Suppr超能文献

清醒犬的磨牙症作为大脑前部疾病的临床征象:4 例报告

Bruxism in awake dogs as a clinical sign of forebrain disease: 4 cases.

机构信息

Queen Mother Hospital for Animals, Royal Veterinary College, University of London, Hatfield, UK.

Hospital for Small Animals, Royal (Dick) School of Veterinary Studies, University of Edinburgh, Midlothian, UK.

出版信息

J Vet Intern Med. 2022 Nov;36(6):2132-2141. doi: 10.1111/jvim.16570. Epub 2022 Nov 2.

Abstract

BACKGROUND

Bruxism is a repetitive masticatory muscle activity characterized by clenching or grinding of the teeth, or by bracing or thrusting of the mandible, or both.

OBJECTIVES

To investigate whether bruxism in awake dogs could be associated with brain lesions.

ANIMALS

Four dogs with episodic bruxism in the awake state.

METHODS

Observational retrospective single-center case series. Inclusion criteria were dogs examined between 2010 and 2021 with episodic bruxism as a presenting complaint or observed during the examination or hospitalization, complete medical records and magnetic resonance imaging or computed tomography of the brain. Bruxism during epileptic seizures as oroalimentary automatism was an exclusion criterion.

RESULTS

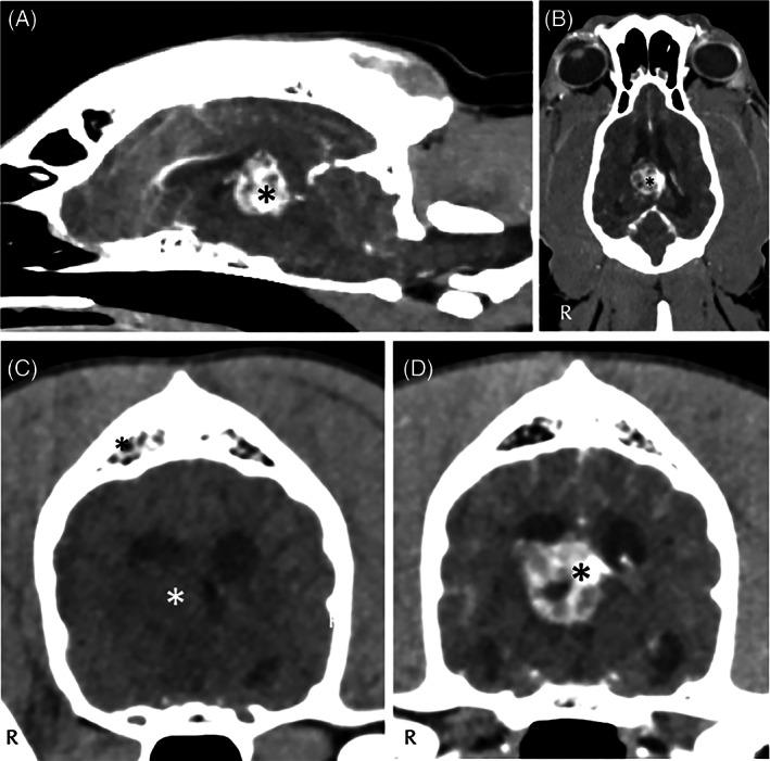
Four dogs met the inclusion criteria. Two dogs had bruxism while awake as a presenting complaint, whereas in the remaining 2 it was a clinical finding. All dogs had neuroanatomical localization consistent with a forebrain lesion, with diencephalic involvement in 3/4. The diagnostic evaluation was consistent with neoplasia (n = 2) and meningoencephalitis of unknown origin (n = 2), in 1 case accompanied by corpus callosum abnormality affecting the forebrain, in 3 dogs advanced imaging findings were suggestive of increased intracranial pressure. All dogs were euthanized.

CONCLUSIONS AND CLINICAL IMPORTANCE

Our results suggest that the presence of bruxism in the awake state associated with other neurological deficits might indicate a forebrain lesion.

摘要

背景

磨牙症是一种重复性咀嚼肌活动,其特征为牙齿紧咬或磨牙,或下颌骨紧咬或前伸,或两者兼有。

目的

研究清醒状态下犬的磨牙症是否与脑部病变有关。

动物

4 只在清醒状态下出现间歇性磨牙的犬。

方法

观察性回顾性单中心病例系列研究。纳入标准为 2010 年至 2021 年间因间歇性磨牙作为主要症状或在检查或住院期间观察到磨牙症、有完整的病历和脑部磁共振成像或计算机断层扫描的犬。作为口面自动运动的癫痫发作时的磨牙症被排除在外。

结果

4 只犬符合纳入标准。2 只犬因清醒时磨牙症作为主要症状就诊,其余 2 只为临床发现。所有犬均存在与前脑病变相一致的神经解剖学定位,4/4 的犬存在丘脑受累。诊断评估与肿瘤(n=2)和不明原因的脑膜脑炎(n=2)一致,1 例伴有影响前脑的胼胝体异常,3 只犬的高级影像学发现提示颅内压增高。所有犬均被安乐死。

结论和临床意义

我们的结果表明,清醒状态下出现磨牙症并伴有其他神经功能缺损可能提示存在前脑病变。

https://cdn.ncbi.nlm.nih.gov/pmc/blobs/afd5/9708440/28e18556149f/JVIM-36-2132-g002.jpg

文献检索

告别复杂PubMed语法,用中文像聊天一样搜索,搜遍4000万医学文献。AI智能推荐,让科研检索更轻松。

立即免费搜索

文件翻译

保留排版,准确专业,支持PDF/Word/PPT等文件格式,支持 12+语言互译。

免费翻译文档

深度研究

AI帮你快速写综述,25分钟生成高质量综述,智能提取关键信息,辅助科研写作。

立即免费体验