Suppr超能文献

犬以多房性囊性腹腔内肿块为表现的胃肠道间质瘤(GIST)。

Gastrointestinal stromal tumor (GIST) presenting as a multilocular cystic intra-abdominal mass in a dog.

机构信息

University of Sydney Veterinary Teaching Hospital, Evelyn Williams Building B10, 65 Parramatta Road, Camperdown, New South Wales, 2050, Australia.

Vetnostics, 60 Waterloo Rd, North Ryde, New South Wales, 2113, Australia.

出版信息

BMC Vet Res. 2022 Nov 26;18(1):415. doi: 10.1186/s12917-022-03504-0.

Abstract

BACKGROUND

Gastrointestinal stromal tumor (GIST) is a malignant mesenchymal neoplasm described in humans, dogs, and cats. A hallmark of diagnosis for GISTs is positive immunohistochemical labelling with c-Kit (CD117). The differentiation of GIST from other mesenchymal neoplasms of the gastrointestinal tract is pivotal to allow for initiation of appropriate treatment. In humans, cystic GIST has been described, though this has not been reported in dogs. In humans, the cystic form of GIST has been associated with a favorable prognosis. In the present paper, we report a case of multilocular cystic GIST in a dog, which has not previously been described in this species.

CASE PRESENTATION

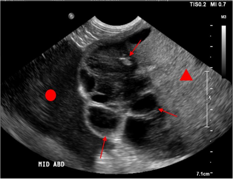
A ten-year-old, male-entire Maltese terrier mix breed dog presented with a large cystic mural mass of the duoedenum and orad jejunum. Histopathology and positive immunohistochemical staining with CD117 confirmed a diagnosis of GIST. No evidence of metastasis was detected on routine staging with abdominal sonography and thoracic radiography at the time of diagnosis. Surgical resection was performed and toceranib therapy was initiated post-operatively. Metastasis was documented 251 days after surgery on computed tomography. Due to clinical deterioration, the patient was humanely euthanised 370 days after surgical excision.

CONCLUSIONS

There are few differential diagnoses for large multilocular cystic intra-abdominal masses in dogs. This case presents a previously undescribed presentation of gastrointestinal stromal tumor in the dog as a predominantly multilocular cystic mass. It remains unclear if the cystic form of GIST may represent a favorable prognosis in dogs.

摘要

背景

胃肠道间质瘤(GIST)是一种在人类、犬和猫中描述的恶性间叶性肿瘤。GIST 的诊断标志是 c-Kit(CD117)免疫组织化学标记阳性。将 GIST 与胃肠道的其他间叶性肿瘤区分开来对于启动适当的治疗至关重要。在人类中,已经描述了囊性 GIST,但在犬中尚未报道。在人类中,囊性 GIST 与良好的预后相关。在本论文中,我们报告了一例犬的多房囊性 GIST 病例,在该物种中尚未描述过这种情况。

病例介绍

一只十岁、雄性全 Maltese 梗犬混合品种犬因十二指肠和空肠近端的大囊性壁肿块就诊。组织病理学和 CD117 免疫组织化学染色阳性证实了 GIST 的诊断。在诊断时,通过腹部超声和胸部 X 射线进行常规分期未发现转移的证据。进行了手术切除,并在手术后开始使用托西尼布治疗。在手术后 251 天,通过计算机断层扫描发现了转移。由于临床恶化,在手术后 370 天对该患者实施了安乐死。

结论

在犬中,大的多房囊性腹腔内肿块有几种鉴别诊断。本病例提出了一种以前未描述的犬胃肠道间质瘤表现,即主要为多房囊性肿块。囊性 GIST 是否可能代表犬的良好预后仍不清楚。

https://cdn.ncbi.nlm.nih.gov/pmc/blobs/15e3/9701363/8d5a46facfa5/12917_2022_3504_Fig1_HTML.jpg

文献AI研究员

20分钟写一篇综述,助力文献阅读效率提升50倍。

立即体验

用中文搜PubMed

大模型驱动的PubMed中文搜索引擎

马上搜索

文档翻译

学术文献翻译模型,支持多种主流文档格式。

立即体验