Suppr超能文献

敲低 FOXO1 增强糖酵解依赖性 DNA 修复并通过 PFKFB3 减轻高糖诱导的内皮氧化应激损伤。

Enhancement of glycolysis-dependent DNA repair regulated by FOXO1 knockdown via PFKFB3 attenuates hyperglycemia-induced endothelial oxidative stress injury.

机构信息

Department of Ophthalmology, Shanghai General Hospital, Shanghai Jiao Tong University School of Medicine, Shanghai, 200080, China; National Clinical Research Center for Eye Diseases, Shanghai Key Laboratory of Ocular Fundus Disease, Shanghai Engineering Center for Visual Science and Photo Medicine, Shanghai Engineering Center for Precise Diagnosis and Treatment of Eye Diseases, Shanghai, 200080, China.

Department of Ophthalmology, Shanghai General Hospital, Shanghai Jiao Tong University School of Medicine, Shanghai, 200080, China.

出版信息

Redox Biol. 2023 Feb;59:102589. doi: 10.1016/j.redox.2022.102589. Epub 2022 Dec 25.

Abstract

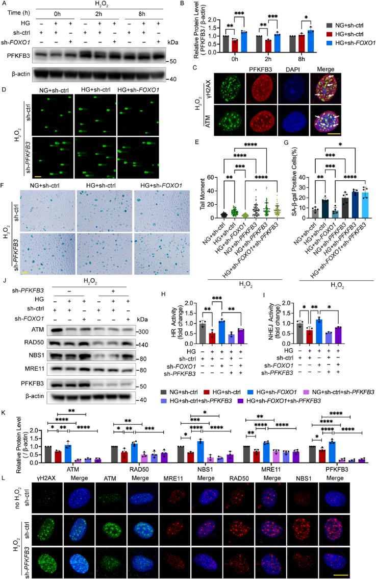
The accumulation of DNA damage induced by oxidative stress is a crucial pathogenic factor of endothelial loss in diabetic vascular complications, but it is still unknown whether aberrant glucose metabolism leads to defective DNA repair and accounts for hyperglycemia-induced endothelial oxidative stress injury. Here, we showed that Foxo1 knockdown alleviated diabetes-associated retinal DNA damage and vascular dysfunction. Mechanistically, FOXO1 knockdown avoided persistent DNA damage and cellular senescence under high glucose in endothelial cells by promoting DNA repair mediated by the MRN (MRE11-RAD50-NBS1 complex)-ATM pathway in response to oxidative stress injury. Moreover, FOXO1 knockdown mediated robust DNA repair by restoring glycolysis capacity under high glucose. During this process, the key glycolytic enzyme PFKFB3 was stimulated and, in addition to its promoting effect on glycolysis, directly participated in DNA repair. Under genotoxic stress, PFKFB3 relocated into oxidative stress-induced DNA damage sites and promoted DNA repair by interaction with the MRN-ATM pathway. Our study proposed that defective glycolysis-dependent DNA repair is present in diabetic endothelial cells and contributes to hyperglycemia-induced vascular dysfunction, which could provide novel therapeutic targets for diabetic vascular complications.

摘要

氧化应激诱导的 DNA 损伤积累是糖尿病血管并发症中内皮细胞丢失的一个关键致病因素,但尚不清楚异常葡萄糖代谢是否导致 DNA 修复缺陷,并解释高血糖引起的内皮氧化应激损伤。在这里,我们表明 Foxo1 敲低减轻了糖尿病相关的视网膜 DNA 损伤和血管功能障碍。在机制上,FOXO1 敲低通过促进 MRN(MRE11-RAD50-NBS1 复合物)-ATM 途径介导的 DNA 修复,避免了高葡萄糖条件下内皮细胞中持续的 DNA 损伤和细胞衰老,从而对氧化应激损伤做出反应。此外,FOXO1 敲低通过恢复高葡萄糖下的糖酵解能力介导了强大的 DNA 修复。在此过程中,关键的糖酵解酶 PFKFB3 被激活,除了促进糖酵解外,还直接参与 DNA 修复。在遗传毒性应激下,PFKFB3 重新定位到氧化应激诱导的 DNA 损伤部位,并通过与 MRN-ATM 途径相互作用促进 DNA 修复。我们的研究提出,糖尿病内皮细胞中存在缺陷的糖酵解依赖性 DNA 修复,导致高血糖引起的血管功能障碍,这为糖尿病血管并发症提供了新的治疗靶点。

https://cdn.ncbi.nlm.nih.gov/pmc/blobs/43ab/9803794/1c76c10faeb0/ga1.jpg

文献AI研究员

20分钟写一篇综述,助力文献阅读效率提升50倍。

立即体验

用中文搜PubMed

大模型驱动的PubMed中文搜索引擎

马上搜索

文档翻译

学术文献翻译模型,支持多种主流文档格式。

立即体验