Suppr超能文献

冠状动脉假性动脉瘤的进展与介入治疗:一例报告

Progression and interventional therapy of a coronary pseudoaneurysm: a case report.

作者信息

Gersch Svante, Baraki Hassina, Toischer Karl

机构信息

Department of Cardiology and Pneumology, University Medical School Goettingen, Robert-Koch-Str. 40, 37075 Göttingen, Germany.

Department of Cardiovascular and Thoracic Surgery, University Medical School Goettingen, Robert-Koch-Str. 40, 37075 Göttingen, Germany.

出版信息

Eur Heart J Case Rep. 2022 Dec 15;7(1):ytac478. doi: 10.1093/ehjcr/ytac478. eCollection 2023 Jan.

Abstract

BACKGROUND

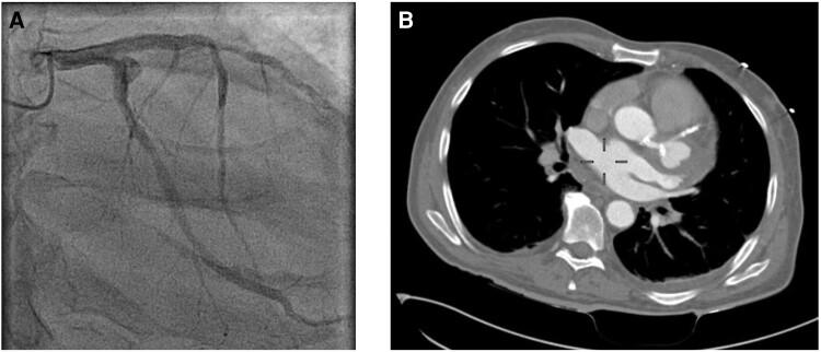
Coronary pseudoaneurysms (PSAs) occur as a rare complication following drug-eluting stent implantation and have been reported to occur between 1 week and 4 years after implantation. Most of them remain in a stable state, but progression of PSAs increases the risk of rupture and haemorrhagic cardiac tamponade.

CASE SUMMARY

Here, we present a case of a 55-year-old patient, who developed a PSA of the proximal left circumflex artery after stent implantation of the left main artery, left anterior descending artery, and left circumflex artery. Within <1 year, the patient was readmitted to different hospitals due to cardiac decompensation and myocardial infarction. Thereafter, coronary angiography and computed tomography scans were performed, and progression of the PSA could be documented. Interventional therapy was chosen due to the high surgical risk of the patient. Implantation of a covered stent from the left main artery into the left anterior descending artery was chosen to treat the PSA, thereby silencing the chronically occluded left circumflex artery, followed by dilatation with a non-compliant balloon. The patient has remained asymptomatic in a 6-month follow-up.

DISCUSSION

Coronary PSA should be controlled with respect to progression, and appropriate therapy can be chosen for treatment.

摘要

背景

冠状动脉假性动脉瘤(PSA)是药物洗脱支架植入术后罕见的并发症,据报道其发生于植入术后1周~4年。大多数PSA处于稳定状态,但PSA进展会增加破裂及出血性心脏压塞的风险。

病例摘要

在此,我们报告1例55岁患者,其在左主干、左前降支及左旋支植入支架后发生左旋支近端PSA。在1年内,该患者因心功能不全和心肌梗死再次入住不同医院。此后,进行了冠状动脉造影和计算机断层扫描,可记录到PSA进展。由于患者手术风险高,选择了介入治疗。选择从左主干至左前降支植入覆膜支架治疗PSA,从而使慢性闭塞的左旋支不再显影,随后用非顺应性球囊进行扩张。在6个月的随访中,患者一直无症状。

讨论

应控制冠状动脉PSA的进展,并可选择适当的治疗方法进行治疗。

https://cdn.ncbi.nlm.nih.gov/pmc/blobs/9cb0/9793774/37996c0297f0/ytac478f1.jpg

文献AI研究员

20分钟写一篇综述,助力文献阅读效率提升50倍。

立即体验

用中文搜PubMed

大模型驱动的PubMed中文搜索引擎

马上搜索

文档翻译

学术文献翻译模型,支持多种主流文档格式。

立即体验