Suppr超能文献

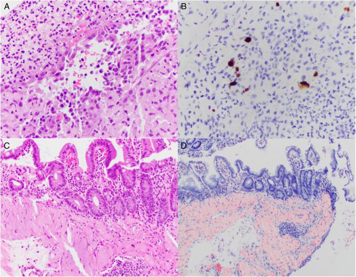
Concurrent Cytomegalovirus Colitis and Gastrointestinal Amyloidosis as Initial Presentation of Multiple Myeloma.

作者信息

Atuluru Pranusha, Jiang Chunsu, Alkathery Turky, Manten Emory, Kumar Shria

机构信息

Division of Digestive Health and Liver Diseases at the Miller School of Medicine, University of Miami, Miami, FL.

Department of Pathology at the Miller School of Medicine, University of Miami, Miami, FL.

出版信息

ACG Case Rep J. 2022 Oct 18;9(10):e00876. doi: 10.14309/crj.0000000000000876. eCollection 2022 Oct.

Abstract
摘要
https://cdn.ncbi.nlm.nih.gov/pmc/blobs/979f/9584183/f3954bf41c64/ac9-9-e00876-g001.jpg

文献AI研究员

20分钟写一篇综述,助力文献阅读效率提升50倍。

立即体验

用中文搜PubMed

大模型驱动的PubMed中文搜索引擎

马上搜索

文档翻译

学术文献翻译模型,支持多种主流文档格式。

立即体验