Suppr超能文献

VHL 病中的肾脏:早期透明细胞增殖发生在远端肾小管系统。

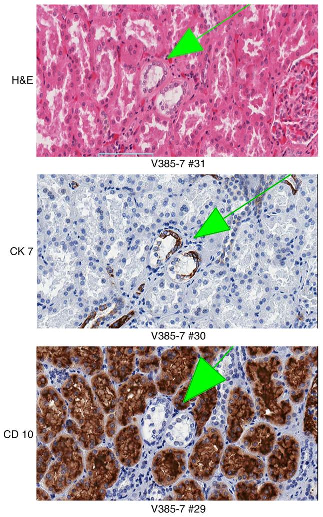
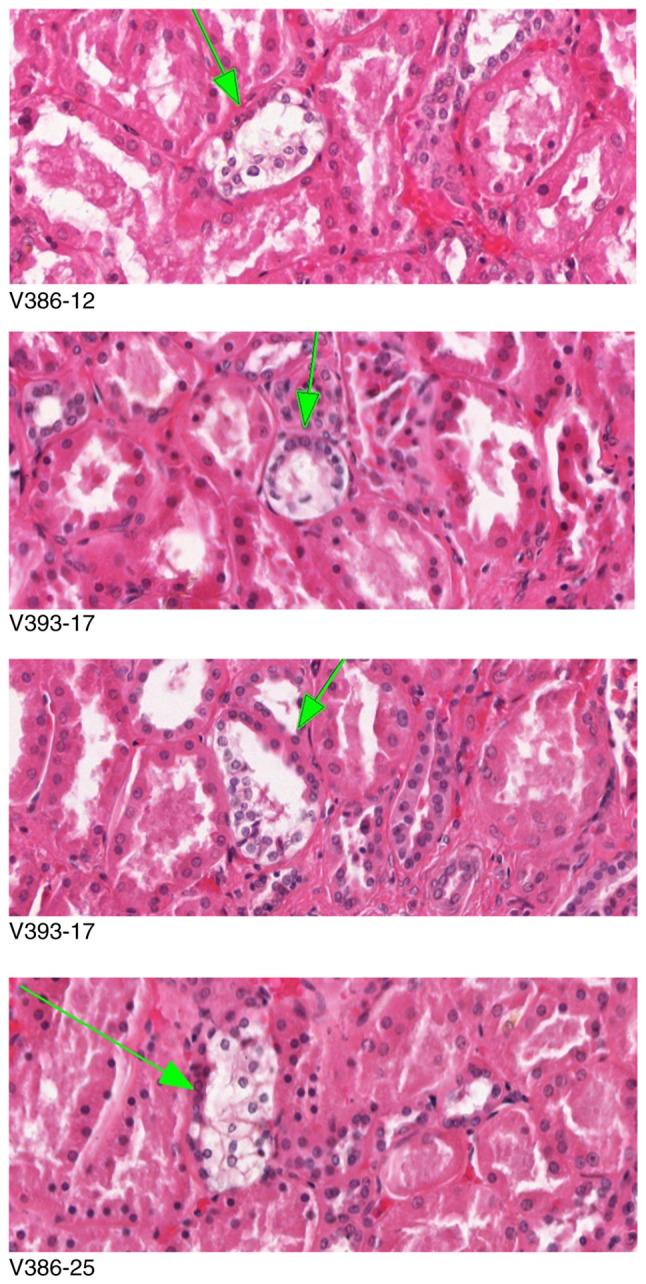
Kidney in VHL disease: Early clear cell proliferation occurs in the distal tubular system.

机构信息

Department of Pathology, Indiana University School of Medicine, Indianapolis, IN 46202, USA.

Surgical Neurology Branch, National Institute of Neurological Disorders and Stroke, Bethesda, MD 20892, USA.

出版信息

Oncol Rep. 2022 Dec;48(6). doi: 10.3892/or.2022.8437. Epub 2022 Nov 2.

Abstract

Renal clear cell carcinoma commonly occurs in patients with von Hippel‑Lindau disease (VHL). Kidneys of VHL disease patients (VHL kidneys) contain an abundance of independent clear cell proliferation events that have been hypothesized to represent precursor structures of clear cell carcinoma. In the present study, it was tried to identify the site of origin of clear cell proliferation, and the immunophenotype of clear cells. Using 3D histological tracking, the topographic origin of microscopic clear cell proliferation was investigated by identification of informative structures of interest and immunohistochemical staining for cluster of differentiation 10 (CD10) and cytokeratin 7 (CK7) in consecutive serial sections. In addition, the CD10/CK7 immunophenotype of proliferating clear cells was evaluated. Clear cell proliferation uniformly occurred in the distal tubular system. Some clear cell proliferation, however, revealed proximal tubule immunophenotype. It was concluded that early proliferation of VHL‑deficient clear cells occurs in the distal tubular system. Despite the association with the distal tubular system, the immunohistochemical profile of early clear cell proliferation may be inconsistent with its distal tubular origin.

摘要

肾透明细胞癌常见于 von Hippel-Lindau 病(VHL)患者。VHL 病患者的肾脏(VHL 肾脏)含有大量独立的透明细胞增殖事件,这些事件被假设为透明细胞癌的前体结构。在本研究中,试图确定透明细胞增殖的起源部位和透明细胞的免疫表型。通过在连续切片中识别有意义的结构并进行 CD10 和细胞角蛋白 7(CK7)的免疫组织化学染色,使用 3D 组织学跟踪来研究微观透明细胞增殖的地形起源。此外,还评估了增殖性透明细胞的 CD10/CK7 免疫表型。透明细胞增殖均匀发生在远端肾小管系统中。然而,一些透明细胞增殖呈现近端肾小管免疫表型。结论是,VHL 缺陷的透明细胞早期增殖发生在远端肾小管系统中。尽管与远端肾小管系统有关,但早期透明细胞增殖的免疫组织化学特征可能与其远端肾小管起源不一致。

https://cdn.ncbi.nlm.nih.gov/pmc/blobs/8938/9647499/c7e7001ffec2/or-48-06-08437-g00.jpg

文献AI研究员

20分钟写一篇综述,助力文献阅读效率提升50倍。

立即体验

用中文搜PubMed

大模型驱动的PubMed中文搜索引擎

马上搜索

文档翻译

学术文献翻译模型,支持多种主流文档格式。

立即体验