Suppr超能文献

病例报告:两名患有神经元核内包涵体病的兄弟姐妹表现出不同的临床放射学特征。

Case report: Two siblings with neuronal intranuclear inclusion disease exhibiting distinct clinicoradiological findings.

作者信息

Liu Yutao, Zeng Li, Yuan Yanpeng, Wang Yangyang, Chen Kai, Chen Yan, Bai Jiaying, Xiao Feng, Xu Yuming, Yang Jing, Tan Song

机构信息

Department of Neurology, The First Affiliated Hospital of Zhengzhou University, Zhengzhou University, Zhengzhou, China.

Key Laboratory of Cerebrovascular Disease of Henan Province, Zhengzhou University, Zhengzhou, China.

出版信息

Front Neurol. 2022 Oct 25;13:1013213. doi: 10.3389/fneur.2022.1013213. eCollection 2022.

Abstract

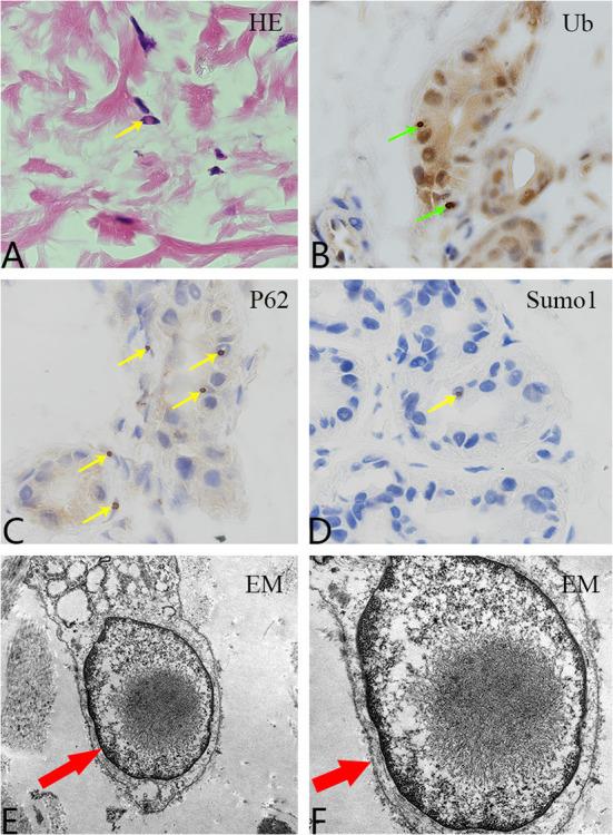
Neuronal intranuclear inclusion disease (NIID) is a rare neurodegenerative disorder characterized by the presence of eosinophilic hyaline intranuclear inclusions. Owing to its widely varying clinical manifestations, NIID is frequently misdiagnosed or overlooked. However, a characteristic high-intensity corticomedullary junction signal on diffusion-weighted imaging (DWI) is often indicative of NIID. In this study, we described the case of two sisters with NIID who presented with distinct symptoms and imaging data. The younger sister showed symptoms similar to those of mitochondrial encephalopathy, with a reversible high-intensity signal from the cortex on T2 and DWI. The elder sister showed a characteristic high-signal "ribbon sign" in the corticomedullary junction on DWI. Skin biopsy confirmed that both had neuronal intranuclear inclusion. Two years later, the younger sister also developed the characteristic high-signal "ribbon sign" in the corticomedullary junction on DWI. This case study provides new insights into the complexity of NIID. The findings suggest that patients with this condition, including those belonging to the same family, may exhibit varying clinical and imaging features at different times.

摘要

神经元核内包涵体病(NIID)是一种罕见的神经退行性疾病,其特征是存在嗜酸性透明核内包涵体。由于其临床表现差异很大,NIID经常被误诊或漏诊。然而,扩散加权成像(DWI)上特征性的高强度皮髓质交界信号通常提示NIID。在本研究中,我们描述了两名患有NIID的姐妹的病例,她们表现出不同的症状和影像学数据。妹妹表现出类似于线粒体脑病的症状,T2加权像和DWI上皮质出现可逆性高强度信号。姐姐在DWI上的皮髓质交界区表现出特征性的高信号“带状征”。皮肤活检证实两人均有神经元核内包涵体。两年后,妹妹在DWI上的皮髓质交界区也出现了特征性的高信号“带状征”。本病例研究为NIID的复杂性提供了新的见解。研究结果表明,患有这种疾病的患者,包括同一家族的患者,在不同时间可能表现出不同的临床和影像学特征。

https://cdn.ncbi.nlm.nih.gov/pmc/blobs/d468/9642335/447109bb8c48/fneur-13-1013213-g0001.jpg

文献AI研究员

20分钟写一篇综述,助力文献阅读效率提升50倍。

立即体验

用中文搜PubMed

大模型驱动的PubMed中文搜索引擎

马上搜索

文档翻译

学术文献翻译模型,支持多种主流文档格式。

立即体验