Suppr超能文献

肝移植在儿童原发性肝血管肿瘤治疗中的作用。

The role of liver transplantation in the care of primary hepatic vascular tumours in children.

作者信息

Grimaldi Chiara, de Ville de Goyet Jean, Bici Kejd, Cianci Maria Chiara, Callea Francesco, Morabito Antonino

机构信息

Department of Pediatric Surgery, Meyer Children's Hospital, University of Florence, Florence, Italy.

Department of Pediatrics, IRCCS-Istituto Mediterraneo per i Trapianti e Terapie ad altra specializzazione (ISMETT) (Institute for Scientific-Based Care and Research-Mediterranean Institute for Transplantation and Advanced Specialized Therapies), Palermo, Italy.

出版信息

Front Oncol. 2022 Nov 24;12:1026232. doi: 10.3389/fonc.2022.1026232. eCollection 2022.

Abstract

Liver transplantation (LT) is the standard of care for many liver conditions, such as end-stage liver diseases, inherited metabolic disorders, and primary liver malignancies. In the latter group, indications of LT for hepatoblastoma and hepatocellular carcinoma evolved and are currently available for many non-resectable cases. However, selection criteria apply, as the absence of active metastases. Evidence of good long-term outcomes has validated the LT approach for managing these malignancies in the context of specialist and multidisciplinary approach. Nevertheless, LT's role in treating primary vascular tumours of the liver in children, both benign and malignant, remains somewhat controversial. The rarity of the different diseases and the heterogeneity of pathological definitions contribute to the controversy and make evaluating the benefit/risk ratio and outcomes quite difficult. In this narrative review, we give an overview of primary vascular tumours of the liver in children, the possible indications and the outcomes of LT.

摘要

肝移植(LT)是许多肝脏疾病的标准治疗方法,如终末期肝病、遗传性代谢紊乱和原发性肝脏恶性肿瘤。在后一组疾病中,肝母细胞瘤和肝细胞癌的肝移植适应症不断演变,目前许多不可切除的病例都适用。然而,选择标准适用,即不存在活跃转移。长期良好预后的证据证实了在专科和多学科方法的背景下,肝移植治疗这些恶性肿瘤的方法。尽管如此,肝移植在治疗儿童原发性肝脏血管肿瘤(包括良性和恶性)中的作用仍存在一定争议。不同疾病的罕见性和病理定义的异质性导致了这一争议,并使得评估获益/风险比和结果相当困难。在这篇叙述性综述中,我们概述了儿童原发性肝脏血管肿瘤、肝移植的可能适应症和结果。

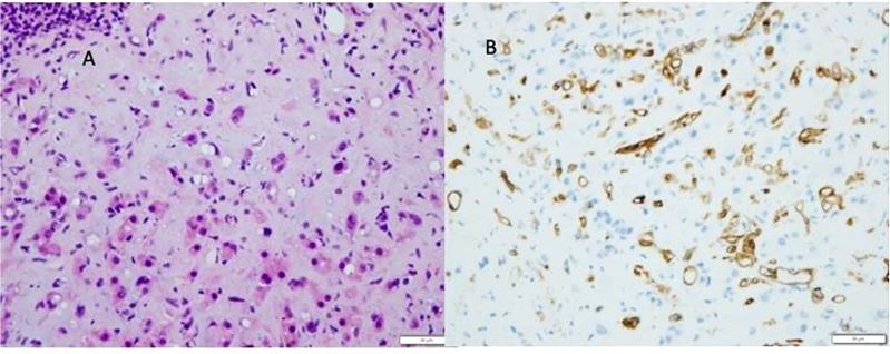
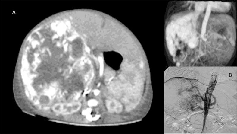
https://cdn.ncbi.nlm.nih.gov/pmc/blobs/b991/9730342/e81ed873b512/fonc-12-1026232-g001.jpg

文献检索

告别复杂PubMed语法,用中文像聊天一样搜索,搜遍4000万医学文献。AI智能推荐,让科研检索更轻松。

立即免费搜索

文件翻译

保留排版,准确专业,支持PDF/Word/PPT等文件格式,支持 12+语言互译。

免费翻译文档

深度研究

AI帮你快速写综述,25分钟生成高质量综述,智能提取关键信息,辅助科研写作。

立即免费体验