• 文献检索
  • 文档翻译
  • 深度研究
  • 学术资讯
  • Suppr Zotero 插件Zotero 插件
  • 邀请有礼
  • 套餐&价格
  • 历史记录
应用&插件
Suppr Zotero 插件Zotero 插件浏览器插件Mac 客户端Windows 客户端微信小程序
定价
高级版会员购买积分包购买API积分包
服务
文献检索文档翻译深度研究API 文档MCP 服务
关于我们
关于 Suppr公司介绍联系我们用户协议隐私条款
关注我们

Suppr 超能文献

核心技术专利:CN118964589B侵权必究
粤ICP备2023148730 号-1Suppr @ 2026

文献检索

告别复杂PubMed语法,用中文像聊天一样搜索,搜遍4000万医学文献。AI智能推荐,让科研检索更轻松。

立即免费搜索

文件翻译

保留排版,准确专业,支持PDF/Word/PPT等文件格式,支持 12+语言互译。

免费翻译文档

深度研究

AI帮你快速写综述,25分钟生成高质量综述,智能提取关键信息,辅助科研写作。

立即免费体验

病例报告:儿童颞骨朗格汉斯细胞组织细胞增多症:一种罕见疾病的挑战性诊断及一些陷阱

Case report: Langerhans cell histiocytosis of the temporal bone in children: Challenging diagnosis of a rare disease with some pitfalls.

作者信息

Pähler Vor der Holte Anja, Welkoborsky Hans-Jürgen

机构信息

Department of Otorhinolaryngology, Head and Neck Surgery Nordstadt Clinic Academic Hospital Hanover Germany.

出版信息

Clin Case Rep. 2022 Oct 12;10(10):e6057. doi: 10.1002/ccr3.6057. eCollection 2022 Oct.

DOI:10.1002/ccr3.6057
PMID:36254150
原文链接:https://pmc.ncbi.nlm.nih.gov/articles/PMC9556999/
Abstract

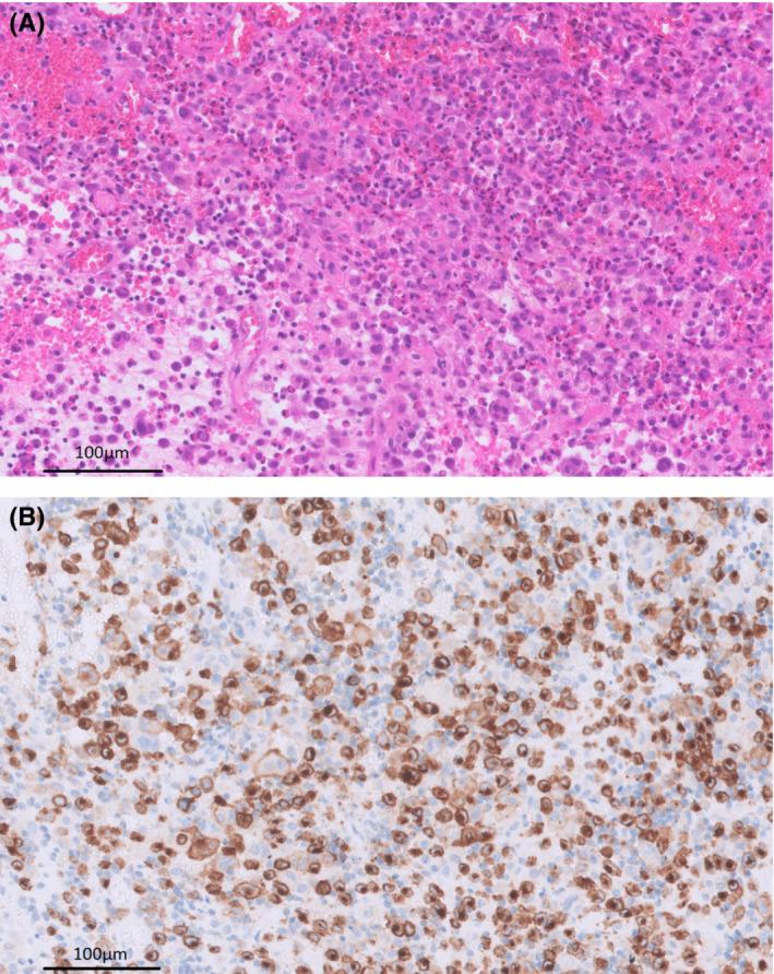
A 4-year-old girl was admitted to hospital with disturbance of balance. After being questioned, parents remembered an otitis with effusion 3 months earlier. CT-scans revealed destruction of both temporal bones. Initial biopsy showed granulomatous, necrotic inflammation, which led to comprehensive differential diagnoses. A second tissue sample confirmed Langerhans cell histiocytosis.

摘要

一名4岁女童因平衡障碍入院。经询问,家长回忆起3个月前曾患渗出性中耳炎。CT扫描显示双侧颞骨破坏。初次活检显示为肉芽肿性坏死性炎症,这引发了全面的鉴别诊断。第二次组织样本确诊为朗格汉斯细胞组织细胞增多症。

https://cdn.ncbi.nlm.nih.gov/pmc/blobs/541c/9556999/876f1011d29d/CCR3-10-e6057-g003.jpg
https://cdn.ncbi.nlm.nih.gov/pmc/blobs/541c/9556999/49ca14c79824/CCR3-10-e6057-g001.jpg
https://cdn.ncbi.nlm.nih.gov/pmc/blobs/541c/9556999/5b5a4a84905d/CCR3-10-e6057-g005.jpg
https://cdn.ncbi.nlm.nih.gov/pmc/blobs/541c/9556999/a7fcf4e24c19/CCR3-10-e6057-g004.jpg
https://cdn.ncbi.nlm.nih.gov/pmc/blobs/541c/9556999/876f1011d29d/CCR3-10-e6057-g003.jpg
https://cdn.ncbi.nlm.nih.gov/pmc/blobs/541c/9556999/49ca14c79824/CCR3-10-e6057-g001.jpg
https://cdn.ncbi.nlm.nih.gov/pmc/blobs/541c/9556999/5b5a4a84905d/CCR3-10-e6057-g005.jpg
https://cdn.ncbi.nlm.nih.gov/pmc/blobs/541c/9556999/a7fcf4e24c19/CCR3-10-e6057-g004.jpg
https://cdn.ncbi.nlm.nih.gov/pmc/blobs/541c/9556999/876f1011d29d/CCR3-10-e6057-g003.jpg

相似文献

1
Case report: Langerhans cell histiocytosis of the temporal bone in children: Challenging diagnosis of a rare disease with some pitfalls.病例报告:儿童颞骨朗格汉斯细胞组织细胞增多症:一种罕见疾病的挑战性诊断及一些陷阱
Clin Case Rep. 2022 Oct 12;10(10):e6057. doi: 10.1002/ccr3.6057. eCollection 2022 Oct.
2
A case of bilateral sensorineural hearing loss from Langerhans cell histiocytosis.一例由朗格汉斯细胞组织细胞增多症引起的双侧感音神经性听力损失。
BMJ Case Rep. 2015 Sep 4;2015:bcr2015210996. doi: 10.1136/bcr-2015-210996.
3
Pericardial Effusion in Langerhans Cell Histiocytosis: A Case Report.朗格汉斯细胞组织细胞增多症中的心包积液:一例报告
Iran Red Crescent Med J. 2016 May 10;18(6):e25604. doi: 10.5812/ircmj.25604. eCollection 2016 Jun.
4
Langerhans cell histiocytosis presented as bilateral otitis media with effusion, a rare case report.朗格汉斯细胞组织细胞增多症表现为双侧中耳积液性中耳炎,一例罕见病例报告。
Caspian J Intern Med. 2023 Spring;14(2):401-405. doi: 10.22088/cjim.14.2.401.
5
Unifocal Langerhans' cell histiocytosis (eosinophilic granuloma) of the petrous apex.岩尖单灶性朗格汉斯细胞组织细胞增多症(嗜酸性肉芽肿)。
Arch Otolaryngol Head Neck Surg. 1993 Jan;119(1):113-6. doi: 10.1001/archotol.1993.01880130115018.
6
Langerhans' cell histiocytosis of the temporal bone: successful treatment of sensorineural hearing loss with low-dose radiotherapy.颞骨朗格汉斯细胞组织细胞增多症:低剂量放疗成功治疗感音神经性听力损失
J Laryngol Otol. 2009 Jun;123(6):676-9. doi: 10.1017/S0022215108002995. Epub 2008 Jun 13.
7
Langerhans' cell histiocytosis with bilateral temporal bone involvement.累及双侧颞骨的朗格汉斯细胞组织细胞增多症
Am J Otolaryngol. 2003 Jul-Aug;24(4):265-70. doi: 10.1016/s0196-0709(03)00049-8.
8
Langerhans cell histiocytosis presenting as eosinophilic granuloma of the bilateral forearms in an 8-year-old girl: a case report.8岁女童朗格汉斯细胞组织细胞增多症表现为双侧前臂嗜酸性肉芽肿:一例报告
J Med Case Rep. 2019 Mar 19;13(1):67. doi: 10.1186/s13256-019-2011-1.
9
Cholesteatoma as a complication of Langerhans Cell Histiocytosis of the temporal bone: A nationwide cross-sectional analysis.胆脂瘤作为颞骨朗格汉斯细胞组织细胞增多症的一种并发症:一项全国性横断面分析。
Int J Pediatr Otorhinolaryngol. 2017 Sep;100:66-70. doi: 10.1016/j.ijporl.2017.06.022. Epub 2017 Jun 22.
10
Unusual Neurological Manifestation of Langerhans Cell Histiocytosis in an Adult.
Ear Nose Throat J. 2025 Apr;104(4):213-217. doi: 10.1177/01455613221106220. Epub 2022 May 31.

本文引用的文献

1
[Analysis of clinical features of Craniofacial Langerhans cell histiocytosis in children].[儿童颅面部朗格汉斯细胞组织细胞增生症临床特征分析]
Lin Chuang Er Bi Yan Hou Tou Jing Wai Ke Za Zhi. 2020 Nov;34(11):999-1001. doi: 10.13201/j.issn.2096-7993.2020.11.009.
2
Childhood Langerhans cell histiocytosis: a disease with many faces.儿童朗格汉斯细胞组织细胞增生症:一种具有多种表现的疾病。
World J Pediatr. 2019 Dec;15(6):536-545. doi: 10.1007/s12519-019-00304-9. Epub 2019 Aug 28.
3
Non-Hodgkin's Lymphoma of the Middle Ear Presenting as Mastoiditis.
表现为乳突炎的中耳非霍奇金淋巴瘤
Case Rep Otolaryngol. 2018 Oct 17;2018:7639784. doi: 10.1155/2018/7639784. eCollection 2018.
4
Giant Cell Tumor of the Temporal Bone and Skull Base: A Case Report.颞骨和颅底巨细胞瘤:一例报告
J Int Adv Otol. 2018 Apr;14(1):151-154. doi: 10.5152/iao.2018.3609.
5
Burkitt Lymphoma of the Temporal Bone.颞骨伯基特淋巴瘤
Otol Neurotol. 2018 Jun;39(5):e410-e412. doi: 10.1097/MAO.0000000000001782.
6
Successful cochlear implantation in Langerhans cell histiocytosis: A rare case.
Cochlear Implants Int. 2018 Mar;19(2):115-118. doi: 10.1080/14670100.2017.1402473. Epub 2017 Nov 20.
7
Cholesteatoma as a complication of Langerhans Cell Histiocytosis of the temporal bone: A nationwide cross-sectional analysis.胆脂瘤作为颞骨朗格汉斯细胞组织细胞增多症的一种并发症:一项全国性横断面分析。
Int J Pediatr Otorhinolaryngol. 2017 Sep;100:66-70. doi: 10.1016/j.ijporl.2017.06.022. Epub 2017 Jun 22.
8
Unique Case of Hearing Recovery After Otic Capsule Destruction and Complete Sensorineural Hearing Loss Caused by Langerhans Cell Histiocytosis.朗格汉斯细胞组织细胞增多症导致听小骨破坏及完全性感音神经性听力损失后听力恢复的罕见病例。
Otol Neurotol. 2017 Sep;38(8):1129-1132. doi: 10.1097/MAO.0000000000001511.
9
Pediatric Langerhans cell histiocytosis of the lateral skull base.小儿颅底外侧朗格汉斯细胞组织细胞增多症
Int J Pediatr Otorhinolaryngol. 2017 Aug;99:135-140. doi: 10.1016/j.ijporl.2017.06.011. Epub 2017 Jun 15.
10
Bilateral Non-Hodgkin's Lymphoma of the Temporal Bone: A Rare and Unusual Presentation.颞骨双侧非霍奇金淋巴瘤:一种罕见且不寻常的表现。
Case Rep Otolaryngol. 2016;2016:2641876. doi: 10.1155/2016/2641876. Epub 2016 Dec 26.