ultrasound. 2015 Dec;23(4):244-52. doi: 10.4250/jcu.2015.23.4.244. Epub 2015 Dec 30.
7
Low-dose CT coronary angiography for assessment of coronary artery disease in patients with type 2 diabetes--a cross-sectional study.低剂量CT冠状动脉造影评估2型糖尿病患者的冠状动脉疾病——一项横断面研究。
BMC Cardiovasc Disord. 2015 Nov 14;15:147. doi: 10.1186/s12872-015-0143-9.
8
Risk stratification of coronary artery disease in asymptomatic diabetic subjects using multidetector computed tomography.使用多排螺旋计算机断层扫描对无症状糖尿病患者的冠状动脉疾病进行风险分层
Circ J. 2015;79(11):2422-9. doi: 10.1253/circj.CJ-15-0325. Epub 2015 Sep 18.
9
Coronary Artery Calcium Score Compared with Cardio-Ankle Vascular Index in the Prediction of Cardiovascular Events in Asymptomatic Patients with Type 2 Diabetes.无症状2型糖尿病患者中冠状动脉钙化积分与心踝血管指数对心血管事件预测的比较
J Atheroscler Thromb. 2015;22(12):1255-65. doi: 10.5551/jat.29926. Epub 2015 Aug 13.
10
CT attenuation features of individual calcified coronary plaque: differences among asymptomatic, stable angina pectoris, and acute coronary syndrome groups.个体钙化冠状动脉斑块的CT衰减特征:无症状、稳定型心绞痛和急性冠状动脉综合征组之间的差异。
PLoS One. 2015 Jun 24;10(6):e0131254. doi: 10.1371/journal.pone.0131254. eCollection 2015.