Department of Medical Genetics and Molecular Diagnostic Laboratory, Shanghai Key Laboratory of Clinical Molecular Diagnostics for Pediatrics, Shanghai Children's Medical Center, School of Medicine, Shanghai Jiao Tong University, 1678 Dong Fang Road, Shanghai 200127, China.
State Key Laboratory of Molecular Biology, CAS Center for Excellence in Molecular Cell Science, Shanghai Institute of Biochemistry and Cell Biology, Chinese Academy of Sciences, University of Chinese Academy of Sciences, 320 Yue Yang Road, Shanghai 200031, China.
Nucleic Acids Res. 2022 Nov 11;50(20):11755-11774. doi: 10.1093/nar/gkac1028.
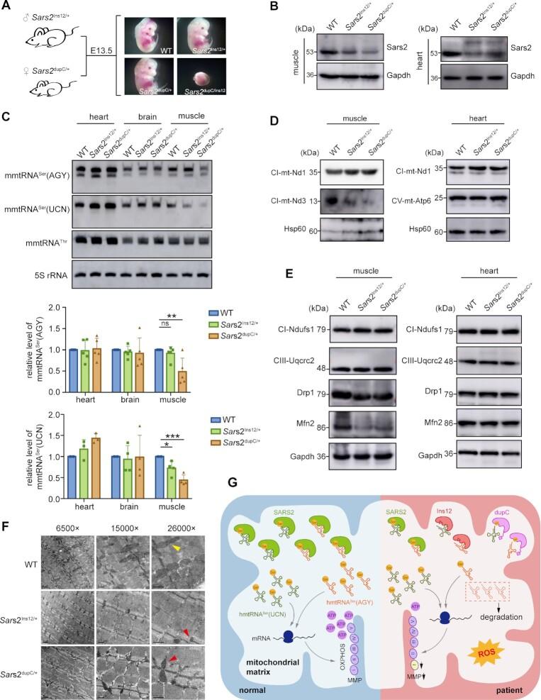
Mitochondrial translation is of high significance for cellular energy homeostasis. Aminoacyl-tRNA synthetases (aaRSs) are crucial translational components. Mitochondrial aaRS variants cause various human diseases. However, the pathogenesis of the vast majority of these diseases remains unknown. Here, we identified two novel SARS2 (encoding mitochondrial seryl-tRNA synthetase) variants that cause a multisystem disorder. c.654-14T > A mutation induced mRNA mis-splicing, generating a peptide insertion in the active site; c.1519dupC swapped a critical tRNA-binding motif in the C-terminus due to stop codon readthrough. Both mutants exhibited severely diminished tRNA binding and aminoacylation capacities. A marked reduction in mitochondrial tRNASer(AGY) was observed due to RNA degradation in patient-derived induced pluripotent stem cells (iPSCs), causing impaired translation and comprehensive mitochondrial function deficiencies. These impairments were efficiently rescued by wild-type SARS2 overexpression. Either mutation caused early embryonic fatality in mice. Heterozygous mice displayed reduced muscle tissue-specific levels of tRNASers. Our findings elucidated the biochemical and cellular consequences of impaired translation mediated by SARS2, suggesting that reduced abundance of tRNASer(AGY) is a key determinant for development of SARS2-related diseases.
线粒体翻译对细胞能量稳态具有重要意义。氨酰-tRNA 合成酶(aaRSs)是关键的翻译组成部分。线粒体 aaRS 变体可导致多种人类疾病。然而,这些疾病的绝大多数发病机制仍不清楚。在这里,我们鉴定了两个引起多系统疾病的新型 SARS2(编码线粒体丝氨酰-tRNA 合成酶)变体。c.654-14T > A 突变导致 mRNA 错剪接,在活性部位产生肽插入;c.1519dupC 由于终止密码通读,交换了 C 末端的关键 tRNA 结合基序。两个突变体的 tRNA 结合和氨酰化能力均严重降低。由于患者来源的诱导多能干细胞(iPSC)中的 RNA 降解,导致线粒体 tRNASer(AGY)显著减少,从而导致翻译受损和全面的线粒体功能缺陷。通过野生型 SARS2 的过表达可有效挽救这些缺陷。任一突变均导致小鼠早期胚胎致死。杂合子小鼠的肌肉组织特异性 tRNASers 水平降低。我们的研究结果阐明了 SARS2 介导的翻译受损的生化和细胞后果,表明 tRNASer(AGY)丰度降低是 SARS2 相关疾病发展的关键决定因素。