Suppr超能文献

磁共振成像检查脑转移瘤时发现的非脑转移。

Nonbrain metastases seen on magnetic resonance imaging during metastatic brain tumor screening.

机构信息

Department of Diagnostic and Interventional Radiology, Osaka International Cancer Institute, 3-1-69, Otemae, Chuo-Ku, Osaka-Shi, Osaka, 541-8567, Japan.

Department of Neurosurgery, Osaka International Cancer Institute, 3-1-69, Otemae, Chuo-Ku, Osaka-Shi, Osaka, 541-8567, Japan.

出版信息

Jpn J Radiol. 2023 Apr;41(4):367-381. doi: 10.1007/s11604-022-01362-2. Epub 2022 Nov 14.

Abstract

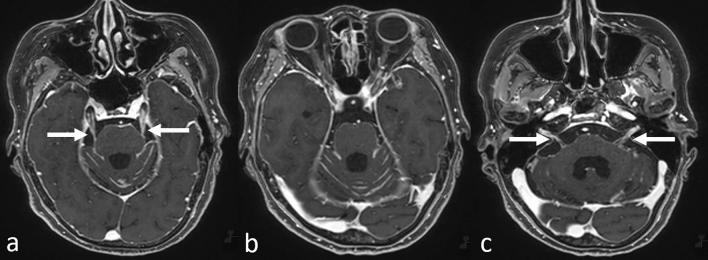
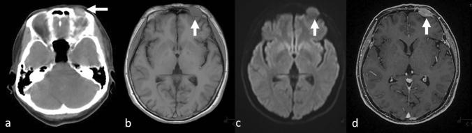
Although metastases found during head magnetic resonance imaging (MRI) are not limited to metastatic brain tumors, the MRI is a very common method for "brain metastasis screening," a modality that is being increasingly performed. In this review, we describe MRI findings of nonbrain metastases and discuss ways to avoid missing these lesions. Metastatic cranial bone tumors are among the most common nonbrain metastatic lesions found on head MRI, followed by leptomeningeal carcinomatosis. The other less-frequent metastatic lesions include those in the ventricle/choroid plexus, the pituitary gland and stalk, and the pineal gland. Metastases in the head and neck area, as well as cranial and intracranial lesions, should be carefully evaluated. Furthermore, direct geographical invasion, perineural spread, and double cancers should also be considered. While it is important to recognize these metastatic lesions on MRI, because they may necessitate a change in treatment strategy that could lead to an improvement in prognosis due to early introduction of therapy, nonbrain lesions should also be given greater attention, given the increasing survival of patients with cancer and advances in MRI technology, such as contrast-enhanced-3D T1-weighted imaging.

摘要

尽管头部磁共振成像(MRI)检查发现的转移不限于脑转移瘤,但 MRI 是一种非常常见的“脑转移筛查”方法,这种方法的应用越来越广泛。在这篇综述中,我们描述了非脑部转移瘤的 MRI 表现,并讨论了避免遗漏这些病变的方法。转移性颅骨肿瘤是头部 MRI 上最常见的非脑转移病变之一,其次是软脑膜癌病。其他较少见的转移性病变包括脑室/脉络丛、垂体及其柄和松果体转移瘤。头颈部、颅腔和颅内病变应仔细评估。此外,还应考虑直接的地理侵犯、神经周围扩散和双癌。虽然在 MRI 上识别这些转移瘤很重要,因为它们可能需要改变治疗策略,通过早期引入治疗来改善预后,但鉴于癌症患者的生存率提高和 MRI 技术的进步,如增强-3D T1 加权成像,也应更加关注非脑部病变。

https://cdn.ncbi.nlm.nih.gov/pmc/blobs/08f6/10066091/a2690c0edf5f/11604_2022_1362_Fig1_HTML.jpg

文献检索

告别复杂PubMed语法,用中文像聊天一样搜索,搜遍4000万医学文献。AI智能推荐,让科研检索更轻松。

立即免费搜索

文件翻译

保留排版,准确专业,支持PDF/Word/PPT等文件格式,支持 12+语言互译。

免费翻译文档

深度研究

AI帮你快速写综述,25分钟生成高质量综述,智能提取关键信息,辅助科研写作。

立即免费体验