Spetsieris Nicholas, Bobba Gayatri, Bhandari Priyanka, Patel Samir, Tharayil Zubin, Gupta Ravi
Department of Internal Medicine, Long Island Community Hospital, Patchogue, NY, USA.
New York Cancer and Blood Specialists, Patchogue, NY, USA.
J Community Hosp Intern Med Perspect. 2022 Sep 9;12(5):60-64. doi: 10.55729/2000-9666.1092. eCollection 2022.
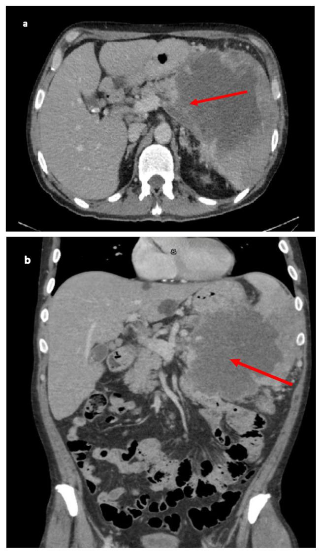
One-half of patients with newly diagnosed pancreatic cancer will have metastatic disease at the time of diagnosis, mainly due to its non-specific initial clinical presentation which includes abdominal pain, dyspepsia, weight loss, bowel habit changes, jaundice and pruritus. The signs, symptoms and stage of the disease at initial diagnosis depends on the origin of the primary tumor, with tumors of the head presenting earlier with obstructive symptoms while tumors of the body/tail are often diagnosed at an advanced stage due to their non-specific presentation. The most common sites of metastasis are the lymph nodes, liver, lung, and peritoneum. The presence of metastatic disease in the skeletal muscles is a rare manifestation of pancreatic cancer and has been described in a limited number of cases. We report the case of a pancreatic cancer patient with a solitary muscle lesion as the only site of extra-nodal metastasis upon initial presentation.
新诊断的胰腺癌患者中有一半在诊断时就已出现转移性疾病,主要原因是其最初的临床表现不具有特异性,包括腹痛、消化不良、体重减轻、排便习惯改变、黄疸和瘙痒。疾病初诊时的体征、症状和分期取决于原发肿瘤的起源部位,胰头肿瘤较早出现梗阻性症状,而胰体/胰尾肿瘤由于表现不具特异性,往往在晚期才被诊断出来。最常见的转移部位是淋巴结、肝脏、肺和腹膜。骨骼肌出现转移性疾病是胰腺癌的一种罕见表现,仅有少数病例有过相关描述。我们报告了一例胰腺癌患者,其最初表现为孤立性肌肉病变,是结外转移的唯一部位。