Xiamen Key Laboratory of Stomatological Disease Diagnosis and Treatment, Department of Implantology, Stomatological Hospital of Xiamen Medical College, Xiamen, China.
Engineering Research Center of Fujian University for Stomatological Biomaterials, Department of Stomatology, Xiamen Medical College, Xiamen, China.
Front Cell Infect Microbiol. 2022 Oct 10;12:998693. doi: 10.3389/fcimb.2022.998693. eCollection 2022.
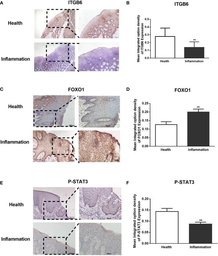
Integrin β6 (ITGB6), an epithelial-specific receptor, is downregulated in the gingival epithelium of periodontitis and is associated with inflammation response and periodontitis development. However, the transcriptional regulatory mechanism of ITGB6 downregulation in the human gingival epithelium remains unclear. Fibroblast-stimulating lipopeptide-1 (FSL-1), an oral biofilm component, promotes an epithelial cell-driven proinflammatory response in periodontitis partially by suppressing ITGB6 expression. The aim of the current study was to investigate the transcriptional regulatory mechanism of ITGB6 inhibition by FSL-1 in human epithelial cells (HaCaT and primary human gingival epithelial cells), and to delineate the transcriptional mechanism of ITGB6 suppression in periodontitis. We found that FSL-1 inhibited ITGB6 transcription through increasing forkhead box protein O1 (FOXO1) expression and inhibiting signal transducer and activator of transcription 3 (STAT3) activation. Furthermore, FOXO1 bound to STAT3 directly, leading to decreased STAT3 phosphorylation induced by FSL-1. Consequently, the binding of phosphorylated STAT3 to the ITGB6 promoter was decreased, and ITGB6 transcription was therefore downregulated following FSL-1 stimulation. The reciprocal action of STAT3 and FOXO1 on ITGB6 downregulation was also confirmed by the immunostaining of the inflammatory epithelium associated with periodontitis. Our findings suggest that the interaction of FOXO1-STAT3 may be a useful signal target for the treatment of periodontitis.
整合素 β6(ITGB6)是一种上皮细胞特异性受体,在牙周炎的牙龈上皮中下调,与炎症反应和牙周炎的发展有关。然而,人牙龈上皮中 ITGB6 下调的转录调控机制尚不清楚。纤维母细胞刺激脂肽-1(FSL-1)是口腔生物膜的一个组成部分,通过抑制 ITGB6 的表达,部分促进牙周炎中上皮细胞驱动的促炎反应。本研究旨在探讨 FSL-1 在人上皮细胞(HaCaT 和原代人牙龈上皮细胞)中抑制 ITGB6 的转录调控机制,并阐明牙周炎中 ITGB6 抑制的转录机制。我们发现,FSL-1 通过增加叉头框蛋白 O1(FOXO1)的表达和抑制信号转导和转录激活因子 3(STAT3)的激活来抑制 ITGB6 的转录。此外,FOXO1 直接与 STAT3 结合,导致 FSL-1 诱导的 STAT3 磷酸化减少。因此,磷酸化 STAT3 与 ITGB6 启动子的结合减少,随后 FSL-1 刺激导致 ITGB6 转录下调。STAT3 和 FOXO1 对 ITGB6 下调的相互作用也通过与牙周炎相关的炎症上皮的免疫染色得到证实。我们的研究结果表明,FOXO1-STAT3 的相互作用可能是治疗牙周炎的一个有用的信号靶点。