• 文献检索
  • 文档翻译
  • 深度研究
  • 学术资讯
  • Suppr Zotero 插件Zotero 插件
  • 邀请有礼
  • 套餐&价格
  • 历史记录
应用&插件
Suppr Zotero 插件Zotero 插件浏览器插件Mac 客户端Windows 客户端微信小程序
定价
高级版会员购买积分包购买API积分包
服务
文献检索文档翻译深度研究API 文档MCP 服务
关于我们
关于 Suppr公司介绍联系我们用户协议隐私条款
关注我们

Suppr 超能文献

核心技术专利:CN118964589B侵权必究
粤ICP备2023148730 号-1Suppr @ 2026

文献检索

告别复杂PubMed语法,用中文像聊天一样搜索,搜遍4000万医学文献。AI智能推荐,让科研检索更轻松。

立即免费搜索

文件翻译

保留排版,准确专业,支持PDF/Word/PPT等文件格式,支持 12+语言互译。

免费翻译文档

深度研究

AI帮你快速写综述,25分钟生成高质量综述,智能提取关键信息,辅助科研写作。

立即免费体验

用于检测猪流行性腹泻病毒(PEDV)和猪圆环病毒2型(PCV 2)的双重环介导等温扩增技术的开发

Development of Duplex LAMP Technique for Detection of Porcine Epidemic Diarrhea Virus (PEDV) and Porcine Circovirus Type 2 (PCV 2).

作者信息

Areekit Supatra, Tangjitrungrot Pongbun, Khuchareontaworn Sintawee, Rattanathanawan Kankanit, Jaratsing Pornpun, Yasawong Montri, Chansiri Gaysorn, Viseshakul Nareerat, Chansiri Kosum

机构信息

Innovative Learning Center, Srinakharinwirot University, Bangkok 10110, Thailand.

Center of Excellence in Biosensors, Srinakharinwirot University, Bangkok 10110, Thailand.

出版信息

Curr Issues Mol Biol. 2022 Nov 3;44(11):5427-5439. doi: 10.3390/cimb44110368.

DOI:10.3390/cimb44110368
PMID:36354680
原文链接:https://pmc.ncbi.nlm.nih.gov/articles/PMC9689611/
Abstract

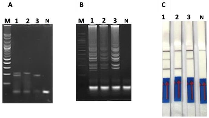
Porcine epidemic diarrhea virus (PEDV) and porcine circovirus type 2 (PCV2) are both important global pathogenic viruses which have a significant impact on the swine industry. In this study, a duplex loop-mediated isothermal amplification (duplex LAMP) method was developed in combination with lateral flow dipstick (LFD) for simultaneous detection of PEDV and PCV2 using specific sets of primers and probes designed based on the conserved regions of a spike gene (KF272920) and an ORF gene (EF493839), respectively. The limit of detection (LOD) values of the duplex LAMP-LFD for the detection of PEDV and PCV2 were 0.1 ng/µL and 0.246 ng/µL, respectively. The LOD of duplex LAMP-LFD was 10-times more sensitive than conventional PCR and RT-PCR-agarose gel-electrophoresis (PCR-AGE and RT-PCR-AGE). No cross-reaction to each other and to other pathogenic viruses that can infect pigs were observed according to analytical specificity tests. The duplex LAMP-LFD method for the simultaneous detection of PEDV and PCV2 co-infection could be completed within approximately 1.5 h, and only a simple heating block was required for isothermal amplification. The preliminary validation using 50 swine clinical samples with positive and negative PEDV and/or PCV2 revealed that the sensitivity, specificity, and accuracy of duplex LAMP-LFD were all 100% in comparison to conventional PCR and RT-PCR. Hence, this study suggests that duplex LAMP-LFD is a promising tool for the early detection and initial screening of PEDV and PCV2, which could be beneficial for prevention, planning, and epidemiological surveys of these diseases.

摘要

猪流行性腹泻病毒(PEDV)和猪圆环病毒2型(PCV2)都是对全球养猪业有重大影响的重要致病病毒。在本研究中,结合侧向流动试纸条(LFD)开发了一种双重环介导等温扩增(duplex LAMP)方法,分别使用基于刺突基因(KF272920)和开放阅读框基因(EF493839)保守区域设计的特定引物和探针组,同时检测PEDV和PCV2。双重LAMP-LFD检测PEDV和PCV2的检测限(LOD)值分别为0.1 ng/µL和0.246 ng/µL。双重LAMP-LFD的LOD比传统PCR和RT-PCR-琼脂糖凝胶电泳(PCR-AGE和RT-PCR-AGE)灵敏10倍。根据分析特异性试验,未观察到彼此之间以及与其他可感染猪的致病病毒的交叉反应。用于同时检测PEDV和PCV2共感染的双重LAMP-LFD方法可在约1.5小时内完成,等温扩增仅需一个简单的加热块。使用50份PEDV和/或PCV2阳性和阴性猪临床样本进行的初步验证表明,与传统PCR和RT-PCR相比,双重LAMP-LFD的敏感性、特异性和准确性均为100%。因此,本研究表明双重LAMP-LFD是一种用于PEDV和PCV2早期检测和初步筛查的有前景的工具,这可能有利于这些疾病的预防、规划和流行病学调查。

https://cdn.ncbi.nlm.nih.gov/pmc/blobs/a16c/9689611/d79da9e5d215/cimb-44-00368-g004.jpg
https://cdn.ncbi.nlm.nih.gov/pmc/blobs/a16c/9689611/bc0391705500/cimb-44-00368-g001.jpg
https://cdn.ncbi.nlm.nih.gov/pmc/blobs/a16c/9689611/d3a996d76b9c/cimb-44-00368-g002.jpg
https://cdn.ncbi.nlm.nih.gov/pmc/blobs/a16c/9689611/5db46fe23cfc/cimb-44-00368-g003.jpg
https://cdn.ncbi.nlm.nih.gov/pmc/blobs/a16c/9689611/d79da9e5d215/cimb-44-00368-g004.jpg
https://cdn.ncbi.nlm.nih.gov/pmc/blobs/a16c/9689611/bc0391705500/cimb-44-00368-g001.jpg
https://cdn.ncbi.nlm.nih.gov/pmc/blobs/a16c/9689611/d3a996d76b9c/cimb-44-00368-g002.jpg
https://cdn.ncbi.nlm.nih.gov/pmc/blobs/a16c/9689611/5db46fe23cfc/cimb-44-00368-g003.jpg
https://cdn.ncbi.nlm.nih.gov/pmc/blobs/a16c/9689611/d79da9e5d215/cimb-44-00368-g004.jpg

相似文献

1
Development of Duplex LAMP Technique for Detection of Porcine Epidemic Diarrhea Virus (PEDV) and Porcine Circovirus Type 2 (PCV 2).用于检测猪流行性腹泻病毒(PEDV)和猪圆环病毒2型(PCV 2)的双重环介导等温扩增技术的开发
Curr Issues Mol Biol. 2022 Nov 3;44(11):5427-5439. doi: 10.3390/cimb44110368.
2
Visual and Rapid Detection of Porcine Epidemic Diarrhea Virus (PEDV) Using Reverse Transcription Loop-Mediated Isothermal Amplification Method.利用逆转录环介导等温扩增法对猪流行性腹泻病毒进行可视化快速检测
Animals (Basel). 2022 Oct 9;12(19):2712. doi: 10.3390/ani12192712.
3
Triplex-Loop-Mediated Isothermal Amplification Combined with a Lateral Flow Immunoassay for the Simultaneous Detection of Three Pathogens of Porcine Viral Diarrhea Syndrome in Swine.三重环介导等温扩增结合侧向流动免疫分析用于同时检测猪病毒性腹泻综合征的三种病原体
Animals (Basel). 2023 Jun 7;13(12):1910. doi: 10.3390/ani13121910.
4
A duplex nested RT-PCR method for monitoring porcine epidemic diarrhea virus and porcine delta-coronavirus.一种用于监测猪流行性腹泻病毒和猪德尔塔冠状病毒的双重嵌套 RT-PCR 方法。
BMC Vet Res. 2023 Sep 8;19(1):151. doi: 10.1186/s12917-023-03708-y.
5
Evaluation of two singleplex reverse transcription-Insulated isothermal PCR tests and a duplex real-time RT-PCR test for the detection of porcine epidemic diarrhea virus and porcine deltacoronavirus.两种单重逆转录-绝缘等温PCR检测方法和一种双重实时RT-PCR检测方法用于检测猪流行性腹泻病毒和猪德尔塔冠状病毒的评估
J Virol Methods. 2016 Aug;234:34-42. doi: 10.1016/j.jviromet.2016.03.016. Epub 2016 Apr 6.
6
Specific, simple and rapid detection of porcine circovirus type 2 using the loop-mediated isothermal amplification method.采用环介导等温扩增法对猪圆环病毒 2 型进行特异性、简单、快速的检测。
Virol J. 2011 Mar 18;8:126. doi: 10.1186/1743-422X-8-126.
7
Rapid detection of porcine deltacoronavirus and porcine epidemic diarrhea virus using the duplex recombinase polymerase amplification method.采用双重重组聚合酶扩增法快速检测猪德尔塔冠状病毒和猪流行性腹泻病毒。
J Virol Methods. 2021 Jun;292:114096. doi: 10.1016/j.jviromet.2021.114096. Epub 2021 Feb 15.
8
Development and Application of a Reverse-Transcription Recombinase-Aided Amplification Assay for Porcine Epidemic Diarrhea Virus.猪流行性腹泻病毒逆转录重组酶介导等温扩增检测方法的建立与应用
Viruses. 2022 Mar 12;14(3):591. doi: 10.3390/v14030591.
9
Development of a loop-mediated isothermal amplification (LAMP) assay for rapid visual detection of porcine circovirus type 2 (PCV2) and its application.环介导等温扩增(LAMP)法快速可视化检测猪圆环病毒 2 型(PCV2)及其应用的建立。
Anim Biotechnol. 2023 Dec;34(7):2441-2448. doi: 10.1080/10495398.2022.2095516. Epub 2022 Jul 6.
10
Rapid and visual detection of porcine deltacoronavirus by recombinase polymerase amplification combined with a lateral flow dipstick.通过重组酶聚合酶扩增结合侧向流动试纸条对猪德尔塔冠状病毒进行快速可视化检测。
BMC Vet Res. 2020 May 7;16(1):130. doi: 10.1186/s12917-020-02341-3.

引用本文的文献

1
Advancements in Modern Nucleic Acid-Based Multiplex Testing Methodologies for the Diagnosis of Swine Infectious Diseases.用于猪传染病诊断的现代基于核酸的多重检测方法的进展
Vet Sci. 2025 Jul 24;12(8):693. doi: 10.3390/vetsci12080693.
2
Advances in porcine epidemic diarrhea virus research: genome, epidemiology, vaccines, and detection methods.猪流行性腹泻病毒研究进展:基因组、流行病学、疫苗及检测方法
Discov Nano. 2025 Mar 3;20(1):48. doi: 10.1186/s11671-025-04220-y.
3
Advancements in LAMP-Based Diagnostics: Emerging Techniques and Applications in Viral Detection with a Focus on Herpesviruses in Transplant Patient Management.

本文引用的文献

1
LAMP Coupled CRISPR-Cas12a Module for Rapid, Sensitive and Visual Detection of Porcine Circovirus 2.用于快速、灵敏和可视化检测猪圆环病毒2型的环介导等温扩增(LAMP)耦合CRISPR-Cas12a模块
Animals (Basel). 2022 Sep 14;12(18):2413. doi: 10.3390/ani12182413.
2
Point-of-Care Tests for Rapid Detection of Porcine Epidemic Diarrhea Virus: A Systematic Review and Meta-Analysis.即时检测用于快速检测猪流行性腹泻病毒的研究:系统评价和荟萃分析。
Viruses. 2022 Jun 21;14(7):1355. doi: 10.3390/v14071355.
3
Genetic Diversity of Porcine Circovirus 2 in Wild Boar and Domestic Pigs in Ukraine.
基于 LAMP 的诊断技术的进展:病毒检测中的新兴技术和应用,重点关注移植患者管理中的疱疹病毒。
Int J Mol Sci. 2024 Oct 26;25(21):11506. doi: 10.3390/ijms252111506.
4
Field-applicable simultaneous multiplex LAMP assay for screening HBV and HCV co-infection in a single tube.现场应用的同时多重环介导等温扩增检测法在单个管中筛查乙型肝炎病毒和丙型肝炎病毒合并感染。
BMC Infect Dis. 2024 Aug 9;24(1):805. doi: 10.1186/s12879-024-09567-8.
5
Development of a triplex quantitative reverse transcription-polymerase chain reaction for the detection of porcine epidemic diarrhea virus, porcine transmissible gastroenteritis virus, and porcine rotavirus A.用于检测猪流行性腹泻病毒、猪传染性胃肠炎病毒和猪轮状病毒A的三重定量逆转录-聚合酶链反应的开发
Front Microbiol. 2024 May 10;15:1390328. doi: 10.3389/fmicb.2024.1390328. eCollection 2024.
6
Establishment and application of a loop-mediated isothermal amplification-lateral flow dipstick (LAMP-LFD) method for detecting Clostridium piliforme.建立并应用环介导等温扩增-侧流层析法(LAMP-LFD)检测多毛梭菌。
Vet Med Sci. 2024 Jan;10(1):e1318. doi: 10.1002/vms3.1318. Epub 2023 Nov 3.
7
Emergent Molecular Techniques Applied to the Detection of Porcine Viruses.应用于猪病毒检测的新兴分子技术
Vet Sci. 2023 Oct 7;10(10):609. doi: 10.3390/vetsci10100609.
8
Application of loop-mediated isothermal amplification combined with lateral flow assay visualization of Plasmodium falciparum kelch 13 C580Y mutation for artemisinin resistance detection in clinical samples.应用环介导等温扩增结合侧流分析可视化检测疟原虫kelch 13 C580Y 突变用于临床样本中的青蒿素耐药性检测。
Acta Trop. 2023 Oct;246:106998. doi: 10.1016/j.actatropica.2023.106998. Epub 2023 Aug 5.
9
Triplex-Loop-Mediated Isothermal Amplification Combined with a Lateral Flow Immunoassay for the Simultaneous Detection of Three Pathogens of Porcine Viral Diarrhea Syndrome in Swine.三重环介导等温扩增结合侧向流动免疫分析用于同时检测猪病毒性腹泻综合征的三种病原体
Animals (Basel). 2023 Jun 7;13(12):1910. doi: 10.3390/ani13121910.
乌克兰野猪和家猪中猪圆环病毒 2 型的遗传多样性。
Viruses. 2022 Apr 28;14(5):924. doi: 10.3390/v14050924.
4
A DNA Barcode-Based Aptasensor Enables Rapid Testing of Porcine Epidemic Diarrhea Viruses in Swine Saliva Using Electrochemical Readout.基于 DNA 条形码的适体传感器可通过电化学生物传感器快速检测猪唾液中的猪流行性腹泻病毒
Angew Chem Int Ed Engl. 2022 Aug 1;61(31):e202204252. doi: 10.1002/anie.202204252. Epub 2022 Jun 9.
5
A simple colorimetric detection of porcine epidemic diarrhea virus by reverse transcription loop-mediated isothermal amplification assay using hydroxynaphthol blue metal indicator.基于羟萘酚蓝金属指示剂的逆转录环介导等温扩增法对猪流行性腹泻病毒的简单比色检测
J Virol Methods. 2021 Dec;298:114289. doi: 10.1016/j.jviromet.2021.114289. Epub 2021 Sep 15.
6
Highly sensitive and rapid detection of porcine circovirus 2 by avidin-biotin complex based lateral flow assay coupled to isothermal amplification.基于亲和素-生物素复合物的侧向流动分析联合等温扩增技术对猪圆环病毒 2 的高灵敏快速检测。
Anal Methods. 2021 Oct 8;13(38):4429-4436. doi: 10.1039/d1ay01189h.
7
Porcine enteric coronaviruses: an updated overview of the pathogenesis, prevalence, and diagnosis.猪肠道冠状病毒:发病机制、流行情况和诊断的最新概述。
Vet Res Commun. 2021 Sep;45(2-3):75-86. doi: 10.1007/s11259-021-09808-0. Epub 2021 Jul 12.
8
Use of dual priming oligonucleotide system-based multiplex RT-PCR assay to detect five diarrhea viruses in pig herds in South China.基于双重引物寡核苷酸系统的多重逆转录聚合酶链反应检测华南地区猪群中五种腹泻病毒
AMB Express. 2021 Jul 1;11(1):99. doi: 10.1186/s13568-021-01255-z.
9
Development of cost-effective quantitative PCR method for parallel detection of porcine circovirus2 and porcine parvovirus in perspective of North-eastern India.从印度东北部的角度出发,开发一种经济有效的定量 PCR 方法,用于平行检测猪圆环病毒 2 型和猪细小病毒。
Trop Anim Health Prod. 2021 Feb 22;53(1):177. doi: 10.1007/s11250-021-02609-2.
10
Porcine Circovirus 2 Genotypes, Immunity and Vaccines: Multiple Genotypes but One Single Serotype.猪圆环病毒2型的基因型、免疫与疫苗:多种基因型但为单一血清型
Pathogens. 2020 Dec 14;9(12):1049. doi: 10.3390/pathogens9121049.