Suppr超能文献

钝性胸部创伤性隔疝伴迟发性胸腔外血肿。

BLUNT TRAUMA INTERCOSTAL LUNG HERNIATION AND DELAYED EXTRA PLEURAL HEMATOMA.

机构信息

University Department of Anesthesiology, Resuscitation and Intensive Care, 
University Hospital Sveti Duh, Zagreb, Croatia.

Josip Juraj Strossmayer University of Osijek, Faculty of Medicine, Osijek, Croatia.

出版信息

Acta Clin Croat. 2022 Jun;61(Suppl 1):84-87. doi: 10.20471/acc.2022.61.s1.14.

Abstract

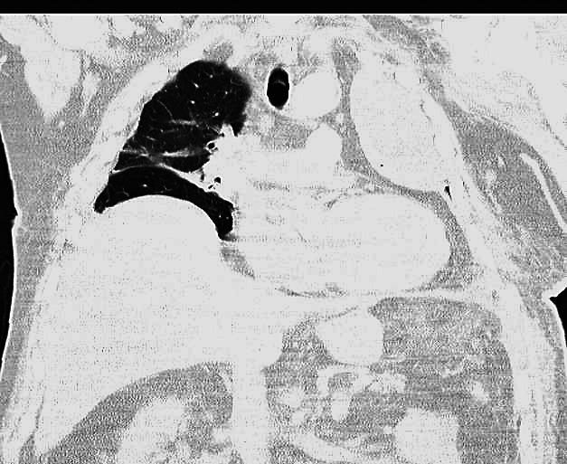
Blunt chest trauma is an important cause of morbidity and mortality in traumatized emergency patients. We report the case of a 74-year-old man who suffered a glenohumeral joint dislocation, trans trochanteric femur fracture, multiple rib fractures, diaphragmatic rupture with chest herniation of the spleen and stomach associated with herniation of the lung through an anterior chest wall defect after blunt trauma. Although immediate surgical repair was performed, he developed a delayed complication of multiple rib fracture in the form of large extrapleural hematoma that had to be surgically removed. Due to massive pulmonary contusion and prolonged pulmonary collapse, we used surfactant to facilitate alveolar opening after evacuation of the hematoma.

摘要

钝性胸部创伤是创伤急诊患者发病率和死亡率的重要原因。我们报告了 1 例 74 岁男性患者,该患者因钝性创伤导致肩关节脱位、转子下股骨骨折、多处肋骨骨折、横膈破裂,脾和胃通过前胸壁缺损疝入胸腔,同时肺疝出。尽管立即进行了手术修复,但他出现了多发肋骨骨折的迟发性并发症,表现为巨大的胸腔外血肿,需要手术清除。由于严重的肺挫伤和长时间的肺不张,我们在清除血肿后使用表面活性剂促进肺泡开放。

https://cdn.ncbi.nlm.nih.gov/pmc/blobs/aedf/9536169/1853b868aaff/acc-61-supl1-84-f1.jpg

文献AI研究员

20分钟写一篇综述,助力文献阅读效率提升50倍。

立即体验

用中文搜PubMed

大模型驱动的PubMed中文搜索引擎

马上搜索

文档翻译

学术文献翻译模型,支持多种主流文档格式。

立即体验