Suppr超能文献

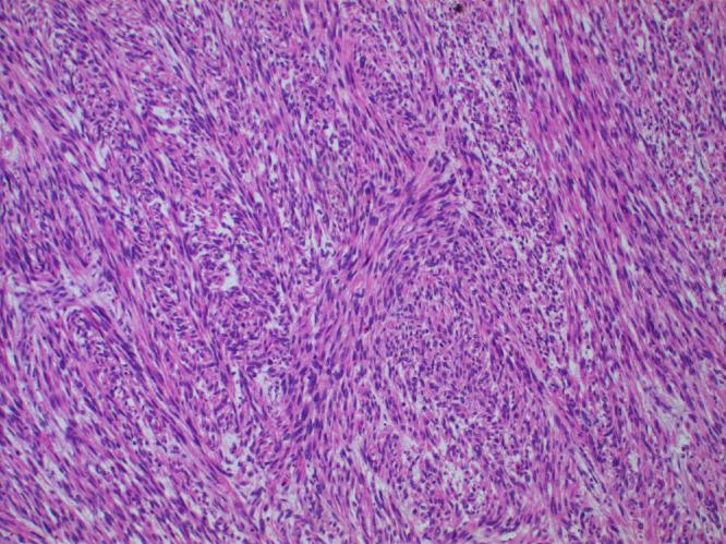
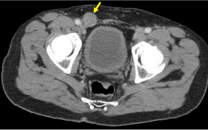
睾丸旁平滑肌肉瘤伴肢体及肺部转移。

Paratesticular leiomyosarcoma with metastasis to the extremities and lungs.

作者信息

Ahwin Priscilla, Santisi Anthony, Zhu Gord Guo, Tomaszewski Jeffrey, DiMarcangelo Mark

机构信息

Cooper Medical School of Rowan University, 401 Broadway, Camden, NJ 08103, USA.

Cooper University Health Care, 1 Cooper Plaza, Camden, NJ 08103, USA.

出版信息

Radiol Case Rep. 2022 Oct 27;18(1):31-36. doi: 10.1016/j.radcr.2022.09.089. eCollection 2023 Jan.

Abstract

Paratesticular leiomyosarcoma is a rare malignant tumor deriving from the smooth muscle of structures surrounding the testes, including the epididymis or scrotum. With few cases of genitourinary soft tissue sarcomas reported in the literature, little is known about progression, management, and treatment. Herein, we report a case of metastatic paratesticular leiomyosarcoma in a 47-year-old male with no past urological history. The patient initially presented with a firm, painless right scrotal mass, and ultimately developed soft tissue and pulmonary metastases.

摘要

睾丸旁平滑肌肉瘤是一种罕见的恶性肿瘤,起源于睾丸周围结构(包括附睾或阴囊)的平滑肌。由于文献中报道的泌尿生殖系统软组织肉瘤病例较少,对于其进展、管理和治疗知之甚少。在此,我们报告一例47岁男性转移性睾丸旁平滑肌肉瘤病例,该患者既往无泌尿系统病史。患者最初表现为右侧阴囊质地坚硬、无痛性肿块,最终出现软组织和肺转移。

https://cdn.ncbi.nlm.nih.gov/pmc/blobs/673e/9619145/c8867c419356/gr1.jpg

文献AI研究员

20分钟写一篇综述,助力文献阅读效率提升50倍。

立即体验

用中文搜PubMed

大模型驱动的PubMed中文搜索引擎

马上搜索

文档翻译

学术文献翻译模型,支持多种主流文档格式。

立即体验