Suppr超能文献

2021年中国南方鸭瘟疫情的病理学和分子特征

Pathological and Molecular Characterization of a Duck Plague Outbreak in Southern China in 2021.

作者信息

Liang Zhipeng, Guo Jinyue, Yuan Sheng, Cheng Qing, Zhang Xinyu, Liu Zhun, Wang Congying, Li Zhili, Hou Bo, Huang Shujian, Wen Feng

机构信息

College of Life Science and Engineering, Foshan University, Foshan 528231, China.

Institute of Animal Husbandry and Veterinary Medicine, Fujian Academy of Agricultural Sciences/Fujian Animal Disease Control Technology Development Center, Fuzhou 350013, China.

出版信息

Animals (Basel). 2022 Dec 13;12(24):3523. doi: 10.3390/ani12243523.

Abstract

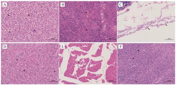
Duck plague (DP) is a highly contagious viral disease in ducks caused by the duck plague virus (DPV). The DPV, a member of , poses a severe threat to the waterfowl farming industry worldwide. In this study, we reported a recent outbreak of DPV in domestic laying ducks at 310 days of age from southern China in December 2021. The gross lesion, histopathologic examination, molecular detection, and genetic characterization studies of DPV are described here. As a result, gross lesions such as an enlarged congestive spleen and liver were observed. Liver with vacuolar degeneration and small vacuoles and spleen with hemosiderosis were remarkable microscopic findings. Our results suggested that the liver had the highest viral load, followed by the trachea, pancreas, kidney, brain, spleen, and heart. In addition, DPV was successfully isolated in chicken embryo fibroblast cell culture and designated as DP-GD-305-21. The , , , , and genes of DP-GD-305-21 shared a high nucleotide homology with the Chinese virulent (CHv) strain and the Chinese variant (CV) strain. In conclusion, this study reports the isolation and molecular characterization of DPV from a recent outbreak in southern China. Our results contributed to the understanding of the pathological and molecular characterization of currently circulating DPV in China.

摘要

鸭瘟(DP)是由鸭瘟病毒(DPV)引起的鸭的一种高度传染性病毒性疾病。DPV是[此处信息缺失]的成员,对全球水禽养殖业构成严重威胁。在本研究中,我们报告了2021年12月在中国南方310日龄的蛋鸭中最近爆发的DPV疫情。本文描述了DPV的大体病变、组织病理学检查、分子检测和基因特征研究。结果显示,观察到诸如脾脏和肝脏充血肿大等大体病变。肝脏出现空泡变性和小空泡,脾脏出现含铁血黄素沉着是显著的微观发现。我们的结果表明,肝脏中的病毒载量最高,其次是气管、胰腺、肾脏、脑、脾脏和心脏。此外,DPV在鸡胚成纤维细胞培养中成功分离,并命名为DP-GD-305-21。DP-GD-305-21的[此处信息缺失]、[此处信息缺失]、[此处信息缺失]、[此处信息缺失]和[此处信息缺失]基因与中国强毒株(CHv)和中国变异株(CV)具有高度的核苷酸同源性。总之,本研究报告了从中国南方最近一次疫情中分离出DPV并对其进行分子特征分析。我们的结果有助于了解中国目前流行的DPV的病理学和分子特征。

https://cdn.ncbi.nlm.nih.gov/pmc/blobs/a523/9774102/c1762402fa4c/animals-12-03523-g001.jpg

文献AI研究员

20分钟写一篇综述,助力文献阅读效率提升50倍。

立即体验

用中文搜PubMed

大模型驱动的PubMed中文搜索引擎

马上搜索

文档翻译

学术文献翻译模型,支持多种主流文档格式。

立即体验