Schiavi Alfonso, Runci Alessandra, Maiorino Teresa, Naso Francesco Davide, Barenys Marta, Fritsche Ellen, Strappazzon Flavie, Ventura Natascia
Institute of Clinical Chemistry and Laboratory Diagnostic, Medical Faculty, Heinrich Heine University, Düsseldorf, Germany.
Leibniz Research Institute for Environmental Medicine (IUF), Düsseldorf, Germany.
Front Cell Dev Biol. 2022 Oct 25;10:986835. doi: 10.3389/fcell.2022.986835. eCollection 2022.
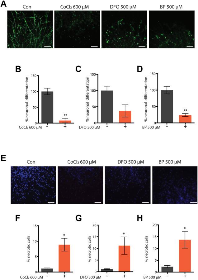
Severe oxygen and iron deficiencies have evolutionarily conserved detrimental effects, leading to pathologies in mammals and developmental arrest as well as neuromuscular degeneration in the nematode Yet, similar to the beneficial effects of mild hypoxia, non-toxic levels of iron depletion, achieved with the iron chelator bipyridine or through frataxin silencing, extend lifespan through hypoxia-like induction of mitophagy. While the positive health outcomes of hypoxia preconditioning are evident, its practical application is rather challenging. Here, we thus test the potential beneficial effects of non-toxic, preconditioning interventions acting on iron instead of oxygen availability. We find that limiting iron availability through the iron competing agent cobalt chloride has evolutionarily conserved dose-dependent beneficial effects: while high doses of cobalt chloride have toxic effects in mammalian cells, iPS-derived neurospheres, and in , sub-lethal doses protect against hypoxia- or cobalt chloride-induced death in mammalian cells and extend lifespan and delay age-associated neuromuscular alterations in . The beneficial effects of cobalt chloride are accompanied by the activation of protective mitochondrial stress response pathways.
严重的氧气和铁缺乏在进化过程中具有保守的有害影响,会导致哺乳动物出现病理状况、发育停滞以及线虫的神经肌肉退化。然而,与轻度缺氧的有益作用类似,通过铁螯合剂联吡啶或通过沉默铁调素实现的无毒水平的铁耗竭,会通过类似缺氧诱导的线粒体自噬来延长寿命。虽然缺氧预处理对健康的积极影响是明显的,但其实际应用颇具挑战性。因此,在这里我们测试作用于铁而非氧气供应的无毒预处理干预措施的潜在有益效果。我们发现,通过铁竞争剂氯化钴来限制铁的可用性具有进化保守的剂量依赖性有益效果:虽然高剂量的氯化钴在哺乳动物细胞、诱导多能干细胞衍生的神经球以及线虫中具有毒性作用,但亚致死剂量可保护哺乳动物细胞免受缺氧或氯化钴诱导的死亡,并延长线虫的寿命以及延缓与年龄相关的神经肌肉改变。氯化钴的有益效果伴随着保护性线粒体应激反应途径的激活。