Department of Obstetrics and Gynecology, School of Medicine, University of Colorado, Aurora, CO 80309, USA.
Department of Obstetrics and Gynecology, School of Medicine, Stanford University, Stanford, CA 94305, USA.
Cells. 2022 Oct 29;11(21):3427. doi: 10.3390/cells11213427.
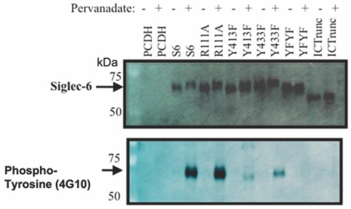
Preeclampsia is a pregnancy-specific disorder involving placental abnormalities. Elevated placental Sialic acid immunoglobulin-like lectin (Siglec)-6 expression has been correlated with preeclampsia. Siglec-6 is a transmembrane receptor, expressed predominantly by the trophoblast cells in the human placenta. It interacts with sialyl glycans such as sialyl-TN glycans as well as binds leptin. Siglec-6 overexpression has been shown to influence proliferation, apoptosis, and invasion in the trophoblast (BeWo) cell model. However, there is no direct evidence that Siglec-6 plays a role in preeclampsia pathogenesis and its signaling potential is still largely unexplored. Siglec-6 contains an immunoreceptor tyrosine-based inhibitory motif (ITIM) and an ITIM-like motif in its cytoplasmic tail suggesting a signaling function. Site-directed mutagenesis and transfection were employed to create a series of Siglec-6 expressing HTR-8/SVneo trophoblastic cell lines with mutations in specific functional residues to explore the signaling potential of Siglec-6. Co-immunoprecipitation and inhibitory assays were utilized to investigate the association of Src-kinases and SH-2 domain-containing phosphatases with Siglec-6. In this study, we show that Siglec-6 is phosphorylated at ITIM and ITIM-like domains by Src family kinases. Phosphorylation of both ITIM and ITIM-like motifs is essential for the recruitment of phosphatases like Src homology region 2 containing protein tyrosine phosphatase 2 (SHP-2), which has downstream signaling capabilities. These findings suggest Siglec-6 as a signaling molecule in human trophoblasts. Further investigation is warranted to determine which signaling pathways are activated downstream to SHP-2 recruitment and how overexpression of Siglec-6 in preeclamptic placentas impacts pathogenesis.
子痫前期是一种与胎盘异常有关的妊娠特发性疾病。研究表明,胎盘唾液酸免疫球蛋白样凝集素(Siglec)-6 的表达升高与子痫前期有关。Siglec-6 是一种跨膜受体,主要在人胎盘的滋养细胞中表达。它与唾液酸化糖蛋白如唾液酸化-TN 糖蛋白相互作用,并且与瘦素结合。研究表明,Siglec-6 的过度表达会影响滋养细胞(BeWo)中的增殖、凋亡和侵袭。然而,目前尚无直接证据表明 Siglec-6 在子痫前期发病机制中起作用,其信号转导潜力在很大程度上仍未得到探索。Siglec-6 的细胞质尾部包含一个免疫受体酪氨酸基抑制基序(ITIM)和一个 ITIM 样基序,提示其具有信号转导功能。通过定点突变和转染,构建了一系列具有特定功能残基突变的 Siglec-6 表达 HTR-8/SVneo 滋养层细胞系,以探索 Siglec-6 的信号转导潜力。通过共免疫沉淀和抑制实验,研究了 Src 激酶和含 SH2 结构域的磷酸酶与 Siglec-6 的关联。在这项研究中,我们表明 Src 家族激酶可使 Siglec-6 的 ITIM 和 ITIM 样结构域磷酸化。ITIM 和 ITIM 样基序的磷酸化对于含 SH2 结构域的蛋白酪氨酸磷酸酶 2(SHP-2)等磷酸酶的募集是必不可少的,SHP-2 具有下游信号转导能力。这些发现表明 Siglec-6 是人类滋养细胞中的一种信号分子。需要进一步研究以确定 SHP-2 募集下游激活的信号通路以及子痫前期胎盘过度表达 Siglec-6 如何影响发病机制。