Suppr超能文献

血培养阴性的孤立性肺动脉瓣心内膜炎致脓胸1例罕见病例

A Rare Case of Blood Culture-Negative Isolated Pulmonic Valve Endocarditis Causing Empyema.

作者信息

Casey Bradley, Hua Destinee A, Jyothidasan Amudhan, Bhandari Manoj

机构信息

Internal Medicine, Cape Fear Valley Medical Center, Fayetteville, USA.

Cardiology, Cape Fear Valley Medical Center, Fayetteville, USA.

出版信息

Cureus. 2022 Sep 13;14(9):e29137. doi: 10.7759/cureus.29137. eCollection 2022 Sep.

Abstract

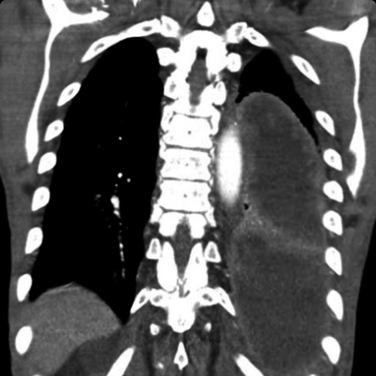
Right-sided native valve infective endocarditis (IE) refers to IE involving the tricuspid or pulmonic valve. The most common factors causing right-sided IE include intravenous drug use, intracardiac device, and central venous catheters. Isolated pulmonic valve IE has only been reported in less than 2% of all IE cases. We present a unique case of a patient with a history of poor oral hygiene found to have isolated blood culture-negative pulmonic valve IE, who subsequently developed empyema positive for .

摘要

右侧自体瓣膜感染性心内膜炎(IE)是指累及三尖瓣或肺动脉瓣的IE。导致右侧IE的最常见因素包括静脉药物使用、心内装置和中心静脉导管。孤立性肺动脉瓣IE在所有IE病例中报告的比例不到2%。我们报告了一例独特病例,该患者有口腔卫生不良史,被发现患有孤立性血培养阴性的肺动脉瓣IE,随后并发了阳性的脓胸。

https://cdn.ncbi.nlm.nih.gov/pmc/blobs/3fdc/9572993/03a373175f27/cureus-0014-00000029137-i01.jpg

文献检索

告别复杂PubMed语法,用中文像聊天一样搜索,搜遍4000万医学文献。AI智能推荐,让科研检索更轻松。

立即免费搜索

文件翻译

保留排版,准确专业,支持PDF/Word/PPT等文件格式,支持 12+语言互译。

免费翻译文档

深度研究

AI帮你快速写综述,25分钟生成高质量综述,智能提取关键信息,辅助科研写作。

立即免费体验