Suppr超能文献

术前半月板:需避免的陷阱与误区。

Preoperative Meniscus: Pitfalls and Traps to Avoid.

作者信息

Yoo Hye Jin, Ryu Kyung Nam, Park Ji Seon, Jin Wook, Park So Young, Kang Hye Jin, Kim Hyun Soo, Kwon Gene Hyuk

出版信息

Taehan Yongsang Uihakhoe Chi. 2022 May;83(3):582-596. doi: 10.3348/jksr.2021.0002. Epub 2021 Oct 18.

Abstract

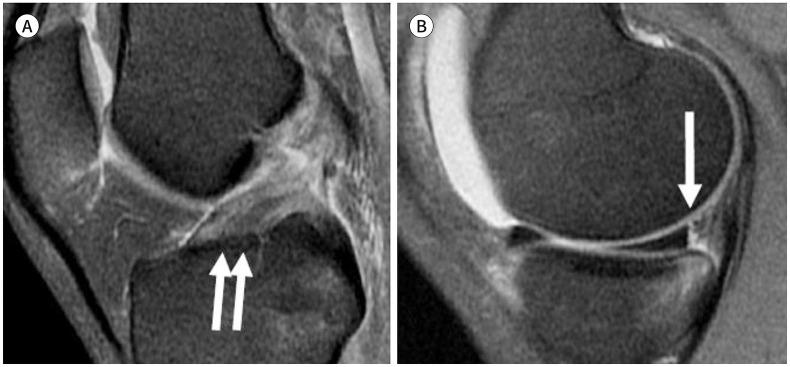
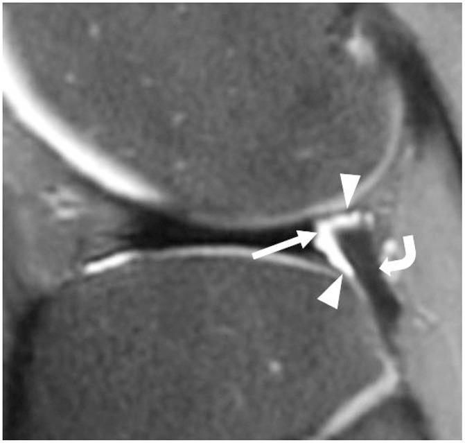
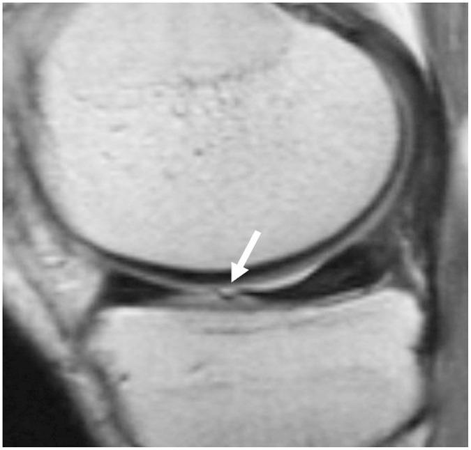
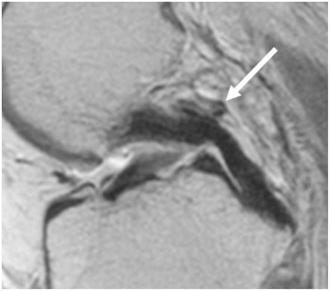
To accurately interpret knee MRI, it is important not only to know the basic meniscal anatomy but also to distinguish it from that under pathological conditions. Thus, it would be helpful to know the normal meniscus variants (false positives) that could be mistaken for meniscal tears, and tears that could easily be missed and incorrectly diagnosed as normal (false negatives). False positives include synovial recesses, meniscal flounce, the relationship between the popliteus tendon and lateral meniscus, transverse ligament, the anterior root of the meniscus, and meniscofemoral ligament. False negatives include focal radial tears, flap tears, posterior root tears, meniscocapsular separation, and discoid meniscal tears. In this pictorial essay, we reviewed the imaging data obtained in the aforementioned cases.

摘要

为了准确解读膝关节磁共振成像(MRI),不仅要了解半月板的基本解剖结构,还要将其与病理状态下的情况区分开来。因此,了解可能被误诊为半月板撕裂的正常半月板变异(假阳性)以及容易被漏诊并错误诊断为正常情况(假阴性)的撕裂情况会有所帮助。假阳性包括滑膜隐窝、半月板皱襞、腘肌腱与外侧半月板的关系、横韧带、半月板前根和半月板股骨韧带。假阴性包括局灶性放射状撕裂、瓣状撕裂、后根撕裂、半月板关节囊分离和盘状半月板撕裂。在这篇图文文章中,我们回顾了上述病例中获得的影像数据。

https://cdn.ncbi.nlm.nih.gov/pmc/blobs/fa82/9514523/83f45f9b566e/jksr-83-582-g001.jpg

文献检索

告别复杂PubMed语法,用中文像聊天一样搜索,搜遍4000万医学文献。AI智能推荐,让科研检索更轻松。

立即免费搜索

文件翻译

保留排版,准确专业,支持PDF/Word/PPT等文件格式,支持 12+语言互译。

免费翻译文档

深度研究

AI帮你快速写综述,25分钟生成高质量综述,智能提取关键信息,辅助科研写作。

立即免费体验