Suppr超能文献

安全唾液酸苷酶的产生:基因序列和酶的纯化。

Safe Sialidase Production by the Saprophyte : Gene Sequence and Enzyme Purification.

机构信息

Institute of Microbiology, Bulgarian Academy of Sciences, 1113 Sofia, Bulgaria.

Institute of Chemical Engineering, Bulgarian Academy of Sciences, 1113 Sofia, Bulgaria.

出版信息

Molecules. 2022 Dec 15;27(24):8922. doi: 10.3390/molecules27248922.

Abstract

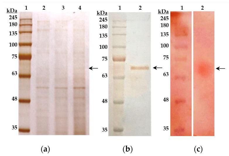
Sialidase preparations are applied in structural and functional studies on sialoglycans, in the production of sialylated therapeutic proteins and synthetic substrates for use in biochemical research, etc. They are obtained mainly from pathogenic microorganisms; therefore, the demand for apathogenic producers of sialidase is of exceptional importance for the safe production of this enzyme. Here, we report for the first time the presence of a sialidase gene and enzyme in the saprophytic actinomycete Oerskovia paurometabola strain O129. An electrophoretically pure, glycosylated enzyme with a molecular weight of 70 kDa was obtained after a two-step chromatographic procedure using DEAE cellulose and Q-sepharose. The biochemical characterization showed that the enzyme is extracellular, inductive, and able to cleave α(2→3,6,8) linked sialic acids with preference for α(2→3) bonds. The enzyme production was strongly induced by glycomacropeptide (GMP) from milk whey, as well as by sialic acid. Investigation of the deduced amino acid sequence revealed that the protein molecule has the typical six-bladed β-propeller structure and contains all features of bacterial sialidases, i.e., an YRIP motif, five Asp-boxes, and the conserved amino acids in the active site. The presence of an unusual signal peptide of 40 amino acids was predicted. The sialidase-producing O. paurometabola O129 showed high and constant enzyme production. Together with its saprophytic nature, this makes it a reliable producer with high potential for industrial application.

摘要

唾液酸酶制剂被应用于唾液糖蛋白的结构和功能研究、唾液酸化治疗蛋白的生产以及用于生化研究的合成底物等。这些酶制剂主要从病原微生物中获得;因此,对于安全生产这种酶来说,寻找无病原体来源的唾液酸酶生产菌具有非常重要的意义。在这里,我们首次报道了腐生放线菌奥瑞斯弧菌 O129 中存在唾液酸酶基因和酶。经过两步层析,即使用 DEAE 纤维素和 Q 琼脂糖,获得了电泳纯的、糖基化的、分子量为 70 kDa 的酶。生化特性研究表明,该酶是一种细胞外诱导酶,能够优先水解 α(2→3,6,8)连接的唾液酸,而 α(2→3)键是其最适作用键。该酶强烈地被乳清中的糖巨肽(GMP)和唾液酸诱导产生。对推导的氨基酸序列的研究揭示,该蛋白分子具有典型的六叶β-螺旋桨结构,并包含细菌唾液酸酶的所有特征,即一个 YRIP 基序、五个 Asp-box 和活性位点中的保守氨基酸。预测存在一个不寻常的 40 个氨基酸的信号肽。产唾液酸酶的奥瑞斯弧菌 O129 表现出高产且稳定的酶生产能力。鉴于其腐生特性,这使其成为一种可靠的生产菌,具有很高的工业应用潜力。

https://cdn.ncbi.nlm.nih.gov/pmc/blobs/9e56/9782813/a9f12848e474/molecules-27-08922-g001.jpg

文献AI研究员

20分钟写一篇综述,助力文献阅读效率提升50倍。

立即体验

用中文搜PubMed

大模型驱动的PubMed中文搜索引擎

马上搜索

文档翻译

学术文献翻译模型,支持多种主流文档格式。

立即体验