Suppr超能文献

一名产后女性出现癌抗原125升高及腹水,并发腹膜和肺结核。

Peritoneal and Pulmonary Tuberculosis in a Postpartum Female with Elevated Cancer Antigen 125 and Ascites.

作者信息

Lavrynenko Olga, Baireddy Moulika, Bodepudi Srilekha, Santos Hector, Cortez James, Zemlianitsyna Olga, Sanchez Fernando

机构信息

University of the Incarnate Word School of Osteopathic Medicine, Laredo Medical Center, 1700 E Saunders St, Laredo, TX 78041, USA.

Kharkiv, National Medical University, Nauky Av,4, Kharkiv 61000, Ukraine.

出版信息

Case Rep Infect Dis. 2022 Oct 26;2022:7012943. doi: 10.1155/2022/7012943. eCollection 2022.

Abstract

BACKGROUND

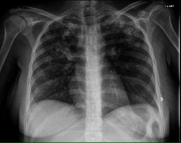
Peritoneal tuberculosis is a rare form of extrapulmonary tuberculosis and presents a challenging diagnosis because of its nonspecific clinical manifestations. Peritoneal TB mimics other pathologies, including abdominal carcinomatosis, especially when the patient presents with ascites and an elevated cancer antigen (CA)-125 levels. . A postpartum 20-year-old Hispanic female recently discharged after transverse cesarean surgery, presented to the ER with fever, chills, edema, abdominal distension, nausea, and vomiting. The patient was febrile, tachycardic, and hypotensive. Chest X-ray demonstrated alveolar and interstitial consolidations; chest CT revealed tree-in-bud opacities in the right lower lobe, suggestive of atypical (TB)/fungal infection. CT of the abdomen and pelvis demonstrated ascites, omental thickening, peritoneal thickening, and mesenteric adenopathy, suggestive of carcinomatosis. She was admitted with a presumed diagnosis of sepsis secondary to pneumonia and started empirically on broad-spectrum antibiotics without clinical improvement. A battery of oncology markers was ordered and revealed a mildly elevated cancer antigen (CA)-125. Diagnostic paracentesis showed lymphocytic predominance with positive mycobacteria PCR, elevated adenosine deaminase (ADA), and no malignant cells. Subsequently, the sputum acid-fast bacilli (AFB) stain returned positive for tuberculosis, confirming the diagnosis of pulmonary tuberculosis. A peritoneal biopsy was obtained and demonstrated caseating granulomas consistent with peritoneal tuberculosis. The patient was started on standard antituberculosis therapy with clinical improvement.

CONCLUSIONS

This case highlights the need for a high-level of suspicion for peritoneal tuberculosis in a patient with pulmonary tuberculosis who presents with intra-abdominal ascites, omental thickening, peritoneal thickening, and mesenteric lymphadenopathy, despite the presence of an elevated CA-125 level.

摘要

背景

腹膜结核是肺外结核的一种罕见形式,因其临床表现不具特异性,诊断颇具挑战性。腹膜结核可模仿其他病症,包括腹部癌转移,尤其是当患者出现腹水且癌抗原(CA)-125水平升高时。一名20岁的西班牙裔产后女性,在接受横切剖宫产手术后近期出院,因发热、寒战、水肿、腹胀、恶心和呕吐前往急诊室就诊。患者发热、心动过速且血压降低。胸部X光显示肺泡和间质实变;胸部CT显示右下叶有树芽征,提示非典型(结核)/真菌感染。腹部和盆腔CT显示有腹水、网膜增厚、腹膜增厚和肠系膜淋巴结肿大,提示癌转移。她因疑似肺炎继发败血症入院,并经验性地开始使用广谱抗生素,但临床症状无改善。一系列肿瘤标志物检查显示癌抗原(CA)-125轻度升高。诊断性腹腔穿刺显示以淋巴细胞为主,结核分枝杆菌聚合酶链反应阳性,腺苷脱氨酶(ADA)升高,且无恶性细胞。随后,痰抗酸杆菌(AFB)染色结核呈阳性,确诊为肺结核。进行了腹膜活检,结果显示有干酪样肉芽肿,符合腹膜结核。患者开始接受标准抗结核治疗,临床症状有所改善。

结论

本病例强调,对于患有肺结核且出现腹腔腹水、网膜增厚、腹膜增厚和肠系膜淋巴结肿大的患者,即使CA-125水平升高,也需要高度怀疑腹膜结核。

https://cdn.ncbi.nlm.nih.gov/pmc/blobs/c001/9629952/667b71f29d83/CRIID2022-7012943.001.jpg

文献AI研究员

20分钟写一篇综述,助力文献阅读效率提升50倍。

立即体验

用中文搜PubMed

大模型驱动的PubMed中文搜索引擎

马上搜索

文档翻译

学术文献翻译模型,支持多种主流文档格式。

立即体验