Suppr超能文献

两种α2,6-唾液酸转移酶之一的ST6GAL1缺乏对朊病毒病的发病机制仅有轻微影响。

Deficiency in ST6GAL1, one of the two α2,6-sialyltransferases, has only a minor effect on the pathogenesis of prion disease.

作者信息

Makarava Natallia, Katorcha Elizaveta, Chang Jennifer Chen-Yu, Lau Joseph T Y, Baskakov Ilia V

机构信息

Center for Biomedical Engineering and Technology, University of Maryland School of Medicine, Baltimore, MD, United States.

Department of Anatomy and Neurobiology, University of Maryland School of Medicine, Baltimore, MD, United States.

出版信息

Front Mol Biosci. 2022 Nov 14;9:1058602. doi: 10.3389/fmolb.2022.1058602. eCollection 2022.

Abstract

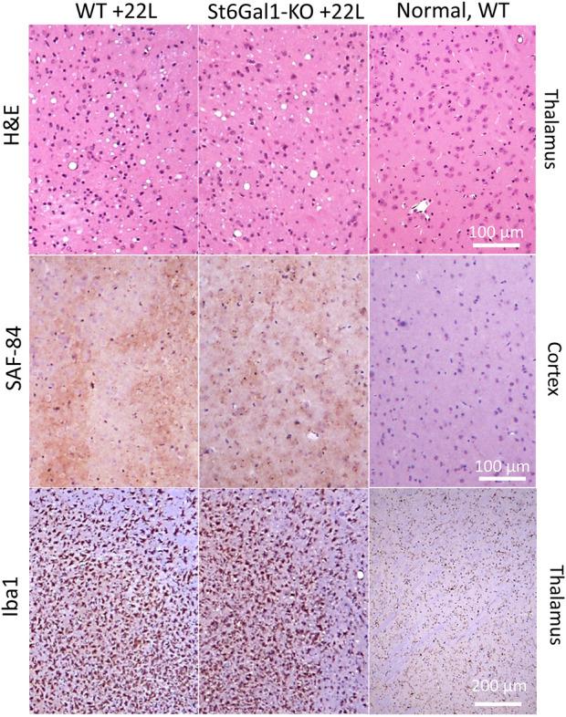
Prion diseases are a group of fatal neurodegenerative diseases caused by misfolding of the normal cellular form of the prion protein or PrP, into a disease-associated self-replicating state or PrP. PrP and PrP are posttranslationally modified with N-linked glycans, in which the terminal positions occupied by sialic acids residues are attached to galactose predominantly α2-6 linkages. The sialylation status of PrP is an important determinant of prion disease pathogenesis, as it dictates the rate of prion replication and controls the fate of prions in an organism. The current study tests whether a knockout of ST6Gal1, one of the two mammalian sialyltransferases that catalyze the sialylation of glycans α2-6 linkages, reduces the sialylation status of PrP and alters prion disease pathogenesis. We found that a global knockout of ST6Gal1 in mice significantly reduces the α2-6 sialylation of the brain parenchyma, as determined by staining with agglutinin. However, the sialylation of PrP remained stable and the incubation time to disease increased only modestly in knockout mice (ST6Gal1-KO). A lack of significant changes in the PrP sialylation status and prion pathogenesis is attributed to the redundancy in sialylation and, in particular, the plausible involvement of a second member of the sialyltransferase family that sialylate α2-6 linkages, ST6Gal2.

摘要

朊病毒病是一组致命的神经退行性疾病,由正常细胞形式的朊病毒蛋白(PrP)错误折叠为与疾病相关的自我复制状态(PrP)引起。PrP和PrP通过N-连接聚糖进行翻译后修饰,其中唾液酸残基占据的末端位置主要通过α2-6连接与半乳糖相连。PrP的唾液酸化状态是朊病毒病发病机制的重要决定因素,因为它决定了朊病毒的复制速率并控制了生物体中朊病毒的命运。当前的研究测试了ST6Gal1基因敲除是否会降低PrP的唾液酸化状态并改变朊病毒病的发病机制,ST6Gal1是催化聚糖α2-6连接唾液酸化的两种哺乳动物唾液酸转移酶之一。我们发现,通过凝集素染色测定,小鼠中ST6Gal1的整体基因敲除显著降低了脑实质的α2-6唾液酸化。然而,PrP的唾液酸化保持稳定,并且基因敲除小鼠(ST6Gal1-KO)的疾病潜伏期仅适度增加。PrP唾液酸化状态和朊病毒发病机制缺乏显著变化归因于唾液酸化的冗余性,特别是唾液酸转移酶家族中另一个催化α2-6连接唾液酸化的成员ST6Gal2可能的参与。

https://cdn.ncbi.nlm.nih.gov/pmc/blobs/8dc6/9702343/8b85114b0cc6/fmolb-09-1058602-g001.jpg

文献AI研究员

20分钟写一篇综述,助力文献阅读效率提升50倍。

立即体验

用中文搜PubMed

大模型驱动的PubMed中文搜索引擎

马上搜索

文档翻译

学术文献翻译模型,支持多种主流文档格式。

立即体验