Suppr超能文献

病例报告:一名转移性肺腺癌患者的基因融合通过恩曲替尼成功治疗。

Case report: gene fusion in a patient with metastatic lung adenocarcinoma successfully treated with entrectinib.

作者信息

Lazzari Chiara, Pecciarini Lorenza, Doglioni Claudio, Pedica Federica, Gajate Ana Maria Samanes, Bulotta Alessandra, Gregorc Vanesa, Cangi Maria Giulia

机构信息

Candiolo Cancer Institute, Fondazione del Piemonte per l'Oncologia (FPO)-IRCCS, Turin, Italy.

Department of Pathology, IRCCS San Raffaele Scientific Institute, Milan, Italy.

出版信息

Front Oncol. 2022 Nov 7;12:1038774. doi: 10.3389/fonc.2022.1038774. eCollection 2022.

Abstract

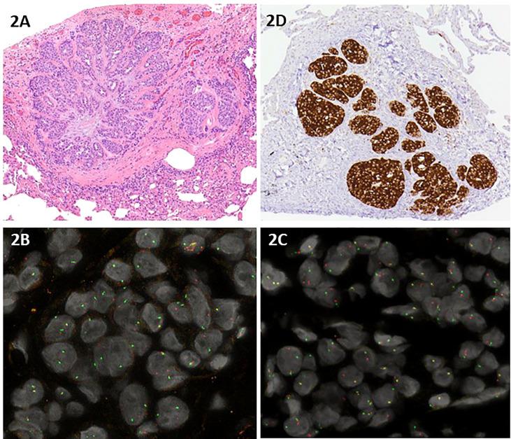
Rearrangements involving the neurotrophin kinase () genes , and with different fusion partners have been observed in both adult and pediatric solid tumors. Larotrectinib and entrectinib have been the first tumor-agnostic compounds approved for the treatment of NTRK fusion-positive tumors. Here, we report the first case of a female patient with a diagnosis of stage IV lung adenocarcinoma harboring the gene fusion, and successfully treated with entrectinib.

摘要

在成人和儿童实体瘤中均观察到涉及神经营养因子激酶()基因、和与不同融合伴侣的重排。拉罗替尼和恩曲替尼是首批被批准用于治疗NTRK融合阳性肿瘤的不针对特定肿瘤类型的化合物。在此,我们报告首例诊断为IV期肺腺癌且携带基因融合的女性患者,该患者接受恩曲替尼治疗并取得成功。

https://cdn.ncbi.nlm.nih.gov/pmc/blobs/7af5/9676932/4ff13fdf811a/fonc-12-1038774-g001.jpg

文献AI研究员

20分钟写一篇综述,助力文献阅读效率提升50倍。

立即体验

用中文搜PubMed

大模型驱动的PubMed中文搜索引擎

马上搜索

文档翻译

学术文献翻译模型,支持多种主流文档格式。

立即体验