Suppr超能文献

多发性硬化症和视神经脊髓炎谱系障碍:急性新冠病毒感染后的发病情况,病例系列报道

Multiple Sclerosis and Neuromyelitis Optica Spectrum Disorder: Onset Following Acute COVID-19 Infection, a Case Series.

作者信息

Avila Mirla, Tan Yuanyuan, Hernandez Roberto, Zuberi Hafsa, Rivera Victor M

机构信息

Texas Tech University Health Sciences Center, Lubbock, TX, USA.

Baylor College of Medicine, Houston, TX, USA.

出版信息

Neurol Ther. 2023 Feb;12(1):319-327. doi: 10.1007/s40120-022-00418-9. Epub 2022 Nov 18.

Abstract

BACKGROUND AND OBJECTIVES

Acute COVID-19 infection has been associated with neurological involvement. We report a case series of newly diagnosed patients with multiple sclerosis (MS) and neuromyelitis optica spectrum disorder (NMOSD) developed in a short period of time after acute COVID-19 infection.

METHODS

New MS patients developing initial symptoms shortly after an acute COVID-19 infection were diagnosed based on the 2017 McDonald Criteria [Garcia-Ramos et al. in Cells, 2021]. The patients diagnosed with NMOSD met the 2015 International Panel criteria for the diagnosis of NMOSD (IPDN) [Thompson et al. in Lancet Neurol 17:162-173, 2018].

RESULTS FROM THE MS PATIENT GROUP

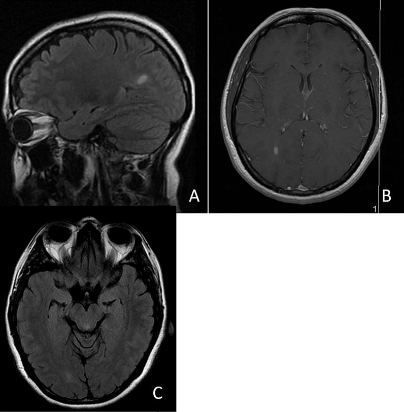
Ten patients were included who had developed initial MS symptoms after COVID-19 infection. Gender distribution was equal (50% male). The mean age was 28 (range 17-39) years. Average time to neurological presentation was between 2 and 6 weeks following acute COVID-19 infection. Partial transverse myelitis was the initial presentation in 40% of the cases, and 60% of patients had spinal cord lesions present at the moment of diagnosis. All patients showed enhancing lesions on brain magnetic resonance imaging (MRI). The presence of cerebrospinal fluid (CSF) oligoclonal bands was found in all six tested cases. The majority of patients (80%) were unvaccinated for COVID-19. The two vaccinated patients had received two doses of the monovalent COVID-19 messenger ribonucleic acid (mRNA) (Pfizer Biotech) vaccine and no booster, a year prior to contracting COVID-19.

RESULTS FROM THE NMOSD GROUP

Two patients with NMOSD were included. Positive aquoporin-4 protein antibody (AQP-4 Ab) was detected in serum in both cases [one Enzyme Linked immunosorbent assay (ELISA) and one cell based]. Both patients had mild COVID-19 infection prior to presentation, initial neurologic symptoms presented between 3 and 6 weeks after COVID-19 infection. Neither patients were vaccinated. Both responded partially to steroids, one developed a relapse 40 days after diagnosis.

CONCLUSION

COVID-19 infection has been linked to several neurological and immune-driven conditions. This study suggests that in susceptible individuals, acute COVID-19 infection may act as a trigger for developing MS and NMOSD.

摘要

背景与目的

新型冠状病毒肺炎(COVID-19)急性感染与神经系统受累有关。我们报告了一系列病例,这些新诊断的多发性硬化症(MS)和视神经脊髓炎谱系障碍(NMOSD)患者在急性COVID-19感染后的短时间内发病。

方法

根据2017年麦克唐纳标准[加西亚 - 拉莫斯等人,《细胞》,2021年],对急性COVID-19感染后不久出现初始症状的新发MS患者进行诊断。被诊断为NMOSD的患者符合2015年NMOSD诊断国际专家组标准(IPDN)[汤普森等人,《柳叶刀神经病学》17:162 - 173,2018年]。

MS患者组结果:纳入了10例在COVID-19感染后出现初始MS症状的患者。性别分布均衡(男性占50%)。平均年龄为28岁(范围17 - 39岁)。急性COVID-19感染后至出现神经症状的平均时间为2至6周。40%的病例初始表现为部分横贯性脊髓炎,60%的患者在诊断时存在脊髓病变。所有患者的脑部磁共振成像(MRI)均显示强化病灶。在所有6例检测病例中均发现脑脊液(CSF)寡克隆带。大多数患者(80%)未接种COVID-19疫苗。两名接种疫苗的患者在感染COVID-19一年前接种了两剂单价COVID-19信使核糖核酸(mRNA)(辉瑞生物技术公司)疫苗,且未接种加强针。

NMOSD组结果:纳入了2例NMOSD患者。两例患者血清中均检测到水通道蛋白4蛋白抗体(AQP-4 Ab)阳性[1例采用酶联免疫吸附测定(ELISA),1例采用基于细胞的检测方法]。两名患者在出现症状前均有轻度COVID-19感染,初始神经症状出现在COVID-19感染后3至6周。两名患者均未接种疫苗。两人对类固醇治疗均有部分反应,其中1例在诊断后40天复发。

结论

COVID-19感染与多种神经系统和免疫驱动的疾病有关。本研究表明,在易感个体中,急性COVID-19感染可能是引发MS和NMOSD的诱因。

https://cdn.ncbi.nlm.nih.gov/pmc/blobs/828b/9837352/f1d991bc7d79/40120_2022_418_Fig1_HTML.jpg

文献AI研究员

20分钟写一篇综述,助力文献阅读效率提升50倍。

立即体验

用中文搜PubMed

大模型驱动的PubMed中文搜索引擎

马上搜索

文档翻译

学术文献翻译模型,支持多种主流文档格式。

立即体验