• 文献检索
  • 文档翻译
  • 深度研究
  • 学术资讯
  • Suppr Zotero 插件Zotero 插件
  • 邀请有礼
  • 套餐&价格
  • 历史记录
应用&插件
Suppr Zotero 插件Zotero 插件浏览器插件Mac 客户端Windows 客户端微信小程序
定价
高级版会员购买积分包购买API积分包
服务
文献检索文档翻译深度研究API 文档MCP 服务
关于我们
关于 Suppr公司介绍联系我们用户协议隐私条款
关注我们

Suppr 超能文献

核心技术专利:CN118964589B侵权必究
粤ICP备2023148730 号-1Suppr @ 2026

文献检索

告别复杂PubMed语法,用中文像聊天一样搜索,搜遍4000万医学文献。AI智能推荐,让科研检索更轻松。

立即免费搜索

文件翻译

保留排版,准确专业,支持PDF/Word/PPT等文件格式,支持 12+语言互译。

免费翻译文档

深度研究

AI帮你快速写综述,25分钟生成高质量综述,智能提取关键信息,辅助科研写作。

立即免费体验

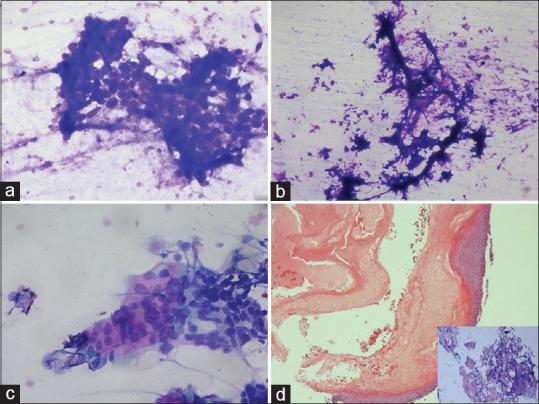
Bullous Pilomatrixoma: Without a "Shadow" of Doubt - Role of ROSE and Cytology.

作者信息

Santosh Tummidi, Josephain K, Gopinath Hima, Shankaralingappa Arundhathi

机构信息

Department of Pathology, and Laboratory Medicine, AIIMS, Kalyani, West Bengal, India.

Department of Pathology, AIIMS, Mangalagiri, Andhra Pradesh, India.

出版信息

Indian Dermatol Online J. 2022 Sep 21;13(6):783-785. doi: 10.4103/idoj.idoj_18_22. eCollection 2022 Nov-Dec.

DOI:10.4103/idoj.idoj_18_22
PMID:36386744
原文链接:https://pmc.ncbi.nlm.nih.gov/articles/PMC9650760/
Abstract
摘要
https://cdn.ncbi.nlm.nih.gov/pmc/blobs/5966/9650760/f258ef97e4c4/IDOJ-13-783-g003.jpg
https://cdn.ncbi.nlm.nih.gov/pmc/blobs/5966/9650760/3d9f8d088b8f/IDOJ-13-783-g001.jpg
https://cdn.ncbi.nlm.nih.gov/pmc/blobs/5966/9650760/2406f1b06f91/IDOJ-13-783-g002.jpg
https://cdn.ncbi.nlm.nih.gov/pmc/blobs/5966/9650760/f258ef97e4c4/IDOJ-13-783-g003.jpg
https://cdn.ncbi.nlm.nih.gov/pmc/blobs/5966/9650760/3d9f8d088b8f/IDOJ-13-783-g001.jpg
https://cdn.ncbi.nlm.nih.gov/pmc/blobs/5966/9650760/2406f1b06f91/IDOJ-13-783-g002.jpg
https://cdn.ncbi.nlm.nih.gov/pmc/blobs/5966/9650760/f258ef97e4c4/IDOJ-13-783-g003.jpg

相似文献

1
Bullous Pilomatrixoma: Without a "Shadow" of Doubt - Role of ROSE and Cytology.大疱性毛母质瘤:毫无疑问——现场快速评估(ROSE)和细胞学的作用
Indian Dermatol Online J. 2022 Sep 21;13(6):783-785. doi: 10.4103/idoj.idoj_18_22. eCollection 2022 Nov-Dec.
2
Fine needle aspiration cytology of pilomatrixoma and differential diagnoses.毛母质瘤的细针穿刺抽吸细胞学检查及鉴别诊断
Acta Cytol. 2009 Nov-Dec;53(6):683-8.
3
Fine needle aspiration (FNA) cytology of pilomatrixoma: report of 14 cases and review of the literature.
Cytopathology. 1999 Aug;10(4):263-9. doi: 10.1046/j.1365-2303.1999.00188.x.
4
Cytodiagnosis of pilomatrixoma from an uncommon site with unusual presentation.来自罕见部位且表现异常的毛母质瘤的细胞诊断。
Int J Trichology. 2012 Oct;4(4):280-2. doi: 10.4103/0974-7753.111205.
5
Giant pilomatrixoma with bullous appearance on the back: A case report and discussion of misdiagnosis.背部水疱样外观的巨大毛发基质瘤:1 例病例报告并讨论误诊。
J Cosmet Dermatol. 2022 Oct;21(10):4245-4248. doi: 10.1111/jocd.14934. Epub 2022 Apr 24.
6
Cell renewal, cell differentiation and programmed cell death (apoptosis) in pilomatrixoma.毛母质瘤中的细胞更新、细胞分化和程序性细胞死亡(凋亡)。
Br J Dermatol. 1997 Nov;137(5):714-20.
7
Pilomatrixoma of the arm: a rare case with cytologic diagnosis.手臂毛发上皮瘤:一例罕见的细胞学诊断病例
Case Rep Dermatol Med. 2012;2012:257405. doi: 10.1155/2012/257405. Epub 2012 Oct 4.
8
Bullous pilomatricoma: a rare variant resembling bouncy ball.大疱性毛母质瘤:一种类似弹力球的罕见变体。
Int J Trichology. 2013 Jan;5(1):32-4. doi: 10.4103/0974-7753.114716.
9
Expression of hard alpha-keratins in pilomatrixoma, craniopharyngioma, and calcifying odontogenic cyst.硬α-角蛋白在毛母质瘤、颅咽管瘤和牙源性钙化囊肿中的表达。
Am J Clin Pathol. 2005 Mar;123(3):376-81. doi: 10.1309/WVTR-R1DX-YMC8-PBMK.
10
Aggressive pilomatrixoma: a diagnostic dilemma on fine-needle aspiration cytology with review of literature.侵袭性毛母质瘤:细针穿刺细胞学诊断的难题并文献复习
Diagn Cytopathol. 2014 Oct;42(10):906-11. doi: 10.1002/dc.23192. Epub 2014 Jun 26.

本文引用的文献

1
Pilomatrixoma: A Comprehensive Review of the Literature.毛母质瘤:文献综述
Am J Dermatopathol. 2018 Sep;40(9):631-641. doi: 10.1097/DAD.0000000000001118.
2
Cutaneous Metastasis: A Study of 138 Cases Diagnosed by Fine-Needle Aspiration Cytology.皮肤转移瘤:138例经细针穿刺抽吸细胞学诊断的病例研究
Acta Cytol. 2017;61(1):47-54. doi: 10.1159/000453252. Epub 2016 Dec 22.
3
Can we confidently diagnose pilomatricoma with fine needle aspiration cytology?我们能否通过细针穿刺细胞学检查来确诊毛母质瘤?
Malays J Med Sci. 2015 Jan-Feb;22(1):84-8.
4
Bullous pilomatricoma: a rare variant resembling bouncy ball.大疱性毛母质瘤:一种类似弹力球的罕见变体。
Int J Trichology. 2013 Jan;5(1):32-4. doi: 10.4103/0974-7753.114716.
5
Pilomatrixoma of the arm: a rare case with cytologic diagnosis.手臂毛发上皮瘤:一例罕见的细胞学诊断病例
Case Rep Dermatol Med. 2012;2012:257405. doi: 10.1155/2012/257405. Epub 2012 Oct 4.
6
Pilomatrixoma: Fine-needle aspiration cytology a report of three cases.毛母质瘤:细针穿刺细胞学检查——三例报告
Ann Saudi Med. 1997 Jan;17(1):88-91. doi: 10.5144/0256-4947.1997.88.
7
Fine-needle aspiration cytology of pilomatrixoma of the arm and the role of cell block examination in the diagnosis.手臂毛母质瘤的细针穿刺细胞学检查及细胞块检查在诊断中的作用
Diagn Cytopathol. 2005 Jan;32(1):61-2. doi: 10.1002/dc.20177.