Department of Preventive Dental Sciences, College of Dentistry, Jazan University, Jazan 45142, Saudi Arabia.
College of Dentistry, Jazan University, Jazan 45142, Saudi Arabia.
Medicina (Kaunas). 2022 Sep 26;58(10):1351. doi: 10.3390/medicina58101351.
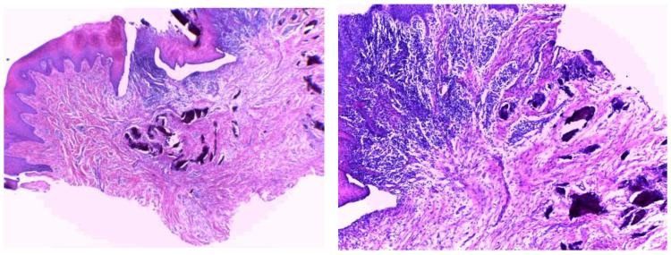
The use of mouthwash is often recommended by dental experts for dental healing. A double-blind, randomized clinical study was conducted to evaluate the efficacy of two mouthwashes (myrrh and chlorhexidine gluconate) on postoperative pain and their effects on tissues after dental implant placement in 35 patients (18 in the myrrh group and 17 in the chlorhexidine gluconate group). Soft tissue healing was evaluated in terms of wound closure, soft tissue swelling, and the color of the gingiva at 1 week postoperative. To decrease the chances for error, only the participants who did not show preoperative symptoms of infection and those who committed to practicing better oral hygiene were included in the study. The samples were evaluated for the infiltration of inflammatory cells (using inflammatory extent and inflammatory cellularity grades), maturation of collagen (osteoblast activity), and arrangement of cells (for detecting the remodeling phase). A questionnaire pertaining to mouthwash satisfaction, the duration of postoperative pain after the procedure, the time of stoppage of bleeding at the surgical site, and any sensitivity at the surgical site was given to the patients. The Chi-square test and Mann-Whitney U-test were used to analyze the data. The difference in postoperative surgical swelling, pain, bleeding, and redness in the patients was not statistically significant between the myrrh and chlorhexidine gluconate mouthwash groups. However, in the acute phase, the myrrh mouthwash showed a positive impact on the process of wound healing after implant placement. The small sample size and inability to compare wound healing in different anatomical areas of the oral cavity were the study limitations.
漱口水通常被口腔专家推荐用于口腔愈合。一项双盲、随机临床试验旨在评估两种漱口水(没药和洗必泰葡萄糖酸)对种植牙术后疼痛的疗效及其对植入物放置后组织的影响,共纳入 35 名患者(没药组 18 名,洗必泰葡萄糖酸组 17 名)。术后 1 周,根据伤口愈合情况、软组织肿胀和牙龈颜色评估软组织愈合情况。为了降低误差的可能性,只有没有术前感染症状且承诺更好进行口腔卫生的患者被纳入研究。评估样本的炎症细胞浸润程度(采用炎症程度和炎症细胞密度分级)、胶原蛋白成熟度(成骨细胞活性)和细胞排列(用于检测重塑阶段)。向患者发放了关于漱口水满意度、术后疼痛持续时间、手术部位出血停止时间和手术部位任何敏感性的调查问卷。采用卡方检验和曼-惠特尼 U 检验进行数据分析。没药和洗必泰葡萄糖酸漱口水组患者术后手术肿胀、疼痛、出血和红肿的差异无统计学意义。然而,在急性阶段,没药漱口水对种植体植入后的伤口愈合过程有积极影响。研究的局限性在于样本量小,无法比较口腔不同解剖区域的伤口愈合情况。