Suppr超能文献

人工智能在低剂量计算机断层扫描肺癌筛查中的潜在作用

The Potential Role of Artificial Intelligence in Lung Cancer Screening Using Low-Dose Computed Tomography.

作者信息

Grenier Philippe A, Brun Anne Laure, Mellot François

机构信息

Department of Clinical Research and Innovation, Hôpital Foch, 92150 Suresnes, France.

Radiology Department, Hôpital Foch, 92150 Suresnes, France.

出版信息

Diagnostics (Basel). 2022 Oct 8;12(10):2435. doi: 10.3390/diagnostics12102435.

Abstract

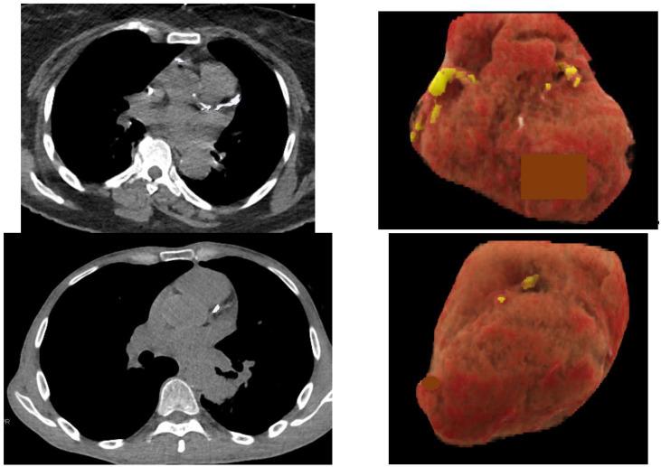
Two large randomized controlled trials of low-dose CT (LDCT)-based lung cancer screening (LCS) in high-risk smoker populations have shown a reduction in the number of lung cancer deaths in the screening group compared to a control group. Even if various countries are currently considering the implementation of LCS programs, recurring doubts and fears persist about the potentially high false positive rates, cost-effectiveness, and the availability of radiologists for scan interpretation. Artificial intelligence (AI) can potentially increase the efficiency of LCS. The objective of this article is to review the performances of AI algorithms developed for different tasks that make up the interpretation of LCS CT scans, and to estimate how these AI algorithms may be used as a second reader. Despite the reduction in lung cancer mortality due to LCS with LDCT, many smokers die of comorbid smoking-related diseases. The identification of CT features associated with these comorbidities could increase the value of screening with minimal impact on LCS programs. Because these smoking-related conditions are not systematically assessed in current LCS programs, AI can identify individuals with evidence of previously undiagnosed cardiovascular disease, emphysema or osteoporosis and offer an opportunity for treatment and prevention.

摘要

两项针对高危吸烟人群进行的基于低剂量CT(LDCT)的肺癌筛查(LCS)大型随机对照试验表明,与对照组相比,筛查组的肺癌死亡人数有所减少。尽管目前各国都在考虑实施LCS计划,但对于潜在的高假阳性率、成本效益以及放射科医生进行扫描解读的可用性,仍存在反复的疑虑和担忧。人工智能(AI)有可能提高LCS的效率。本文的目的是回顾为构成LCS CT扫描解读的不同任务而开发的AI算法的性能,并估计这些AI算法如何用作第二阅片者。尽管LDCT的LCS降低了肺癌死亡率,但许多吸烟者死于与吸烟相关的合并症。识别与这些合并症相关的CT特征可以在对LCS计划影响最小的情况下提高筛查价值。由于目前的LCS计划中没有系统地评估这些与吸烟相关的情况,AI可以识别出有先前未诊断出的心血管疾病、肺气肿或骨质疏松症证据的个体,并提供治疗和预防的机会。

https://cdn.ncbi.nlm.nih.gov/pmc/blobs/02d8/9601207/b054ef7e17f8/diagnostics-12-02435-g001a.jpg

文献AI研究员

20分钟写一篇综述,助力文献阅读效率提升50倍。

立即体验

用中文搜PubMed

大模型驱动的PubMed中文搜索引擎

马上搜索

文档翻译

学术文献翻译模型,支持多种主流文档格式。

立即体验