Suppr超能文献

长期米非司酮暴露后卵巢子宫内膜异位症的独特临床病理特征。

Distinct clinicopathological features of ovarian endometriosis after long-term exposure to mifepristone.

机构信息

Women's Hospital, Hangzhou Normal University (Hangzhou Women's Hospital), Hangzhou, Zhejiang Province, China.

Department of General Gynecology, Women's Hospital, School of Medicine, Zhejiang University, Hangzhou, Zhejiang Province, China.

出版信息

J Int Med Res. 2022 Nov;50(11):3000605221134471. doi: 10.1177/03000605221134471.

Abstract

OBJECTIVE

Mifepristone has been used to treat endometriosis, but it can cause a constellation of endometrial alterations. Our study investigated the effects of long-term mifepristone on ovarian endometriosis.

METHODS

We retrospectively analyzed the clinicopathological changes of ovarian endometriosis in 11 Chinese patients after long-term low-dose mifepristone therapy and compared these alterations with those observed in eutopic endometrium and adenomyosis side-by-side. Immunohistochemistry was applied to investigate estrogen receptor (ER), progesterone receptor (PR), and Ki67 expression in eutopic and ectopic endometrium.

RESULTS

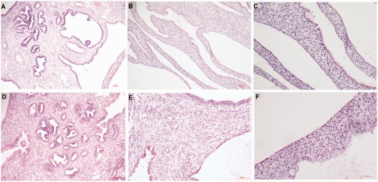
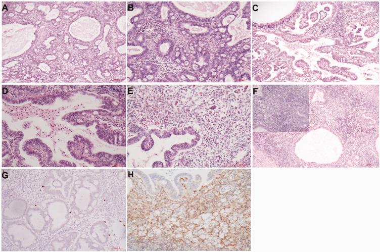
Nearly all patients had a pelvic mass and elevated serum CA125 levels. The ovarian lesions were grossly solid, cystic-solid, or cystic. They had a grayish-reddish appearance and a fleshy, honeycomb-like cut surface. The ovarian lesions shared morphological features with the uterine endometrium, and they were characterized by dilated, crowding endometrial glands with non-physiological changes. Immunostaining revealed consistent staining for ER and PR and a low Ki67 index in both eutopic and ectopic endometrium.

CONCLUSIONS

Our findings suggest that ovarian endometriosis can mimic an endometrioid borderline tumor after long-term mifepristone administration. Careful histological assessment and related clinical information are critical for the correct interpretation of these rare entities.

摘要

目的

米非司酮已被用于治疗子宫内膜异位症,但它可能会引起一系列子宫内膜改变。本研究旨在探讨长期低剂量米非司酮治疗对卵巢子宫内膜异位症的影响。

方法

我们回顾性分析了 11 例中国患者长期低剂量米非司酮治疗后卵巢子宫内膜异位症的临床病理变化,并将这些改变与在位子宫内膜和子宫腺肌病进行了比较。应用免疫组织化学方法检测在位和异位子宫内膜中雌激素受体(ER)、孕激素受体(PR)和 Ki67 的表达。

结果

几乎所有患者均有盆腔肿块和血清 CA125 水平升高。卵巢病变大体上呈实性、囊实性或囊性。它们呈灰红色,肉质,蜂窝状切面。卵巢病变与子宫子宫内膜具有相似的形态学特征,其特征为扩张、拥挤的子宫内膜腺体伴有非生理性改变。免疫染色显示 ER 和 PR 在在位和异位子宫内膜中均呈一致染色,Ki67 指数较低。

结论

我们的研究结果表明,长期米非司酮治疗后,卵巢子宫内膜异位症可类似于子宫内膜样交界性肿瘤。仔细的组织学评估和相关临床信息对于正确解释这些罕见实体至关重要。

https://cdn.ncbi.nlm.nih.gov/pmc/blobs/ed54/9659932/22089ab0a5ff/10.1177_03000605221134471-fig1.jpg

文献AI研究员

20分钟写一篇综述,助力文献阅读效率提升50倍。

立即体验

用中文搜PubMed

大模型驱动的PubMed中文搜索引擎

马上搜索

文档翻译

学术文献翻译模型,支持多种主流文档格式。

立即体验